Angiosarcoma
Angiosarcoma is a cancer of the endothelial cells that line the walls of blood vessels or lymphatic vessels. It primarily affects older adults. Most tumors of visceral blood and lymphatic vessel walls are cancerous (malignant). Because these cancers are carried by the blood flow or lymphatic flow, they can more easily metastasize to distant sites, particularly the liver and lungs. It may occur at any site but most commonly involves skin, soft tissue, breast, and liver.
| Angiosarcoma | |
|---|---|
![]() | |
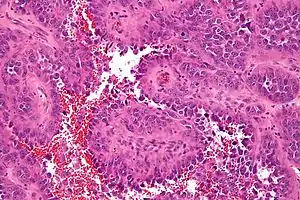
| Micrograph of an angiosarcoma. H&E stain. | |
| Specialty | Oncology |
Angiosarcomas show signs of hemorrhage and necrosis. Pathologically, tumor cells show increased nuclear to cytoplasm ratio, nuclear hyperchromasia, nuclear pleomorphism and high mitotic activity.[1]
In humans, angiosarcomas and lymphangiosarcomas of the skin are uncommon. However, recent study has identified ultraviolet light from the sun as being linked to the onset of cutaneous angiosarcoma.[2] Angiosarcoma of the liver, a rare fatal tumor, has been seen in workers intensively exposed to the gas vinyl chloride monomer (VCM) for prolonged periods while working in polyvinyl chloride (PVC) polymerization plants. It has also been associated with individuals exposed to arsenic-containing insecticides and Thorotrast. In dogs, hemangiosarcoma is relatively common, with the golden retriever and Labrador retriever at higher risk of the disease than other breeds.[3]
See also
- Glomangiosarcoma
- Kaposi's sarcoma, a different type of cancer that also involves endothelial-type cells
- List of cutaneous conditions
- Stewart–Treves syndrome
References
- Kumar, Vinay; Abbas, Abul K.; Aster, Jon C., eds. (2013). Robbins Basic Pathology (9th ed.). Philadelphia: Elsevier/Saunders. ISBN 9781437717815.
- Painter, Corrie A.; Jain, Esha; Tomson, Brett N.; Dunphy, Michael; Stoddard, Rachel E.; Thomas, Beena S.; Damon, Alyssa L.; Shah, Shahrayz; Kim, Dewey; Gómez Tejeda Zañudo, Jorge; Hornick, Jason L.; Chen, Yen-Lin; Merriam, Priscilla; Raut, Chandrajit P.; Demetri, George D.; Van Tine, Brian A.; Lander, Eric S.; Golub, Todd R.; Wagle, Nikhil (February 2020). "The Angiosarcoma Project: enabling genomic and clinical discoveries in a rare cancer through patient-partnered research". Nature Medicine. 26 (2): 181–187. doi:10.1038/s41591-019-0749-z. PMID 32042194. S2CID 211074464.
- Gustafson, Daniel L.; Duval, Dawn L.; Regan, Daniel P.; Thamm, Douglas H. (August 2018). "Canine sarcomas as a surrogate for the human disease". Pharmacology & Therapeutics. 188: 80–96. doi:10.1016/j.pharmthera.2018.01.012. PMC 6432917. PMID 29378221.
| Classification | |
|---|---|
| External resources |
