HER2/neu

Receptor tyrosine-protein kinase erbB-2, also known as CD340 (cluster of differentiation 340), proto-oncogene Neu, Erbb2 (rodent), or ERBB2 (human), is a protein that in humans is encoded by the ERBB2 gene. ERBB is abbreviated from erythroblastic oncogene B, a gene isolated from avian genome. It is also frequently called HER2 (from human epidermal growth factor receptor 2) or HER2/neu.[5][6][7]

ERBB2
Available structures
PDBOrtholog search: PDBe RCSB
Identifiers
AliasesERBB2, CD340, HER-2, HER-2/neu, HER2, MLN 19, NEU, NGL, TKR1, erb-b2 receptor tyrosine kinase 2
External IDsOMIM: 164870 MGI: 95410 HomoloGene: 3273 GeneCards: ERBB2
EC number2.7.10.1
Orthologs
SpeciesHumanMouse
Entrez

2064

13866

Ensembl

ENSG00000141736

ENSMUSG00000062312

UniProt

P04626

P70424

RefSeq (mRNA)

NM_001005862
NM_001289936
NM_001289937
NM_001289938
NM_004448

NM_001003817

RefSeq (protein)

NP_001003817

Location (UCSC)Chr 17: 39.69 – 39.73 MbChr 11: 98.41 – 98.44 Mb
PubMed search[3][4]
Wikidata
View/Edit HumanView/Edit Mouse

HER2 is a member of the human epidermal growth factor receptor (HER/EGFR/ERBB) family. Amplification or over-expression of this oncogene has been shown to play an important role in the development and progression of certain aggressive types of breast cancer. In recent years the protein has become an important biomarker and target of therapy for approximately 30% of breast cancer patients.[8]

Name

HER2 is so named because it has a similar structure to human epidermal growth factor receptor, or HER1. Neu is so named because it was derived from a rodent glioblastoma cell line, a type of neural tumor. ErbB-2 was named for its similarity to ErbB (avian erythroblastosis oncogene B), the oncogene later found to code for EGFR. Molecular cloning of the gene showed that HER2, Neu, and ErbB-2 are all encoded by the same orthologs.[9]

Gene

ERBB2, a known proto-oncogene, is located at the long arm of human chromosome 17 (17q12).

Function

The ErbB family consists of four plasma membrane-bound receptor tyrosine kinases. One of which is erbB-2, and the other members being epidermal growth factor receptor, erbB-3 (neuregulin-binding; lacks kinase domain), and erbB-4. All four contain an extracellular ligand binding domain, a transmembrane domain, and an intracellular domain that can interact with a multitude of signaling molecules and exhibit both ligand-dependent and ligand-independent activity. Notably, no ligands for HER2 have yet been identified.[10][11] HER2 can heterodimerise with any of the other three receptors and is considered to be the preferred dimerisation partner of the other ErbB receptors.[12]

Dimerisation results in the autophosphorylation of tyrosine residues within the cytoplasmic domain of the receptors and initiates a variety of signaling pathways.

Signal transduction

Signaling pathways activated by HER2 include:[13]

In summary, signaling through the ErbB family of receptors promotes cell proliferation and opposes apoptosis, and therefore must be tightly regulated to prevent uncontrolled cell growth from occurring.

Clinical significance

Cancer

Amplification, also known as the over-expression of the ERBB2 gene, occurs in approximately 15-30% of breast cancers.[8][14] It is strongly associated with increased disease recurrence and a poor prognosis; however, drug agents targeting HER2 in breast cancer have significantly positively altered the otherwise poor-prognosis natural history of HER2-positive breast cancer.[15] Over-expression is also known to occur in ovarian,[16] stomach, adenocarcinoma of the lung[17] and aggressive forms of uterine cancer, such as uterine serous endometrial carcinoma,[18][19] e.g. HER2 is over-expressed in approximately 7-34% of patients with gastric cancer[20][21] and in 30% of salivary duct carcinomas.[22]

HER2 is colocalised and most of the time, coamplified with the gene GRB7, which is a proto-oncogene associated with breast, testicular germ cell, gastric, and esophageal tumours.

