Adenosquamous carcinoma
Adenosquamous carcinoma is a type of cancer that contains two types of cells: squamous cells (thin, flat cells that line certain organs) and gland-like cells. It has been associated with more aggressive characteristics when compared to adenocarcinoma in certain cancers.[1][2] It is responsible for 1% to 4% of exocrine forms of pancreas cancer.[3]
| Adenosquamous carcinoma | |
|---|---|
![]() | |
| Micrograph of an adenosquamous carcinoma of the lung. The adeno- or glandular component is on the left of the image and the squamous component on the right of the image. H&E stain. | |
| Specialty | Oncology |
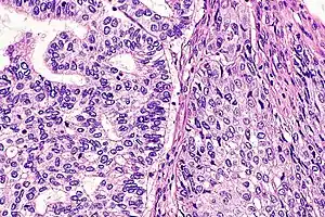
Diagnosis

Micrograph of adenosquamous carcinoma of the pancreas.
Light microscopy shows a combination of gland-like cells and squamous epithelial cells.[4] On immunohistochemistry, it is typically positive for CK5/6, CK7 and p63, and negative for CK20, p16 and p53. On genetic testing, KRAS and p53 are typically altered.[4]
References
- Mahendraraj, Krishnara; Di Como, Joseph A. (October 2014). "Adenosquamous carcinoma of the pancreas: a population based clinical outcomes studies involving 700 patients from the Surveillance, Epidemiology, and End Results (SEER) database (1973-2010)". Journal of the American College of Surgeons. 219 (4): 109. doi:10.1016/j.jamcollsurg.2014.07.676.
- Di Como, Joseph A. (October 2015). "Adenosquamous carcinoma of the colon and rectum: a population based clinical outcomes study involving 578 patients from the Surveillance Epidemiology and End Result (SEER) database (1973-2010)". Journal of the American College of Surgeons. 221 (4): 56. doi:10.1016/j.jamcollsurg.2015.08.044.
- Skafida, Evangelia; Grammatoglou, Xanthippi; Glava, Chryssoula; Zissis, Dimitrios; Paschalidis, Nikolaos; Katsamagkou, Eleftheria; Firfiris, Nikolaos; Vasilakaki, Thivi (2010). "Adenosquamous carcinoma of the pancreas: a case report". Cases Journal. 3 (1): 41. doi:10.1186/1757-1626-3-41. ISSN 1757-1626. PMC 2825199. PMID 20205828.
- Pishvaian MJ, Brody JR (2017). "Therapeutic Implications of Molecular Subtyping for Pancreatic Cancer". Oncology (Williston Park). 31 (3): 159–66, 168. PMID 28299752.
External links
| Classification |
|---|
- Adenosquamous carcinoma entry in the public domain NCI Dictionary of Cancer Terms
This article incorporates public domain material from the U.S. National Cancer Institute document: "Dictionary of Cancer Terms".
This article is issued from Wikipedia. The text is licensed under Creative Commons - Attribution - Sharealike. Additional terms may apply for the media files.
