PAS diastase stain

Periodic acid–Schiff–diastase (PAS-D, PAS diastase) stain is a periodic acid–Schiff (PAS) stain used in combination with diastase, an enzyme that breaks down glycogen. PAS-D is a stain often used by pathologists as an ancillary study in making a histologic diagnosis on paraffin-embedded tissue specimens. PAS stain typically gives a magenta color in the presence of glycogen. When PAS and diastase are used together, a light pink color replaces the deep magenta. Differences in the intensities of the two stains (PAS and PAS-D) can be attributed to different glycogen concentrations and can be used to semiquantify glycogen in samples. In practice, the tissue is deparaffinized, the diastase incubates, and then the PAS stain is applied.

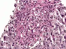
PAS diastase showing Histoplasma in a liver biopsy.

An example of PAS-D in use is in showing gastric/duodenal metaplasia in duodenal adenomas.[1] PAS diastase stain is also used to identify alpha-1 antitrypsin globules in hepatocytes, which is a characteristic finding of alpha-1 antitrypsin deficiency.[2]

Additional images

See also

References

  1. Rubio CA (2007). "Gastric duodenal metaplasia in duodenal adenomas". J. Clin. Pathol. 60 (6): 661–3. doi:10.1136/jcp.2006.039388. PMC 1955048. PMID 16837629.
  2. Patel, D; Teckman, JH (November 2018). "Alpha-1-Antitrypsin Deficiency Liver Disease". Clinics in liver disease. 22 (4): 643–655. doi:10.1016/j.cld.2018.06.010. PMID 30266154.
This article is issued from Wikipedia. The text is licensed under Creative Commons - Attribution - Sharealike. Additional terms may apply for the media files.