HER2 proteins have been shown to form clusters in cell membranes that may play a role in tumorigenesis.[23][24]

Evidence has also implicated HER2 signaling in resistance to the EGFR-targeted cancer drug cetuximab.[25]

Mutations

Furthermore, diverse structural alterations have been identified that cause ligand-independent firing of this receptor, doing so in the absence of receptor over-expression. HER2 is found in a variety of tumours and some of these tumours carry point mutations in the sequence specifying the transmembrane domain of HER2. Substitution of a valine for a glutamic acid in the transmembrane domain can result in the constitutive dimerisation of this protein in the absence of a ligand.[26]

HER2 mutations have been found in non-small-cell lung cancers (NSCLC) and can direct treatment.[27]

As a drug target

HER2 is the target of the monoclonal antibody trastuzumab (marketed as Herceptin). Trastuzumab is effective only in cancers where HER2 is over-expressed. One year of trastuzumab therapy is recommended for all patients with HER2-positive breast cancer who are also receiving chemotherapy.[28] Twelve months of trastuzumab therapy is optimal. Randomized trials have demonstrated no additional benefit beyond 12 months, whereas 6 months has been shown to be inferior to 12. Trastuzumab is administered intravenously weekly or every 3 weeks.[29]

An important downstream effect of trastuzumab binding to HER2 is an increase in p27, a protein that halts cell proliferation.[30] Another monoclonal antibody, Pertuzumab, which inhibits dimerisation of HER2 and HER3 receptors, was approved by the FDA for use in combination with trastuzumab in June 2012.

As of November 2015, there are a number of ongoing and recently completed clinical trials of novel targeted agents for HER2+ metastatic breast cancer, e.g. margetuximab.[31]

Additionally, NeuVax (Galena Biopharma) is a peptide-based immunotherapy that directs "killer" T cells to target and destroy cancer cells that express HER2. It has entered phase 3 clinical trials.

It has been found that patients with ER+ (Estrogen receptor positive)/HER2+ compared with ER-/HER2+ breast cancers may actually benefit more from drugs that inhibit the PI3K/AKT molecular pathway.[32]

Over-expression of HER2 can also be suppressed by the amplification of other genes. Research is currently being conducted to discover which genes may have this desired effect.

The expression of HER2 is regulated by signaling through estrogen receptors. Normally, estradiol and tamoxifen acting through the estrogen receptor down-regulate the expression of HER2. However, when the ratio of the coactivator AIB-3 exceeds that of the corepressor PAX2, the expression of HER2 is upregulated in the presence of tamoxifen, leading to tamoxifen-resistant breast cancer.[33][34]

Her2 and Her3 distribution on a breast cell, (3D Dual Colour Super Resolution Microscopy SPDMphymod / LIMON, marked with Alexa 488 and 568)

Diagnostics

Cancer biopsy

HER2 testing is performed in breast cancer patients to assess prognosis and to determine suitability for trastuzumab therapy. It is important that trastuzumab is restricted to HER2-positive individuals as it is expensive and has been associated with cardiac toxicity.[35] For HER2-positive tumours, the risks of trastuzumab clearly outweigh the benefits.

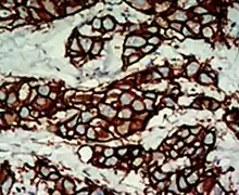
Her 2 staining on patient breast cancer tissue identified as stage 3
The staining is seen as a cell membrane with continuous brown color.

Tests are usually performed on breast biopsy samples obtained by either fine-needle aspiration, core needle biopsy, vacuum-assisted breast biopsy, or surgical excision. Immunohistochemistry is used to measure the amount of HER2 protein present in the sample. Examples of this assay include HercepTest, Dako, Glostrup, and Denmark. The sample is given a score based on the cell membrane staining pattern.

