Fallopian tube obstruction
Fallopian tube obstruction is a major cause of female infertility. Blocked fallopian tubes are unable to let the ovum and the sperm converge, thus making fertilization impossible. Fallopian tubes are also known as oviducts, uterine tubes, and salpinges (singular salpinx).
| Fallopian tube obstruction | |
|---|---|
![]() | |
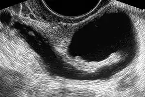
| The presence of a hydrosalpinx by sonography indicates distal tubal obstruction | |
| Specialty | Gynecology |
Types
Approximately 20% of female infertility can be attributed to tubal causes.[1] Distal tubal occlusion (affecting the end towards the ovary) is typically associated with hydrosalpinx formation and often caused by Chlamydia trachomatis.[1] Pelvic adhesions may be associated with such an infection. In less severe forms, the fimbriae may be agglutinated and damaged, but some patency may still be preserved. Midsegment tubal obstruction can be due to tubal ligation procedures as that part of the tube is a common target of sterilization interventions. Proximal tubal occlusion can occur after infection such as a septic abortion. Also, some tubal sterilization procedures such as the Essure procedure target the part of the tube that is near the uterus.
Causes
Most commonly a tube may be obstructed due to infection such as pelvic inflammatory disease (PID). The rate of tubal infertility has been reported to be 12% after one, 23% after two, and 53% after three episodes of PID.[1] The Fallopian tubes may also be occluded or disabled by endometritis, infections after childbirth and intra-abdominal infections including appendicitis and peritonitis. The formation of adhesions may not necessarily block a fallopian tube, but render it dysfunctional by distorting or separating it from the ovary. It has been reported that women with distal tubal occlusion have a higher rate of HIV infection.[2]
Fallopian tubes may be blocked as a method of contraception. In these situations tubes tend to be healthy and typically patients requesting the procedure had children. Tubal ligation is considered a permanent procedure.
Diagnosis
While a full testing of tubal functions in patients with infertility is not possible, testing of tubal patency is feasible. A hysterosalpingogram will demonstrate that tubes are open when the radioopaque dye spills into the abdominal cavity. Sonography can demonstrate tubal abnormalities such as a hydrosalpinx indicative of tubal occlusion. During surgery, typically laparoscopy, the status of the tubes can be inspected and a dye such as methylene blue can be injected in a process termed chromotubation into the uterus and shown to pass through the tubes when the cervix is occluded. Laparoscopic chromotubation has been described as the gold standard of tubal evaluation.[3] As tubal disease is often related to Chlamydia infection, testing for Chlamydia antibodies has become a cost-effective screening device for tubal pathology.[3]
Tubal insufflation is only of historical interest as an older office method to indicate patency;[4] it was used prior to laparoscopic evaluation of pelvic organs.
Treatment
Treatment of fallopian tube obstruction has traditionally been treated with fallopian tubal surgery (tuboplasty) with a goal of restoring patency to the tubes and thus possibly normal function. A common modern day method of treatment is in vitro fertilization as it is more cost-effective, less invasive, and results are immediate. Alternative methods such as manual physical therapy are also cited for the ability to open and return function to blocked fallopian tubes in some women. Treatments such as assisted reproductive technologies are used more often than surgery.[5]
Tuboplasty
Tuboplasty refers to a number of surgical operations that attempt to restore patency and functioning of the Fallopian tube(s) so that a pregnancy could be achieved. As tubal infertility is a common cause of infertility, tuboplasties were commonly performed prior to the development of effective in vitro fertilization (IVF).
Different types of tuboplasty have been developed and can be applied by laparoscopy or laparotomy.[6] They include lysis of adhesions,[7] fimbrioplasty (repairing the fimbriated end of the tubes),[8] salpinostomy (creating an opening for the tube), resection and reananstomosis (removing a piece of blocked tube and reuniting the remaining patent parts of the tube), and tubal reimplantation (reconnecting the tube to the uterus). Further, using fluoroscopy or hysteroscopy proximal tubal occlusion can be overcome by unilateral or bilateral selective tubal cannulation, a procedure where a thin catheter is advanced through the proximal portion of the fallopian tube os to examine and possibly restore tubal patency[8] salpinostomy (creating an opening for the tube)[9] or falloposcopy.
