Pneumaturia
Pneumaturia is the passage of gas or "air" in urine. This may be seen or described as "bubbles in the urine".
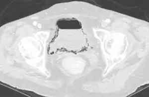
| Pneumaturia | |
|---|---|
![]() | |
| Emphysematous cystitis in computertomography | |
| Specialty | Urology |
Causes
A common cause of pneumaturia is colovesical fistula (communication between the colon and bladder). These may occur as a complication of diverticular disease. Pneumaturia can also happen if a urinary catheter was recently in the bladder.
Other key differentials:
- Crohn's disease
- Carcinoma of the colon or bladder
- A gas-producing UTI (emphysematous cystitis: rare).
- Emphysematous pyelonephritis.
Male scuba divers utilizing condom catheters or female divers using a She-p external catching device for their dry suits are also susceptible to pneumaturia.[1]
Diagnosis
Diagnosis is made by patient history of passing air or a sputtering urine stream. CT scans may show air in the urinary bladder or bladder walls.
References
- Harris, Richard (December 2009). "Genitourinary infection and barotrauma as complications of 'P-valve' use in drysuit divers". Diving and Hyperbaric Medicine. 39 (4): 210–2. PMID 22752741. Archived from the original on 2013-05-26. Retrieved 2013-04-04.
This article is issued from Wikipedia. The text is licensed under Creative Commons - Attribution - Sharealike. Additional terms may apply for the media files.