Immunohistochemistry
Score[36][37]Status[36][37]Pattern
0HER2 negative
(not present)
Negative for HER2 protein expression.[38]
1+Weak or incomplete membrane staining in any tumor cells.[38]
2+Borderline/Equivocal
  • Complete membrane staining that is either nonuniform or weak in intensity, but has circumferential distribution in at least 10% of cells.[37][38]

or

  • Uniform intense membrane staining in 30% or less of tumor cells.[38]
3+HER2 positiveUniform intense membrane staining of more than 30% of invasive tumor cells.[37][38]

Specimens with equivocal IHC results should then be validated using fluorescence in situ hybridisation (FISH). FISH can be used to measure the number of copies of the gene which are present and is thought to be more reliable than IHC.[39]

Serum

The extracellular domain of HER2 can be shed from the surface of tumour cells and enter the circulation. Measurement of serum HER2 by enzyme-linked immunosorbent assay (ELISA) offers a far less invasive method of determining HER2 status than a biopsy and consequently has been extensively investigated. Results so far have suggested that changes in serum HER2 concentrations may be useful in predicting response to trastuzumab therapy.[40] However, its ability to determine eligibility for trastuzumab therapy is less clear.[41]

Interactions

HER2/neu has been shown to interact with:

See also

  • Ann Marie Rogers, campaigned for UK NHS to provide Herceptin
  • SkBr3 Cell Line, over-expresses HER2

