Deep sulcus sign
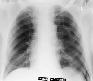
In radiology, the deep sulcus sign on a supine chest radiograph is an indirect indicator of a pneumothorax.[1][2] In a supine film, it appears as a deep, lucent, ipsilateral costophrenic angle[3] within the nondependent portions of the pleural space as opposed to the apex (of the lung) when the patient is upright. The costophrenic angle is abnormally deepened when the pleural air collects laterally, producing the deep sulcus sign.[4]
| Deep sulcus sign | |
|---|---|
![]() | |
| Pneumothorax left sided | |
| Differential diagnosis | pneumothorax |
Patients with chronic obstructive pulmonary disease (COPD) may exhibit deepened lateral costophrenic angles due to hyperaeration of the lungs and cause a false deep sulcus sign.
References
- Gordon R (July 1980). "The deep sulcus sign". Radiology. 136 (1): 25–7. doi:10.1148/radiology.136.1.7384513. PMID 7384513.
- Kong A (August 2003). "The deep sulcus sign". Radiology. 228 (2): 415–6. doi:10.1148/radiol.2282020524. PMID 12893899.
- Sabbar, Saweera; Nilles, Eric James (2012). "Deep Sulcus Sign". New England Journal of Medicine. 366 (6): 552. doi:10.1056/NEJMicm1105315. PMID 22316448.
- "Deep sulcus sign". Radiopaedia. 2011.
External links
This article is issued from Wikipedia. The text is licensed under Creative Commons - Attribution - Sharealike. Additional terms may apply for the media files.
