Quadriceps tendon rupture
A quadriceps tendon rupture is a tear of the tendon that runs from the quadriceps muscle to the top of the knee cap.[1]
| Quadriceps tendon rupture | |
|---|---|
| Other names | Quadriceps tendon tear |
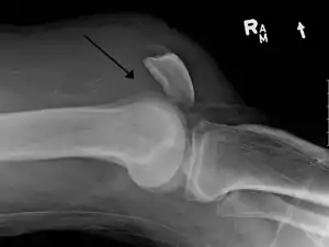
![]() | |
| An x-ray demonstrating quadriceps tendon rupture. Note the abnormal angle of the patella and soft-tissue swelling marked by the arrow. | |
| Specialty | Orthopedic |
Signs and symptoms
Symptoms are pain and the inability to extend the knee against resistance. A gap can often be palpated at the tendon's normal location.
Diagnosis
The diagnosis is usually made clinically, but ultrasound or MRI can be used if there is any doubt.
Quadriceps tendon rupture in plain X-ray
Quadriceps tendon rupture in plain X-ray: Incomplete rupture with haematoma in tendon.
Quadriceps tendon rupture in plain X-ray
X-ray of a tear of the patellar tendon. On the left: The kneecap is pulled up. On the right: Significant dent in the soft tissue above the kneecap.
Operative image: 1. Kneecap 2. upper patella pole with drill holes 3. Stump of the quadriceps tendon
Treatment
The tendon can be surgically repaired. Afterwards a brace is given that prevents flexion of the knee. Athletes who have suffered this injury generally return to action in about 9 months to a year.
References
- "Quadriceps Tendon Rupture: Practice Essentials, Anatomy, Pathophysiology". 2017-07-19. Cite journal requires
|journal=(help)
This article is issued from Wikipedia. The text is licensed under Creative Commons - Attribution - Sharealike. Additional terms may apply for the media files.