References

  1. GRCh38: Ensembl release 89: ENSG00000141736 - Ensembl, May 2017
  2. GRCm38: Ensembl release 89: ENSMUSG00000062312 - Ensembl, May 2017
  3. "Human PubMed Reference:". National Center for Biotechnology Information, U.S. National Library of Medicine.
  4. "Mouse PubMed Reference:". National Center for Biotechnology Information, U.S. National Library of Medicine.
  5. "ERBB2 erb-b2 receptor tyrosine kinase 2 [Homo sapiens (human)] - Gene - NCBI". www.ncbi.nlm.nih.gov. Retrieved 2016-06-14.
  6. Reference, Genetics Home. "ERBB2". Genetics Home Reference. Retrieved 2016-06-19.
  7. Barh D, Gunduz M (2015-01-22). Noninvasive Molecular Markers in Gynecologic Cancers. CRC Press. p. 427. ISBN 9781466569393.
  8. Mitri Z, Constantine T, O'Regan R (2012). "The HER2 Receptor in Breast Cancer: Pathophysiology, Clinical Use, and New Advances in Therapy". Chemotherapy Research and Practice. 2012: 743193. doi:10.1155/2012/743193. PMC 3539433. PMID 23320171.
  9. Coussens L, Yang-Feng TL, Liao YC, Chen E, Gray A, McGrath J, Seeburg PH, Libermann TA, Schlessinger J, Francke U (December 1985). "Tyrosine kinase receptor with extensive homology to EGF receptor shares chromosomal location with neu oncogene". Science. 230 (4730): 1132–9. Bibcode:1985Sci...230.1132C. doi:10.1126/science.2999974. PMID 2999974.
  10. Keshamouni VG, Mattingly RR, Reddy KB (June 2002). "Mechanism of 17-beta-estradiol-induced Erk1/2 activation in breast cancer cells. A role for HER2 AND PKC-delta". The Journal of Biological Chemistry. 277 (25): 22558–65. doi:10.1074/jbc.M202351200. PMID 11960991.
  11. Rusnak DW, Affleck K, Cockerill SG, Stubberfield C, Harris R, Page M, et al. (October 2001). "The characterization of novel, dual ErbB-2/EGFR, tyrosine kinase inhibitors: potential therapy for cancer". Cancer Research. 61 (19): 7196–203. PMID 11585755.
  12. Olayioye MA (2001). "Update on HER-2 as a target for cancer therapy: intracellular signaling pathways of ErbB2/HER-2 and family members". Breast Cancer Research. 3 (6): 385–9. doi:10.1186/bcr327. PMC 138705. PMID 11737890.
  13. Roy V, Perez EA (November 2009). "Beyond trastuzumab: small molecule tyrosine kinase inhibitors in HER-2-positive breast cancer". The Oncologist. 14 (11): 1061–9. doi:10.1634/theoncologist.2009-0142. PMID 19887469.
  14. Burstein HJ (October 2005). "The distinctive nature of HER2-positive breast cancers". The New England Journal of Medicine. 353 (16): 1652–4. doi:10.1056/NEJMp058197. PMID 16236735. S2CID 26675265.
  15. Tan M, Yu D (2007). "Molecular mechanisms of erbB2-mediated breast cancer chemoresistance". Breast Cancer Chemosensitivity. Advances in Experimental Medicine and Biology. 608. pp. 119–29. doi:10.1007/978-0-387-74039-3_9. ISBN 978-0-387-74037-9. PMID 17993237.
  16. Kumar V, Abbas A, Aster J (2013). Robbins basic pathology. Philadelphia: Elsevier/Saunders. p. 697. ISBN 9781437717815.
  17. Kumar V, Abbas A, Aster J (2013). Robbins basic pathology. Philadelphia: Elsevier/Saunders. p. 179. ISBN 9781437717815.
  18. Santin AD, Bellone S, Roman JJ, McKenney JK, Pecorelli S (August 2008). "Trastuzumab treatment in patients with advanced or recurrent endometrial carcinoma overexpressing HER2/neu". International Journal of Gynaecology and Obstetrics. 102 (2): 128–31. doi:10.1016/j.ijgo.2008.04.008. PMID 18555254. S2CID 25674060.
  19. Buza N, Roque DM, Santin AD (March 2014). "HER2/neu in Endometrial Cancer: A Promising Therapeutic Target With Diagnostic Challenges". Archives of Pathology & Laboratory Medicine. 138 (3): 343–50. doi:10.5858/arpa.2012-0416-RA. PMID 24576030.
  20. Rüschoff J, Hanna W, Bilous M, Hofmann M, Osamura RY, Penault-Llorca F, van de Vijver M, Viale G (May 2012). "HER2 testing in gastric cancer: a practical approach". Modern Pathology. 25 (5): 637–50. doi:10.1038/modpathol.2011.198. PMID 22222640.
