Xanthoma

A xanthoma (pl. xanthomas or xanthomata) (condition: xanthomatosis), from Greek ξανθός (xanthós) 'yellow', is a deposition of yellowish cholesterol-rich material that can appear anywhere in the body in various disease states.[2] They are cutaneous manifestations of lipidosis in which lipids accumulate in large foam cells within the skin.[2] They are associated with hyperlipidemias, both primary and secondary types.

Xanthoma
A patient's knee showing multiple xanthoma tuberosum[1]
SpecialtyGastroenterology, dermatology 

Tendon xanthomas are associated with type II hyperlipidemia, chronic biliary tract obstruction, primary biliary cirrhosis and the rare metabolic disease cerebrotendineous xanthomatosis. Palmar xanthomata and tuberoeruptive xanthomata (over knees and elbows) occur in type III hyperlipidemia.

Types

Xanthelasma

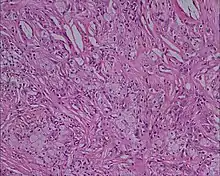
Histology picture of xanthoma showing lipid-laden foam cells with large areas of cholesterol clefts, 10 × magnification, eosin and hematoxylin stain[1]

A xanthelasma is a sharply demarcated yellowish collection of cholesterol underneath the skin, usually on or around the eyelids. Strictly, a xanthelasma is a distinct condition, being called a xanthoma only when becoming larger and nodular, assuming tumorous proportions.[3] Still, it is often classified simply as a subtype of xanthoma.[4]

Xanthoma tuberosum

Xanthoma tuberosum (also known as tuberous xanthoma) is characterized by xanthomas located over the joints.[2]:530

Xanthoma tendinosum

Xanthoma tendinosum (also tendon xanthoma or tendinous xanthoma[5]) is clinically characterized by papules and nodules found in the tendons of the hands, feet, and heel.[2]:531 Also associated with familial hypercholesterolemia (FH).[6]

Eruptive xanthoma

Eruptive xanthoma (ILDS E78.220) is clinically characterized by small, yellowish-orange to reddish-brown papules surrounded by an erythematous halo that appear suddenly all over the body, especially the hands, buttocks, and the extensor surfaces of the extremities.[2]:531 It tends to be associated with elevated triglycerides [7]

Xanthoma planum

Xanthoma planum (ILDS D76.370), also known as plane xanthoma, is clinically characterized by bands or rectangular plates (macules) and plaques in the dermis spread diffusely over large areas of the body.[2]:531

Palmar xanthoma

Palmar xanthoma is clinically characterized by yellowish plaques that involve the palms and flexural surfaces of the fingers.[2]:531 Plane xanthomas are characterised by yellowish to orange, flat macules or slightly elevated plaques, often with a central white area which may be localised or generalised. They often arise in the skin folds, especially the palmar creases. They occur in hyperlipoproteinaemia type III and type IIA, and in association with biliary cirrhosis. The presence of palmar xanthomata, like the presence of tendinous xanthomata, is indicative of hypercholesterolaemia.

Tuberoeruptive xanthoma

Tuberoeruptive xanthoma (ILDS E78.210) is clinically characterized by red papules and nodules that appear inflamed and tend to coalesce.[2]:532 Tuberous xanthomata are considered similar, and within the same disease spectrum as eruptive xanthomata.[5]

Other types

Other types of xanthoma identified in the Medical Dictionary include:[8]

See also

References

  1. Kumar et al. Cases Journal 2008
  2. James, William D.; Berger, Timothy G.; et al. (2006). Andrews' Diseases of the Skin: clinical Dermatology. Saunders Elsevier. ISBN 978-0-7216-2921-6.
  3. Shields, Carol; Shields, Jerry (2008). Eyelid, conjunctival, and orbital tumors: atlas and textbook. Hagerstwon, MD: Lippincott Williams & Wilkins. ISBN 978-0-7817-7578-6.
  4. thefreedictionary.com > xanthelasma Citing: The American Heritage Medical Dictionary Copyright 2007, 2004 and Mosby's Medical Dictionary, 8th edition. 2009
  5. Rapini, Ronald P.; Bolognia, Jean L.; Jorizzo, Joseph L. (2007). Dermatology: 2-Volume Set. St. Louis: Mosby. pp. 1415–16. ISBN 978-1-4160-2999-1.
  6. van den Bosch, Harrie C.M.; Vos, Louwerens D. (1998). "Achilles'-Tendon Xanthoma in Familial Hypercholesterolemia". New England Journal of Medicine. 338 (22): 1591. doi:10.1056/NEJM199805283382205. ISSN 0028-4793. PMID 9603797.
  7. Digby M; Belli R; McGraw T; Lee A (2011). "Eruptive xanthomas as a cutaneous manifestation of hypertriglyceridemia: a case report". J Clin Aesthet Dermatol. 4 (1): 44–6. PMC 3030216. PMID 21278899.
  8. "Xanthoma". Medical Dictionary - Dictionary of Medicine and Human Biology. Retrieved 2015-02-05.
Classification
External resources
This article is issued from Wikipedia. The text is licensed under Creative Commons - Attribution - Sharealike. Additional terms may apply for the media files.