Poroma
A poroma is a benign skin tumor derived from sweat glands. Although the original term poroma was initially used to describe a tumor derived from the ductal epithelium of eccrine sweat glands, the term is used in general reference to tumors derived from ductal portions of both eccrine and apocrine sweat glands. Specific sub-types are primarily defined by location of tumor, and include:[1][2]
- eccrine poroma
- hidroacanthoma simplex (intraepithelial poroma)
- dermal duct tumor (intradermal poroma)
- syringoacanthoma
- syringofibroadenoma
- poroid hidradenoma (disputed as different family)

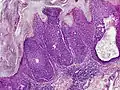
Eccrine poroma

An eccrine poroma specifically refers to a tumor derived specifically from the most apical portion of eccrine sweat gland (acrosyringium). They are most commonly found on acral distribution (on palms and soles), and most commonly in adults. They are described as < 1–2 cm pink/red shiny, exophytic lesions that can be pigmented and are clinically very similar to pyogenic granulomas.[4] Histologically, the cells as PAS-positive and clearly surrounded by normal keratinocytes. These tumors are surgically excised usually without complication or recurrence, although malignant porocarcinomas can recur and metastasize to local lymph nodes.[5]
Poroma eccrinale (Hidroacanthoma simplex)
Eccrine clear cell poroma
References
- Ackerman, AB, ed. (1990). Ackerman’s Histologic Diagnosis of Neoplastic Skin Diseases, a Method by Pattern Analysis. 1. Philadelphia, PA: Lea & Febiger. pp. 113–185.
- Casper, DJ; Glass, LF; Shenefelt, PD (Nov 2011). "An Unusually Large Eccrine Poroma: A Case Report and Review of the Literature". Cutis. 88: 227–229.
- Chessa, Marco A.; Patrizi, Annalisa; Baraldi, Carlotta; Fanti, Pier Alessandro; Barisani, Alessia; Vaccari, Sabina (2019). "Dermoscopic–Histopathological Correlation of Eccrine Poroma: An Observational Study". Dermatology Practical & Conceptual: 283–291. doi:10.5826/dpc.0904a07. ISSN 2160-9381.
- Griffiths, C; Cox, N; Breathnach, S; et al., eds. (2010). "53. Tumours of the Skin Appendages: Eccrine gland tumours". Rook's Textbook of Dermatology - 8th Ed. Chichester, West Sussex: John Wiley & Sons Ltd. ISBN 1-4051-6169-8.
- Hale, Christopher. "Skin - Nonmelanocytic tumors, Adnexal tumors - eccrine sweat glands: Eccrine poroma". PathologyOutlines.com. Retrieved 30 August 2014.