Pancreatic mucinous cystadenoma
Pancreatic mucinous cystadenoma, also known as "mucinous cystadenoma of the pancreas", is a benign tumour of pancreas. It is one of the cystic lesions of the pancreas.[1]
Pathology
Microscopy
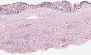
Mucinous cystadenoma of the pancreas
Mucinous cystadenoma of the pancreas
Mucinous cystadenoma of the pancreas
Mucinous cystadenoma of the pancreas
References
- Parra-Herran, C. E.; Garcia, M. T.; Herrera, L; Bejarano, P. A. (2010). "Cystic lesions of the pancreas: Clinical and pathologic review of cases in a five year period". Journal of the Pancreas. 11 (4): 358–64. PMID 20601810.
This article is issued from Wikipedia. The text is licensed under Creative Commons - Attribution - Sharealike. Additional terms may apply for the media files.