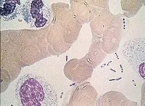
Wayson stain
The Wayson stain is a basic fuchsin-methylene blue, ethyl alcohol-phenol microscopic staining procedure. It was originally a modified methylene blue stain used for diagnosing bubonic plague.[1] With this stain, Yersinia pestis appears purple with a characteristic safety-pin appearance,[2] which is due to the presence of a central vacuole.

Blood smear taken from a patient with bubonic plague. Note the safety pin appearance of Yersinia pestis. Magnification ×1000. Wayson stain.
Wayson stain is used along with the Giemsa and Wright's stains to rapidly detect potential biowarfare attacks.[3] It has also been investigated as a possible cheaper and faster way to detect melioidosis.[4] It is a useful alternative to the Gram or Loeffler’s Methylene Blue stains, especially for detecting Yersinia enterocolitica which is often found in contaminated food.[5]
References
- Meyer KF, Batchelder AP (1926). "A disease in wild rats caused by Pasteurella muricida, n. sp". J Infect Dis. 39 (5): 386–412. doi:10.1093/infdis/39.5.386.
- Inglesby TV, Dennis DT, Henderson DA, et al. (May 2000). "Plague as a biological weapon: medical and public health management. Working Group on Civilian Biodefense". JAMA. 283 (17): 2281–90. doi:10.1001/jama.283.17.2281. PMID 10807389.
- Medscape.com Clues to the Specific Etiologic Agent Used in a Biological Attack
- Sheridan EA, Ramsay AR, Short JM, Stepniewska K, Wuthiekanun V, Simpson AJ (May 2007). "Evaluation of the Wayson Stain for the Rapid Diagnosis of Melioidosis". J. Clin. Microbiol. 45 (5): 1669–70. doi:10.1128/JCM.00396-07. PMC 1865910. PMID 17360835.
- CLP Magazine Aug 2001
This article is issued from Wikipedia. The text is licensed under Creative Commons - Attribution - Sharealike. Additional terms may apply for the media files.