Asymptomatic

In medicine, any disease is classified asymptomatic if a patient tests as carrier for a disease or infection but experiences no symptoms. Whenever a medical condition fails to show noticeable symptoms after a diagnosis it might be considered asymptomatic.

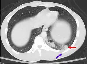
Pulmonary contusion due to trauma is an example of a condition that can be asymptomatic with half of people showing no signs at the initial presentation. The CT scan shows a pulmonary contusion (red arrow) accompanied by a rib fracture (purple arrow).

Infections of this kind are usually called subclinical infections. Diseases (such as mental illnesses or psychosomatic conditions are considered subclinical if they present some individual symptoms but not all those normally required for a clinical diagnosis. The term clinically silent is also found. Producing only a few, mild symptoms, disease is paucisymptomatic. Symptoms appearing later, after an asymptomatic incubation period, mean a pre-symptomatic period has existed.

Knowing that a condition is asymptomatic is important because:

  • It may develop symptoms later and only then require treatment.
  • It may resolve itself or become benign.
  • It may be contagious, and the contribution of asymptomatic and pre-symptomatic infections to the transmission level of a disease helps set the required control measures to keep it from spreading.[1]
  • It is not required that a person undergo treatment. It does not cause later medical problems such as high blood pressure and hyperlipidaemia.[2]
  • Be alert to possible problems: asymptomatic hypothyroidism makes a person vulnerable to Wernicke–Korsakoff syndrome or beri-beri following intravenous glucose.[3]

Examples

An example of an asymptomatic disease is Cytomegalovirus (CMV) which is a member of the herpes virus family. "It is estimated that 1% of all newborns are infected with CMV, but the majority of infections are asymptomatic." (Knox, 1983; Kumar et al. 1984)[4] In some diseases, the proportion of asymptomatic cases can be important. For example, in multiple sclerosis it is estimated that around 25% of the cases are asymptomatic, with these cases detected postmortem or just by coincidence (as incidental findings) while treating other diseases.[5]

Conditions

Asymptomatic conditions may not be discovered until the patient undergoes medical tests (X-rays or other investigations). Some people may remain asymptomatic for a remarkably long period of time, such as people with some forms of cancer. If a patient is asymptomatic, precautionary steps are ineffective and should not be taken. The patient should continue to seek treatment for the main disease they are suffering from currently.

A patient's individual genetic makeup may delay or prevent the onset of symptoms.

Some diseases are defined only clinically, like AIDS being the result of HIV infection. Therefore, it makes no sense to speak about "asymptomatic AIDS". This concept of clinically defined diseases is related in some way to the concept of syndrome.

List

These are conditions for which there is a sufficient number of documented individuals that are asymptomatic that it is clinically noted. For a complete list of asymptomatic infections see subclinical infection.

Millions of women reported lack of symptoms during pregnancy until the point of childbirth or the beginning of labor; they didn't know they were pregnant. This phenomenon is known as cryptic pregnancies. [6]

See also

References

  1. Buitrago-Garcia, Diana; Egli-Gany, Dianne; Counotte, Michel J.; Hossmann, Stefanie; Imeri, Hira; Ipekci, Aziz Mert; Salanti, Georgia; Low, Nicola (2020-09-22). "Occurrence and transmission potential of asymptomatic and presymptomatic SARS-CoV-2 infections: A living systematic review and meta-analysis". PLOS Medicine. 17 (9): e1003346. doi:10.1371/journal.pmed.1003346. ISSN 1549-1676.
  2. Tattersall, R (2001). "Diseases the doctor (or autoanalyser) says you have got". Clinical Medicine. London. 1 (3): 230–3. doi:10.7861/clinmedicine.1-3-230. PMC 4951914. PMID 11446622.
  3. Watson, A. J.; Walker, J. F.; Tomkin, G. H.; Finn, M. M.; Keogh, J. A. (1981). "Acute Wernickes encephalopathy precipitated by glucose loading". Irish Journal of Medical Science. 150 (10): 301–303. doi:10.1007/BF02938260. PMID 7319764.
  4. Vinson, B. (2012). Language Disorders Across the Lifespan. p. 94. Clifton Park, NY: Delmar
  5. Engell T (May 1989). "A clinical patho-anatomical study of clinically silent multiple sclerosis". Acta Neurol Scand. 79 (5): 428–30. doi:10.1111/j.1600-0404.1989.tb03811.x. PMID 2741673.
  6. https://www.news-medical.net/health/What-is-a-Cryptic-Pregnancy.aspx#:~:text=Cryptic%20pregnancy%20is%20the%20phenomenon,cases%20until%20they%20give%20birth.
This article is issued from Wikipedia. The text is licensed under Creative Commons - Attribution - Sharealike. Additional terms may apply for the media files.