Infarction

Infarction is tissue death (necrosis) due to inadequate blood supply to the affected area. It may be caused by artery blockages, rupture, mechanical compression, or vasoconstriction.[1] The resulting lesion is referred to as an infarct[2][3] (from the Latin infarctus, "stuffed into").[4]

Infarction
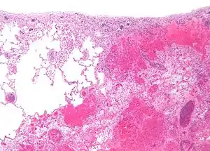
Micrograph of a pulmonary infarct (right of image) beside relatively normal lung (left of image). H&E stain.
SpecialtyPathology

Causes

Infarction occurs as a result of prolonged ischemia, which is the insufficient supply of oxygen and nutrition to an area of tissue due to a disruption in blood supply. The blood vessel supplying the affected area of tissue may be blocked due to an obstruction in the vessel (e.g., an arterial embolus, thrombus, or atherosclerotic plaque), compressed by something outside of the vessel causing it to narrow (e.g., tumor, volvulus, or hernia), ruptured by trauma causing a loss of blood pressure downstream of the rupture, or vasoconstricted, which is the narrowing of the blood vessel by contraction of the muscle wall rather than an external force (e.g., cocaine vasoconstriction leading to myocardial infarction).

Infarction could be caused by damaged cholesterol plaque

Hypertension and atherosclerosis are risk factors for both atherosclerotic plaques and thromboembolism. In atherosclerotic formations, a plaque develops under a fibrous cap. When the fibrous cap is degraded by metalloproteinases released from macrophages or by intravascular shear force from blood flow, subendothelial thrombogenic material (extracellular matrix) is exposed to circulating platelets and thrombus formation occurs on the vessel wall occluding blood flow. Occasionally, the plaque may rupture and form an embolus which travels with the blood-flow downstream to where the vessel narrows and eventually clogs the vessel lumen

Classification

Infarction of the lung due to a pulmonary embolism

By histopathology

A blood clot could be a broken thrombosis that got clotted to the blood vessel wall.

Infarctions are divided into two types according to the amount of blood present:

  1. White infarctions (anemic infarcts) affect solid organs such as the spleen, heart and kidneys wherein the solidity of the tissue substantially limits the amount of nutrients (blood/oxygen/glucose/fuel) that can flow into the area of ischaemic necrosis. Similar occlusion to blood flow and consequent necrosis can occur as a result of severe vasoconstriction as illustrated in severe Raynaud's phenomenon that can lead to irreversible gangrene.
  2. Red infarctions (hemorrhagic infarcts) generally affect the lungs or other loose organs (testis, ovary, small intestines). The occlusion consists more of red blood cells and fibrin strands. Characteristics of red infarcts include:
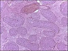
Micrograph of testis showing hemorrhagic infarction.H&E stain.

By localization

Ultrasound of segmental testicular infarction. Infarct area shown as hypoechoic and avascular upper segment of R testis.

Associated diseases

Diseases commonly associated with infarctions include:

References

  1. "Definition of Infarction". MedicineNet. WebMD. April 27, 2011. Retrieved August 19, 2011.
  2. "infarct". TheFreeDictionary.com. Citing:
    • The American Heritage Dictionary of the English Language, Fourth Edition. Updated in 2009.
    • The American Heritage Science Dictionary 2005 by Houghton Mifflin Company.
  3. infract. CollinsDictionary.com. Collins English Dictionary – Complete & Unabridged 11th Edition. Retrieved November 22, 2012.
  4. http://www.etymonline.com/index.php?term=infarct&allowed_in_frame=0
  5. Sekido, Nobuaki; Mukaida, Naofumi; Harada, Akihisa; Nakanishi, Isao; Watanabe, Yoh; Matsushima, Kouji (1993). "Prevention of lung reperfusion injury in rabbits by a monoclonal antibody against interleukin-8". Nature. 365 (6447): 654–7. doi:10.1038/365654a0. PMID 8413628.
  6. Sands, Howard; Tuma, Ronald F (1999). "LEX 032: a novel recombinant human protein for the treatment of ischaemic reperfusion injury". Expert Opinion on Investigational Drugs. 8 (11): 1907–1916. doi:10.1517/13543784.8.11.1907. PMID 11139833.
  7. Ropper, Allan H.; Adams, Raymond Delacy; Brown, Robert F.; Victor, Maurice (2005). Adams and Victor's principles of neurology. New York: McGraw-Hill Medical Pub. Division. pp. 686–704. ISBN 0-07-141620-X.
  8. Nores, M; Phillips, EH; Morgenstern, L; Hiatt, JR (1998). "The clinical spectrum of splenic infarction". The American surgeon. 64 (2): 182–8. PMID 9486895.
  9. Grigoriadis, E; Fam, AG; Starok, M; Ang, LC (2000). "Skeletal muscle infarction in diabetes mellitus". The Journal of Rheumatology. 27 (4): 1063–8. PMID 10782838.
  10. Digiovanni, CW; Patel, A; Calfee, R; Nickisch, F (2007). "Osteonecrosis in the foot" (PDF). The Journal of the American Academy of Orthopaedic Surgeons. 15 (4): 208–17. doi:10.5435/00124635-200704000-00004. PMID 17426292.
Classification

Media related to Infarction at Wikimedia Commons The dictionary definition of infarction at Wiktionary

This article is issued from Wikipedia. The text is licensed under Creative Commons - Attribution - Sharealike. Additional terms may apply for the media files.