  21. Meza-Junco J, Au HJ, Sawyer MB (2011). "Critical appraisal of trastuzumab in treatment of advanced stomach cancer". Cancer Management and Research. 3 (3): 57–64. doi:10.2147/CMAR.S12698. PMC 3085240. PMID 21556317.
  22. Chiosea SI, Williams L, Griffith CC, Thompson LD, Weinreb I, Bauman JE, Luvison A, Roy S, Seethala RR, Nikiforova MN (June 2015). "Molecular characterization of apocrine salivary duct carcinoma". The American Journal of Surgical Pathology. 39 (6): 744–52. doi:10.1097/PAS.0000000000000410. PMID 25723113. S2CID 34106002.
  23. Nagy P, Jenei A, Kirsch AK, Szöllosi J, Damjanovich S, Jovin TM (June 1999). "Activation-dependent clustering of the erbB2 receptor tyrosine kinase detected by scanning near-field optical microscopy". Journal of Cell Science. 112 (11): 1733–41. PMID 10318765.
  24. Kaufmann R, Müller P, Hildenbrand G, Hausmann M, Cremer C (April 2011). "Analysis of Her2/neu membrane protein clusters in different types of breast cancer cells using localization microscopy". Journal of Microscopy. 242 (1): 46–54. doi:10.1111/j.1365-2818.2010.03436.x. PMID 21118230. S2CID 2119158.
  25. Yonesaka K, Zejnullahu K, Okamoto I, Satoh T, Cappuzzo F, Souglakos J, et al. (September 2011). "Activation of ERBB2 signaling causes resistance to the EGFR-directed therapeutic antibody cetuximab". Science Translational Medicine. 3 (99): 99ra86. doi:10.1126/scitranslmed.3002442. PMC 3268675. PMID 21900593.
  26. Brandt-Rauf PW, Rackovsky S, Pincus MR (November 1990). "Correlation of the structure of the transmembrane domain of the neu oncogene-encoded p185 protein with its function". Proceedings of the National Academy of Sciences of the United States of America. 87 (21): 8660–4. Bibcode:1990PNAS...87.8660B. doi:10.1073/pnas.87.21.8660. PMC 55017. PMID 1978329.
  27. Mazières J, Peters S, Lepage B, Cortot AB, Barlesi F, Beau-Faller M, et al. (June 2013). "Lung cancer that harbors an HER2 mutation: epidemiologic characteristics and therapeutic perspectives". Journal of Clinical Oncology. 31 (16): 1997–2003. doi:10.1200/JCO.2012.45.6095. PMID 23610105. S2CID 37663670.
  28. Mates M, Fletcher GG, Freedman OC, Eisen A, Gandhi S, Trudeau ME, Dent SF (March 2015). "Systemic targeted therapy for her2-positive early female breast cancer: a systematic review of the evidence for the 2014 Cancer Care Ontario systemic therapy guideline". Current Oncology. 22 (Suppl 1): S114-22. doi:10.3747/co.22.2322. PMC 4381787. PMID 25848335.
  29. Jameson; et al. (2018). Harrison's Principles of Internal Medicine (20th ed.). McGraw-Hill Education. pp. Chapter 75: Breast Cancer. ISBN 978-1-259-64403-0.
  30. Le XF, Pruefer F, Bast RC (January 2005). "HER2-targeting antibodies modulate the cyclin-dependent kinase inhibitor p27Kip1 via multiple signaling pathways". Cell Cycle. 4 (1): 87–95. doi:10.4161/cc.4.1.1360. PMID 15611642.
  31. Jiang H, Rugo HS (November 2015). "Human epidermal growth factor receptor 2 positive (HER2+) metastatic breast cancer: how the latest results are improving therapeutic options". Therapeutic Advances in Medical Oncology. 7 (6): 321–39. doi:10.1177/1758834015599389. PMC 4622301. PMID 26557900.
  32. Loi S, Sotiriou C, Haibe-Kains B, Lallemand F, Conus NM, Piccart MJ, Speed TP, McArthur GA (2009). "Gene expression profiling identifies activated growth factor signaling in poor prognosis (Luminal-B) estrogen receptor positive breast cancer". BMC Medical Genomics. 2: 37. doi:10.1186/1755-8794-2-37. PMC 2706265. PMID 19552798. Lay summary ScienceDaily.
  33. "Study sheds new light on tamoxifen resistance". Cordis News. Cordis. 2008-11-13. Retrieved 2008-11-14.
