Torus fracture
A Torus fracture, also known as a buckle fracture is the most common fracture in children.[1] It is a common occurrence following a fall, as the wrist absorbs most of the impact and compresses the bony cortex on one side and remains intact on the other, creating a bulging effect.[2] As the bulge is only on one side of the bone, this injury is can be classified as an incomplete fracture. The compressive force is provided by the trabeculae and is longitudinal to the axis of the long bone.[3] The word "torus" originates from the Latin word "protuberance."[4]


Signs and symptoms
Torus fractures are low risk and may cause acute pain. As the bone buckles (or crushes), instead of breaking, they are a stable injury as there is no displacement of the bone.[5] This mechanism is analogous to the crumple zones in cars. As with other fractures, the site of fracture may be tender to touch and cause a sharp pain if pressure is exerted on the injured area.
Risk factors
Physical activities or sports such as bike riding or climbing increase the associated risk for buckle fractures in the potential event of a collision or fall. As aforementioned, the most common buckle fracture is of the distal radius in the forearm, which typically originates from a Fall Onto an Outstretched Hand (FOOSH).[6] Such orthopaedic injuries are distinctive in children as their bones are softer and in a dynamic state of bone growth and development, with a higher collagen to bone ratio so incomplete fractures such as the buckle fracture are a more common occurrence.[7]
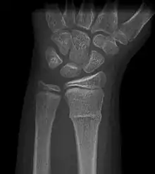
Diagnosis
Buckle fracturs can be identified by performing a radiograph. The diagnosis of a torus fracture is made from both anterior/posterior and lateral projections. The typical features include:
- The buckling of cortical bone, which may appear as a small bulge or protuberance in the radius or ulna.
- The bone may have a slight angulation.[8]
Treatment
There is no established 'standard' treatment for buckle fractures but methods vary from soft bandages to removable splints to stricter immobilization such as casting for 2-4 weeks, with regular follow-ups until fracture union,[9] though there is growing evidence that plaster casts are unnecessary.[10] The need for follow-up is similarly uncertain, with around 50% of hospitals in the UK routinely planning no follow-up after this diagnosis in the ED (Emergency Department).[11] A national guideline from the UK National Institute for Clinical Excellence (NICE) identified that all treatments appeared safe and recommended either a removable splint or a bandage, without the need for a follow-up. In fact, the NICE guideline questioned whether any treatment was necessary at all for these fractures.[12] Studies have shown that, with removable methods at home, without the necessity of a follow-up appointment, parental satisfaction of nearly 100% is achieved.[13]
Given the ongoing variation in treatment, in terms of type of immobilisation, and necessity for follow-up, the National Institute for Health Research in the UK have funded a randomised controlled trial, to definitively address this uncertainty. The trial, led by the University of Oxford, is called the FORCE study[14] and is a large pragmatic trial underway at 23 ED's, throughout the UK.[15]
References
- Naranje, SM; Erali, RA; Warner WC, Jr; Sawyer, JR; Kelly, DM (June 2016). "Epidemiology of Pediatric Fractures Presenting to Emergency Departments in the United States". Journal of Pediatric Orthopedics. 36 (4): e45-8. doi:10.1097/BPO.0000000000000595. PMID 26177059. S2CID 36351361.
- Della-Giustina, K; Della-Giustina, DA (November 1999). "Emergency department evaluation and treatment of pediatric orthopedic injuries". Emergency Medicine Clinics of North America. 17 (4): 895–922, vii. doi:10.1016/s0733-8627(05)70103-6. PMID 10584108.
- Sharp, JW; Edwards, RM (August 2019). "Core curriculum illustration: pediatric buckle fracture of the distal radius". Emergency Radiology. 26 (4): 483–484. doi:10.1007/s10140-017-1524-4. PMID 28593329. S2CID 3984890.
- Wheeless, Clifford R.; Nunley, James A.; Urbaniak, James R. Wheeless' Textbook of Orthopaedics. Data Trace Internet Publishing, LLC.
- Randsborg, PH; Sivertsen, EA (October 2009). "Distal radius fractures in children: substantial difference in stability between buckle and greenstick fractures". Acta Orthopaedica. 80 (5): 585–9. doi:10.3109/17453670903316850. PMC 2823323. PMID 19916694.
- van Bosse, HJ; Patel, RJ; Thacker, M; Sala, DA (July 2005). "Minimalistic approach to treating wrist torus fractures". Journal of Pediatric Orthopedics. 25 (4): 495–500. doi:10.1097/01.bpo.0000161098.38716.9b. PMID 15958903. S2CID 33574847.
- Firmin, F; Crouch, R (July 2009). "Splinting versus casting of "torus" fractures to the distal radius in the paediatric patient presenting at the emergency department (ED): a literature review". International Emergency Nursing. 17 (3): 173–8. doi:10.1016/j.ienj.2009.03.006. PMID 19577205.
- Patrice Eiff, M.; L. Hatch, Robert (2003). "Boning up on common pediatric fractures". Contemporary Pediatrics.
- Wilkins K, Upper Extremity. In: Rockwood C, Wilkins K, Beaty J, editors. Fractures in Children. 4th ed. New York: Raven, 1996 p. 483
- Hill, CE; Masters, JP; Perry, DC (March 2016). "A systematic review of alternative splinting versus complete plaster casts for the management of childhood buckle fractures of the wrist". Journal of Pediatric Orthopedics. Part B. 25 (2): 183–90. doi:10.1097/BPB.0000000000000240. PMID 26523533. S2CID 205494049.
- Widnall, J; Capstick, T; Wijesekera, M; Messahel, S; Perry, DC (February 2020). "Pain scores in torus fractures: Using text messages as an outcome collection tool". Bone & Joint Open. 1 (2): 3–7. doi:10.1302/2633-1462.12.BJO-2019-0002. PMC 7659672. PMID 33215100.
- Nice.org.uk. 2020. Overview | Fractures (Non-Complex): Assessment And Management | Guidance | NICE. [online] Available at: <https://www.nice.org.uk/guidance/ng38> [Accessed 21 December 2020].
- Solan, MC; Rees, R; Daly, K (July 2002). "Current management of torus fractures of the distal radius". Injury. 33 (6): 503–5. doi:10.1016/s0020-1383(01)00198-x. PMID 12098547.
- Perry, D., 2020. FORCE Study. [online] Force.octru.ox.ac.uk. Available at: <https://force.octru.ox.ac.uk> [Accessed 21 December 2020].
- Achten, J; Knight, R; Dutton, SJ; Costa, ML; Mason, J; Dritsaki, M; Appelbe, D; Messahel, S; Roland, D; Widnall, J; Perry, DC (June 2020). "A multicentre prospective randomized equivalence trial of a soft bandage and immediate discharge versus current treatment with rigid immobilization for torus fractures of the distal radius in children: protocol for the Forearm Fracture Recovery in Children Evaluation (FORCE) trial". Bone & Joint Open. 1 (6): 214–221. doi:10.1302/2633-1462.16.BJO-2020-0014.R1. PMC 7677722. PMID 33225292.