Hyperostosis frontalis interna
Hyperostosis frontalis interna is a common, benign thickening of the inner side of the frontal bone of the skull. It is found predominantly in women after menopause and is usually asymptomatic. Mostly frequently it is found as an incidental finding discovered during an X-ray or CT scan of the skull.
| Hyperostosis frontalis interna | |
|---|---|
![]() | |
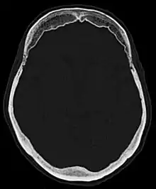
| Hyperostosis frontalis interna in a 74-year-old woman | |
| Specialty | Radiology |
Additional images

Hyperostosis frontalis at CT
References
- She R, Szakacs J (2004). "Hyperostosis frontalis interna: case report and review of literature". Ann. Clin. Lab. Sci. 34 (2): 206–8. PMID 15228235.
This article is issued from Wikipedia. The text is licensed under Creative Commons - Attribution - Sharealike. Additional terms may apply for the media files.
