Sever's disease
Sever's Disease, otherwise known as apophysitis of the calcaneus, is an inflammation of the growth plate in the heel of growing children. The condition presents as pain in the heel and is caused by repetitive stress to the heel and is thus particularly common in active children. It usually resolves when the bone has completed growth or activity is lessened. The pain can be eased through stretching.
| Sever's disease | |
|---|---|
| Other names | Apophysitis of the Calcaneus |
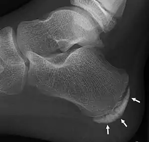
![]() | |
| X-ray of the foot of an 11-year-old child,showing sclerosis and fragmentation of the calcaneal apophysis. This is a sign of low sensitivity and specificity of Sever's disease, because those with Sever's disease may not have it, and it is commonly present in feet without any symptoms.[1] | |
| Specialty | Rheumatology |
| Symptoms | Pain in the heel |
| Diagnostic method | clinical, imaging (xray) |
Symptoms
The most prominent symptom of Sever's disease is heel pain which is usually aggravated by physical activity such as walking, running or jumping. The pain is localised to the posterior and plantar side of the heel over the calcaneal apophysis. Sometimes, the pain may be so severe that it may cause limping and interfere with physical performance in sports. External appearance of the heel is almost always normal, and signs of local disease such as edema, erythema (redness) are absent. The main diagnostic tool is pain on medial-lateral compression of the calcaneus in the area of growth plate, the so-called “squeeze test.” Foot radiographs are usually normal. Therefore, the diagnosis of Sever's disease is primarily clinical.[2]
Cause
Sever's disease is directly related to overuse of the bone and tendons in the heel. This can come from playing sports or anything that involves a lot of heel movement. It can be associated with starting a new sport, or the start of a new season. Children who are going through adolescence are also at risk of getting it because the heel bone grows quicker than the leg.[3][4] Bearing too much weight on the heel can also cause it, as can excessive traction since the bones and tendons are still developing. It occurs more commonly in children who over-pronate, and involves both heels in more than half of patients. It is the equivalent of Osgood Schlatter disease of the knee.
Prevention
- Maintain good flexibility through stretching exercises
- Avoid excessive running on hard surfaces
- Use quality, well-fitting shoes with firm support and a shock-absorbent sole
Treatment
Treatment may consist of one or more of the following:
Recovery
Sever's disease is self-recovering, meaning that it will go away on its own when the foot is used less or when the bone is through growing. The condition is not expected to create any long-term disability, and expected to subside in 2 or more weeks.[5] Some orthopedic surgeons will put the affected foot in a cast to immobilize it.
While symptoms can resolve quickly, they can recur. Sever's disease is more common in boys than girls; the average age of symptom onset is nine to eleven years.
Eponym
It is named for James Warren Sever (1878–1964), an American orthopedic doctor, who described it in 1912.[6] Sever had "The Principles of Orthopaedic Surgery" published in 1940 through the Macmillan Company.
See also
References
- Mark A Noffsinger (2016-09-07). "Calcaneal Apophysitis (Sever Disease) Workup". Medscape. Retrieved 2017-01-19.
- Kose, Ozkan (2010). "Do we really need radiographic assessment for the diagnosis of non-specific heel pain (calcaneal apophysitis) in children?". Skeletal Radiology. 39 (4): 359–361. doi:10.1007/s00256-009-0774-y. PMID 19672591. S2CID 19889365.
- "Sever's Disease". Kidshealth.org. Retrieved 2014-04-29.
- Hendrix CL (2005). "Calcaneal apophysitis (Sever disease)". Clinics in Podiatric Medicine and Surgery. 22 (1): 55–62, vi. doi:10.1016/j.cpm.2004.08.011. PMID 15555843.
- Madden CC, Mellion MB (1996). "Sever's disease and other causes of heel pain in adolescents". American Family Physician. 54 (6): 1995–2000. PMID 8900359.
- "Sever disease - definition of Sever disease in the medical dictionary - by the Free Online Medical Dictionary, Thesaurus and Encyclopedia". Medical-dictionary.thefreedictionary.com. Retrieved 2014-04-29.
Further reading
- Micheli LJ, Ireland ML (1987). "Prevention and management of calcaneal apophysitis in children: an overuse syndrome". J Pediatr Orthop. 7 (1): 34–8. doi:10.1097/01241398-198701000-00007. PMID 3793908. S2CID 762007.
- Bailey, Christopher; Cannon, Mary (May 2014). "Sever Disease (Calcaneal Apophysitis)". The Journal of the American Osteopathic Association. 114 (5): 411. doi:10.7556/jaoa.2014.081. PMID 24778005.
- Foot Physicians - Pediatric Heel Pain