  34. Hurtado A, Holmes KA, Geistlinger TR, Hutcheson IR, Nicholson RI, Brown M, Jiang J, Howat WJ, Ali S, Carroll JS (December 2008). "Regulation of ERBB2 by oestrogen receptor-PAX2 determines response to tamoxifen". Nature. 456 (7222): 663–6. Bibcode:2008Natur.456..663H. doi:10.1038/nature07483. PMC 2920208. PMID 19005469.
  35. Telli ML, Hunt SA, Carlson RW, Guardino AE (August 2007). "Trastuzumab-related cardiotoxicity: calling into question the concept of reversibility". Journal of Clinical Oncology. 25 (23): 3525–33. doi:10.1200/JCO.2007.11.0106. PMID 17687157.
  36. "IHC Tests (ImmunoHistoChemistry)". Breastcancer.org. Retrieved 2019-10-04. Last modified on October 23, 2015
  37. Iqbal, Nida; Iqbal, Naveed (2014). "Human Epidermal Growth Factor Receptor 2 (HER2) in Cancers: Overexpression and Therapeutic Implications". Molecular Biology International. 2014: 1–9. doi:10.1155/2014/852748. ISSN 2090-2182. PMC 4170925. PMID 25276427.
  38. Pavani Chalasani, MD. "How is HER2 testing performed in the evaluation of breast cancer?". Medscape. Updated: Apr 23, 2020
  39. Giuliano AE, Hurvitz SA (2019). "Breast Disorder". In Papadakis MA, McPhee SJ, Rabow MW (eds.). Current Medical Diagnosis & Treatment. New York, NY: McGraw-Hill.
  40. Ali SM, Carney WP, Esteva FJ, Fornier M, Harris L, Köstler WJ, Lotz JP, Luftner D, Pichon MF, Lipton A (September 2008). "Serum HER-2/neu and relative resistance to trastuzumab-based therapy in patients with metastatic breast cancer". Cancer. 113 (6): 1294–301. doi:10.1002/cncr.23689. PMID 18661530. S2CID 7307111.
  41. Lennon S, Barton C, Banken L, Gianni L, Marty M, Baselga J, Leyland-Jones B (April 2009). "Utility of serum HER2 extracellular domain assessment in clinical decision making: pooled analysis of four trials of trastuzumab in metastatic breast cancer". Journal of Clinical Oncology. 27 (10): 1685–93. doi:10.1200/JCO.2008.16.8351. PMID 19255335.
  42. Schroeder JA, Adriance MC, McConnell EJ, Thompson MC, Pockaj B, Gendler SJ (June 2002). "ErbB-beta-catenin complexes are associated with human infiltrating ductal breast and murine mammary tumor virus (MMTV)-Wnt-1 and MMTV-c-Neu transgenic carcinomas". The Journal of Biological Chemistry. 277 (25): 22692–8. doi:10.1074/jbc.M201975200. PMID 11950845.
  43. Bonvini P, An WG, Rosolen A, Nguyen P, Trepel J, Garcia de Herreros A, Dunach M, Neckers LM (February 2001). "Geldanamycin abrogates ErbB2 association with proteasome-resistant beta-catenin in melanoma cells, increases beta-catenin-E-cadherin association, and decreases beta-catenin-sensitive transcription". Cancer Research. 61 (4): 1671–7. PMID 11245482.
  44. Kanai Y, Ochiai A, Shibata T, Oyama T, Ushijima S, Akimoto S, Hirohashi S (March 1995). "c-erbB-2 gene product directly associates with beta-catenin and plakoglobin". Biochemical and Biophysical Research Communications. 208 (3): 1067–72. doi:10.1006/bbrc.1995.1443. PMID 7702605.
  45. Huang YZ, Won S, Ali DW, Wang Q, Tanowitz M, Du QS, Pelkey KA, Yang DJ, Xiong WC, Salter MW, Mei L (May 2000). "Regulation of neuregulin signaling by PSD-95 interacting with ErbB4 at CNS synapses". Neuron. 26 (2): 443–55. doi:10.1016/s0896-6273(00)81176-9. PMID 10839362. S2CID 1429113.
  46. Jaulin-Bastard F, Saito H, Le Bivic A, Ollendorff V, Marchetto S, Birnbaum D, Borg JP (May 2001). "The ERBB2/HER2 receptor differentially interacts with ERBIN and PICK1 PSD-95/DLG/ZO-1 domain proteins". The Journal of Biological Chemistry. 276 (18): 15256–63. doi:10.1074/jbc.M010032200. PMID 11278603.
  47. Bilder D, Birnbaum D, Borg JP, Bryant P, Huigbretse J, Jansen E, Kennedy MB, Labouesse M, Legouis R, Mechler B, Perrimon N, Petit M, Sinha P (July 2000). "Collective nomenclature for LAP proteins". Nature Cell Biology. 2 (7): E114. doi:10.1038/35017119. PMID 10878817. S2CID 19749569.
  48. Huang YZ, Zang M, Xiong WC, Luo Z, Mei L (January 2003). "Erbin suppresses the MAP kinase pathway". The Journal of Biological Chemistry. 278 (2): 1108–14. doi:10.1074/jbc.M205413200. PMID 12379659.
