Cantú syndrome
Cantú syndrome is a rare condition characterized by hypertrichosis, osteochondrodysplasia, and cardiomegaly.[6][5] Less than 50 cases have been described in the literature; they are associated with a mutation in the ABCC9-gene that codes for the ABCC9-protein.[5]
| Cantú syndrome | |
|---|---|
| Other names | Hypertrychotic osteochondrodysplasia[1] |
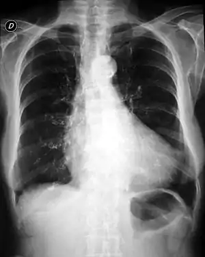
![]() | |
| Cardiomegaly (x-ray)- one of the characteristics of Cantu syndrome | |
| Symptoms | Cardiomegaly[2] |
| Causes | Mutation in ABCC9 gene[3] |
| Diagnostic method | Echocardiogram, X-ray[4] |
| Treatment | Scoliosis is managed via bracing[5] |
Signs and symptoms

The main features of this condition are hypertrichosis, osteochondrodysplasia, and cardiomegaly. There is also a characteristic facies. Other features include patent ductus arteriosus, congenital hypertrophy of the left ventricle, and pericardial effusions.[2]
Neurodevelopmental outcome appears normal, but obsessive traits and anxiety have been reported. It may also be associated with recurrent infections with low immunoglobulin levels and gastric bleeding, and additional possible associations include lymphoedema and heterochromia iridis.
Cause

Cantu syndrome apparently is inherited in an autosomal dominant fashion[7] and appears to be affected by the ABCC9 gene.[3] ABCC9 gene provides a blueprint for creating the sulfonylurea receptor 2 in the human body.[3] The gene is located on short arm of chromosome 12 (12p12). Mutations in another gene (KCNJ8) has also been associated with this disorder. Both genes encode in ATP sensitive potassium (KATP) channel subunits. This second gene is also located on the short arm of chromosome 12 (12p12.1).
Mechanism
In terms of the mechanism of Cantú syndrome, mutations in the ABCC9 gene total 25/31. Physiologically, sulfonylurea receptor 2 is significant in vascular relaxation.
An increase in O2 tension after birth, plus decreasing PGE2(a common prostaglandin[8]) causes inhibition of voltage-gated potassium channels and contraction of smooth muscle (in ductus).[9]
Diagnosis

This condition can be diagnosed by genetic testing.[10] Furthermore, an echocardiogram and X-ray may help in the diagnosis.[4]
Differential diagnosis
The differential diagnosis of this condition consists of the following:[5]
Treatment
The treatment/management for Cantú syndrome is based on surgical option for patent ductus arteriosus in early life and management of scoliosis via bracing. Furthermore, regular echocardiograms are needed for the individual who has exhibited this condition.[5]
History
This condition was described in 1982 by Cantú et al.[11]
References
- "OMIM Entry - # 239850 - CANTU SYNDROME". omim.org. Retrieved 2017-04-01.
- "Cantu syndrome | Genetic and Rare Diseases Information Center (GARD) – an NCATS Program". rarediseases.info.nih.gov. Retrieved 2017-03-31.
- Reference, Genetics Home. "ABCC9 gene". Genetics Home Reference. Retrieved 23 March 2017.
- Kirk, Edwin P.; Scurr, Ingrid; van Haaften, Gijs; van Haelst, Mieke M.; Nichols, Colin G.; Williams, Maggie; Smithson, Sarah F.; Grange, Dorothy K. (2017-04-01). "Clinical utility gene card for: Cantú syndrome". European Journal of Human Genetics. 25 (4): 512. doi:10.1038/ejhg.2016.185. ISSN 1018-4813. PMC 5386410. PMID 28051078.
- Grange, Dorothy K.; Nichols, Colin G.; Singh, Gautam K. (1993-01-01). "Cantú Syndrome and Related Disorders". In Pagon, Roberta A.; Adam, Margaret P.; Ardinger, Holly H.; Wallace, Stephanie E.; Amemiya, Anne; Bean, Lora J.H.; Bird, Thomas D.; Ledbetter, Nikki; Mefford, Heather C. (eds.). GeneReviews. Seattle (WA): University of Washington, Seattle. PMID 25275207.Initial posting 2014
- Engels H, Bosse K, Ehrbrecht A, et al. (August 2002). "Further case of Cantú syndrome: exclusion of cryptic subtelomeric chromosome aberrations". Am. J. Med. Genet. 111 (2): 205–9. doi:10.1002/ajmg.10560. PMID 12210352.
- Reference, Genetics Home. "Cantú syndrome". Genetics Home Reference. Retrieved 2017-03-23.
- Pubchem. "Prostaglandin E2 | C20H32O5 - PubChem". pubchem.ncbi.nlm.nih.gov. Retrieved 2017-04-01.
- Nichols, Colin G.; Singh, Gautam K.; Grange, Dorothy K. (2013-03-29). "KATP channels and cardiovascular disease: Suddenly a syndrome". Circulation Research. 112 (7): 1059–1072. doi:10.1161/CIRCRESAHA.112.300514. ISSN 0009-7330. PMC 3660033. PMID 23538276.
- "Hypertrichotic osteochondrodysplasia - Conditions - GTR - NCBI". www.ncbi.nlm.nih.gov. Retrieved 2017-04-01.
- Cantu JM, Garcia-Cruz D, Sanchez-Corona J, Hernandez A, Nazara Z (1982) A distinct osteochondrodysplasia with hypertrichosis--individualization of a probable autosomal recessive entity. Hum Genet 60: 36-41
Further reading
- Tadini, Gianluca; Brena, Michela; Gelmetti, Carlo; Pezzani, Lidia (2015-06-25). Atlas of Genodermatoses, Second Edition. CRC Press. ISBN 9781466598362. Retrieved 2017-04-01
- Friedewald, Vincent E. (2016). Clinical Guide to Cardiovascular Disease. Springer. ISBN 9781447172932.
External links
| Classification |
|
|---|---|
| External resources |
|
