Tingible body macrophage

A tingible body macrophage is a type of macrophage predominantly found in germinal centers, containing many phagocytized, apoptotic cells in various states of degradation, referred to as tingible bodies (tingible meaning stainable).[1] Tingible body macrophages contain condensed chromatin fragments.[2]

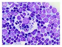
A tingible body macrophage.

It is thought that they may play a role in downregulating the germinal center reaction by the release of prostaglandins and hence a reduced B-cell induction of IL-2.[3]

Macrophages that contain debris from ingested lymphocytes are characteristic of a reactive follicular center in benign reactive lymphadenitis. Other accompanying signs of a benign follicular hyperplasia are well developed germinal centers with dark and light zones, in addition to numerous mitotic figures.

References

  1. Horst Ibelgaufts' COPE: Cytokines & Cells Online Pathfinder Encyclopaedia > tingible body macrophages Retrieved on June 27, 2010
  2. MacLennan I.C.M (1994). "Germinal Centers". Annual Review of Immunology. 12: 117–139. doi:10.1146/annurev.iy.12.040194.001001. PMID 8011279.
  3. Smith JP, Burton GF, Tew JG, Szakal AK (1998). "Tingible body macrophages in regulation of germinal center reactions". Developmental Immunology. 6 (3–4): 285–294. doi:10.1155/1998/38923. PMC 2276033. PMID 9814602.


This article is issued from Wikipedia. The text is licensed under Creative Commons - Attribution - Sharealike. Additional terms may apply for the media files.