Placental site nodule
A placental site nodule (PSN) is benign remnant from a previous pregnancy.[1]
| Placental site nodule | |
|---|---|
![]() | |
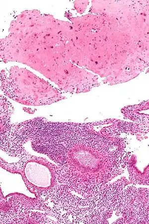
| Micrograph of a placental site nodule (top of image). H&E stain. |
Presentation
They are typically asymptomatic and found incidentally.[1]
Pathology
PSNs are intermediate trophoblastic remnants.
Diagnosis
PSN are diagnosed by examining the tissue under a microscope, usually obtained with a dilation and curettage.
Typically, they consist of pink (hyaline) material using the standard stain and contain few cells. Bizarre multinucleated cells may be present; however, there is no mitotic activity. The differential diagnosis includes (cervical) squamous cell carcinoma, gestational trophoblastic disease, and exaggerated placental site.
Prognosis
PSN are benign. Once removed, they do not require any treatment and do not recur.
References
- Jacob, S.; Mohapatra, D. (2009). "Placental site nodule: a tumor-like trophoblastic lesion". Indian J Pathol Microbiol. 52 (2): 240–1. doi:10.4103/0377-4929.48931. PMID 19332926.
External links
| Classification |
|---|
This article is issued from Wikipedia. The text is licensed under Creative Commons - Attribution - Sharealike. Additional terms may apply for the media files.
