Ectopic kidney
Ectopic kidney describes a kidney that is not located in its usual position. It results from the kidney failing to ascend from its origin in the true pelvis or from a superiorly ascended kidney located in the thorax.[1]
| Ectopic kidney | |
|---|---|
| Other names | Renal ectopia |
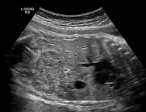
![]() | |
| Ectopic crossed fused kidney in a fetus approx. 34 weeks | |
| Specialty | Nephrology |
It has an incidence of approximately 1/900.[2]
See also
References
- "Ectopic Kidney - Renal Ectopia - Causes, Symptoms, Diagnosis, Treatment, Complications". Medindia. 18 March 2015. Retrieved 23 December 2016.
- "Ectopic Kidney". Archived from the original on 2011-06-08. Retrieved 2007-12-01.
This article is issued from Wikipedia. The text is licensed under Creative Commons - Attribution - Sharealike. Additional terms may apply for the media files.
