Glomerulosclerosis
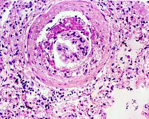
Glomerulosclerosis is hardening of the glomeruli in the kidney. It is a general term to describe scarring of the kidneys' tiny blood vessels, the glomeruli, the functional units in the kidney that filter urea from the blood.
| Glomerulosclerosis | |
|---|---|
| Other names | Glomerular sclerosis |
![]() | |
| Specialty | Nephrology |
Proteinuria (large amounts of protein in urine) is one of the signs of glomerulosclerosis. Scarring disturbs the filtering process of the kidneys and allows protein to leak from the blood into urine. However, glomerulosclerosis is one of many causes of proteinuria. A kidney biopsy (removal of tiny part of kidney with a needle) may be necessary to determine whether a patient has glomerulosclerosis or another kidney problem. About 15 percent of people with proteinuria turn out to have glomerulosclerosis.
Both children and adults can develop glomerulosclerosis and it can result from different types of kidney conditions. One frequently encountered type of glomerulosclerosis is caused by diabetes. Drug use or infections may cause focal segmental glomerulosclerosis (FSGS), a very chronic kidney condition. FSGS may also occur in patients with AIDS but most are of unknown cause.
Types
More specifically, glomerulosclerosis can refer to:
Diagnosis
Early stages of glomerulosclerosis may not produce any symptoms but the most important warning sign is proteinuria, usually discovered in routine medical exams. Losing large amounts of protein may cause swelling in the ankles and accumulation of fluid in the abdomen.
Scarred glomeruli cannot be repaired and many patients with glomerulosclerosis get worse over time until their kidneys fail. This condition is called end-stage renal disease (ESRD) and the patients must begin dialysis treatment or receive a kidney transplant. ESRD may be reached within a year or up to ten or more of diagnosis of glomerulosclerosis but time will vary.
Treatment
Treatments for glomerulosclerosis depend on what caused the scarring of the glomeruli. This is determined by renal biopsy. Immunosuppressive drugs stop proteinuria in some patients, but once the treatments have ended proteinuria will continue. The drugs may sometimes damage the patient's kidneys even more.
Controlling the patient's blood pressure may control the progression of kidney failure. ACE inhibitors, a type of blood pressure medicine, preserve kidney function in patients with diabetes. ACE inhibitors may also slow down kidney failure for patients without diabetes. Low protein diets may also lighten the work done by kidneys to process waste. Some patients will need to control their cholesterol through diet or both diet and medicine.
See also
- BK virus
- Epstein–Barr virus infection