  49. Schulze WX, Deng L, Mann M (2005). "Phosphotyrosine interactome of the ErbB-receptor kinase family". Molecular Systems Biology. 1: 2005.0008. doi:10.1038/msb4100012. PMC 1681463. PMID 16729043.
  50. Bourguignon LY, Zhu H, Zhou B, Diedrich F, Singleton PA, Hung MC (December 2001). "Hyaluronan promotes CD44v3-Vav2 interaction with Grb2-p185(HER2) and induces Rac1 and Ras signaling during ovarian tumor cell migration and growth". The Journal of Biological Chemistry. 276 (52): 48679–92. doi:10.1074/jbc.M106759200. PMID 11606575.
  51. Olayioye MA, Graus-Porta D, Beerli RR, Rohrer J, Gay B, Hynes NE (September 1998). "ErbB-1 and ErbB-2 acquire distinct signaling properties dependent upon their dimerization partner". Molecular and Cellular Biology. 18 (9): 5042–51. doi:10.1128/mcb.18.9.5042. PMC 109089. PMID 9710588.
  52. Xu W, Mimnaugh E, Rosser MF, Nicchitta C, Marcu M, Yarden Y, Neckers L (February 2001). "Sensitivity of mature Erbb2 to geldanamycin is conferred by its kinase domain and is mediated by the chaperone protein Hsp90". The Journal of Biological Chemistry. 276 (5): 3702–8. doi:10.1074/jbc.M006864200. PMID 11071886.
  53. Jeong JH, An JY, Kwon YT, Li LY, Lee YJ (October 2008). "Quercetin-induced ubiquitination and down-regulation of Her-2/neu". Journal of Cellular Biochemistry. 105 (2): 585–95. doi:10.1002/jcb.21859. PMC 2575035. PMID 18655187.
  54. Grant SL, Hammacher A, Douglas AM, Goss GA, Mansfield RK, Heath JK, Begley CG (January 2002). "An unexpected biochemical and functional interaction between gp130 and the EGF receptor family in breast cancer cells". Oncogene. 21 (3): 460–74. doi:10.1038/sj.onc.1205100. PMID 11821958.
  55. Li Y, Yu WH, Ren J, Chen W, Huang L, Kharbanda S, Loda M, Kufe D (August 2003). "Heregulin targets gamma-catenin to the nucleolus by a mechanism dependent on the DF3/MUC1 oncoprotein". Molecular Cancer Research. 1 (10): 765–75. PMID 12939402.
  56. Schroeder JA, Thompson MC, Gardner MM, Gendler SJ (April 2001). "Transgenic MUC1 interacts with epidermal growth factor receptor and correlates with mitogen-activated protein kinase activation in the mouse mammary gland". The Journal of Biological Chemistry. 276 (16): 13057–64. doi:10.1074/jbc.M011248200. PMID 11278868.
  57. Gout I, Dhand R, Panayotou G, Fry MJ, Hiles I, Otsu M, Waterfield MD (December 1992). "Expression and characterization of the p85 subunit of the phosphatidylinositol 3-kinase complex and a related p85 beta protein by using the baculovirus expression system". The Biochemical Journal. 288 (2): 395–405. doi:10.1042/bj2880395. PMC 1132024. PMID 1334406.
  58. Peles E, Levy RB, Or E, Ullrich A, Yarden Y (August 1991). "Oncogenic forms of the neu/HER2 tyrosine kinase are permanently coupled to phospholipase C gamma". The EMBO Journal. 10 (8): 2077–86. doi:10.1002/j.1460-2075.1991.tb07739.x. PMC 452891. PMID 1676673.
  59. Arteaga CL, Johnson MD, Todderud G, Coffey RJ, Carpenter G, Page DL (December 1991). "Elevated content of the tyrosine kinase substrate phospholipase C-gamma 1 in primary human breast carcinomas". Proceedings of the National Academy of Sciences of the United States of America. 88 (23): 10435–9. Bibcode:1991PNAS...8810435A. doi:10.1073/pnas.88.23.10435. PMC 52943. PMID 1683701.
  60. Wong L, Deb TB, Thompson SA, Wells A, Johnson GR (March 1999). "A differential requirement for the COOH-terminal region of the epidermal growth factor (EGF) receptor in amphiregulin and EGF mitogenic signaling". The Journal of Biological Chemistry. 274 (13): 8900–9. doi:10.1074/jbc.274.13.8900. PMID 10085134.

Further reading

This article is issued from Wikipedia. The text is licensed under Creative Commons - Attribution - Sharealike. Additional terms may apply for the media files.