Gliomatosis cerebri
Gliomatosis cerebri is a rare primary brain tumor. It is commonly characterized by diffuse infiltration of the brain with neoplastic glial cells that affect various areas of the cerebral lobes.[1] These malignancies consist of infiltrative threads that spread quickly and deeply into the surrounding brain tissue, or into multiple parts of the brain simultaneously, making them very difficult to remove with surgery or treat with radiation. Gliomatosis cerebri behaves like a malignant tumor that is very similar to Glioblastoma.
| Gliomatosis cerebri | |
|---|---|
| Other names | Infiltrative diffuse astrocytosis |
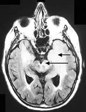
![]() | |
| Axial fluid-attenuated inversion recovery MRI image demonstrating tumor-related infiltration involving both temporal lobes (Short arrow), and the substantia nigra (Long arrow). | |
| Specialty | Neuro-oncology, Neurosurgery |
While gliomatosis cerebri can occur at any age, it is generally found in the third and fourth decades of life.
Signs and symptoms
It may affect any part of the brain or even the spinal cord, optic nerve and compact white matter. Clinical manifestations are indefinite, and include headache, seizures, visual disturbances, corticospinal tract deficits, lethargy, and dementia. A case of gliomatosis cerebri presenting as rapidly progressive dementia and Parkinson's disease like symptoms has been described in an 82-year-old woman.[2]
Diagnosis
Before the advent of MRI, diagnosis was generally not established until autopsy. Even with MRI, however, diagnosis is difficult.[3] Typically, gliomatosis cerebri appears as a diffuse, poorly circumscribed, infiltrating non-enhancing lesion that is hyperintense on T2-weighted images and expands the cerebral white matter. It is difficult to distinguish from highly infiltrative anaplastic astrocytoma or GBM.
Registry
In 2014, Weill Cornell Brain and Spine Center launched an international registry for gliomatosis cerebri, where tissue samples can be stored for genomic study.[4]
Notes
- "Gliomatosis Cerebri, MedPix : 923 - Medical Image Database and Atlas". Archived from the original on 2004-12-16. Retrieved 2007-01-23.
- "Journal of Medical Case Reports".
- Bendszus M, Warmuth-Metz M, Klein R, et al. (2000). "MR spectroscopy in gliomatosis cerebri". AJNR Am J Neuroradiol. 21 (2): 375–80. PMID 10696026.
- GC International Registry
External links
| Classification | |
|---|---|
| External resources |
|