Results of tubal surgery are inversely related to damage that exists prior to surgery.[10] Development of adhesions remains a problem.[1] Patients with operated tubes are at increased risk for ectopic pregnancy.,[10] although in vitro fertilization in patients with damaged tubes is also associated with a risk for ectopic pregnancy.
In vitro fertilization
In vitro fertilisation is a process by which an egg is fertilised by sperm outside the body: in vitro. IVF is a major treatment for infertility when other methods of assisted reproductive technology have failed. The process involves monitoring a woman's ovulatory process, removing ovum or ova (egg or eggs) from the woman's ovaries and letting sperm fertilise them in a fluid medium in a laboratory. When a woman's natural cycle is monitored to collect a naturally selected ovum (egg) for fertilisation, it is known as natural cycle IVF. The fertilised egg (zygote) is then transferred to the patient's uterus with the intention of establishing a successful pregnancy.
While IVF therapy has largely replaced tubal surgery in the treatment of infertility, the presence of hydrosalpinx is a detriment to IVF success.[5] It has been recommended that prior to IVF, laparoscopic surgery should be done to either block or remove hydrosalpinges.[11]
References
- Yen SS, Jaffe RB, Barbieri RL (1999). Reproductive Endocrinology (4th ed.). W. B. Saunders. ISBN 0-7216-6897-6.
- Adesiyun AG, Ameh CA, Eka A (2008). "Hysterosalpingographic tubal abnormalities and HIV infection among black women with tubal infertility in sub-Saharan Africa". Gynecol Obstet Invest. 66 (2): 119–22. doi:10.1159/000128600. PMID 18446041. S2CID 38319728.
- Kodaman PH, Arici A, Seli E (2004). "Evidence-based diagnosis and management of tubal factor infertility". Curr Opin Obstet Gynecol. 16 (3): 221–9. doi:10.1097/00001703-200406000-00004. PMID 15129051. S2CID 43312882.
- Speert H (February 2007). "Memorable Medical Mentors: XVII: Isidor C. Rubin (1883–1958)". Obstetrical & Gynecological Survey. 62 (2): 77–81. doi:10.1097/01.ogx.0000248809.19623.96. PMID 17229327.
- Sotrel, Ginter (2009). "Is Surgical Repair of the Fallopian Tubes Ever Appropriate?". Rev Obstet Gynecol. 2 (3): 176–85. PMC 2760895. PMID 19826575.
- "Fallopian Tube Procedures for Infertility". Web MD. Retrieved 20 August 2013.
- Szomstein, Samuel; Lo Menzo, Emanuele Lo; Simpfendorfer, Conrad; Zundel, Nathan; Rosenthal, Raul J. (2006). "Laparoscopic Lysis of Adhesions". World Journal of Surgery. 30 (4): 535–40. doi:10.1007/s00268-005-7778-0. PMID 16555020. S2CID 33208955.
- Lang, E K; Dunaway Jr, H E; Roniger, W E (1990). "Selective osteal salpingography and transvaginal catheter dilatation in the diagnosis and treatment of fallopian tube obstruction". American Journal of Roentgenology. 154 (4): 735–40. doi:10.2214/ajr.154.4.2107667. PMID 2107667.
- Sulak PJ, Letterie GS, Hayslip CC, Coddington CC, Klein TA (1987). "Hysteroscopic cannulation and lavage in the treatment of proximal tubal occlusion". Steril Fertil. 48 (3): 493–4. doi:10.1016/S0015-0282(16)59425-4. PMID 2957240.
- Mossa B, Patella A, Ebano V, Pacifici E, Mossa S, Marziani R (2005). "Microsurgery versus laparoscopy in distal tubal obstruction hysterosalpingographically or laparoscopically investigated". Clin Exp Obstet Gynecol. 32 (3): 169–71. PMID 16433156.
- Melo, Pedro; Georgiou, Ektoras X.; Johnson, Neil; van Voorst, Sabine F.; Strandell, Annika; Mol, Ben Willem J.; Becker, Christian; Granne, Ingrid E. (October 22, 2020). "Surgical treatment for tubal disease in women due to undergo in vitro fertilisation". The Cochrane Database of Systematic Reviews. 10: CD002125. doi:10.1002/14651858.CD002125.pub4. ISSN 1469-493X. PMID 33091963.
.jpg.webp)