Michaelis–Gutmann bodies
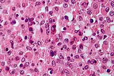
Michaelis–Gutmann bodies, (M-G bodies) are concentrically layered basophilic inclusions found in Hansemann cells in the urinary tract. They are 2 to 10 μm in diameter, and are thought to represent remnants of phagosomes mineralized by iron and calcium deposits.

Micrograph showing Michaelis-Gutmann bodies. H&E stain.
M-G bodies are a pathognomonic feature of malakoplakia, an inflammatory condition that affects the genitourinary tract. They were discovered in 1902 by Leonor Michaelis and Carl Gutmann.
This article is issued from Wikipedia. The text is licensed under Creative Commons - Attribution - Sharealike. Additional terms may apply for the media files.