Hallux varus
Hallux varus is a deformity of the great toe joint where the hallux (great toe) is deviated medially (towards the midline of the body) away from the first metatarsal bone. The hallux usually moves in the transverse plane. Unlike hallux valgus, also known as hallux abducto valgus or bunion, hallux varus is uncommon in the West but it is common in cultures where the population remains unshod.
| Hallux varus | |
|---|---|
| Other names | Sandal gap[1] |
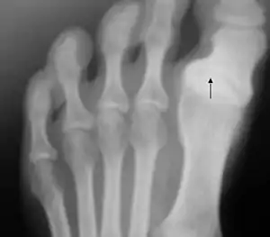
![]() | |
| Radiography of the left foot of a young male showing progressive hallux varus | |
| Specialty | Orthopedic |
Photos
References
- Weerakkody, Yuranga. "Sandal gap deformity - Radiology Reference Article - Radiopaedia.org". radiopaedia.org.
This article is issued from Wikipedia. The text is licensed under Creative Commons - Attribution - Sharealike. Additional terms may apply for the media files.

