Linear verrucous epidermal nevus

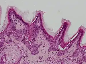
Linear verrucous epidermal nevus is a skin lesion characterized by a verrucous skin-colored, dirty-gray or brown papule.[2]:771[3]:633 Generally, multiple papules present simultaneously, and coalesce to form a serpiginous plaque.[3]:633 When this nevus covers a diffuse or extensive portion of the body's surface area, it may be referred to as a systematized epidermal nevus, when it involved only one-half of the body it is called a nevus unius lateris.[2]:771

Linear verrucous epidermal nevus
Other namesLinear epidermal nevus, and Verrucous epidermal nevus[1]
SpecialtyMedical genetics 

See also

References

  1. Rapini, Ronald P.; Bolognia, Jean L.; Jorizzo, Joseph L. (2007). Dermatology: 2-Volume Set. St. Louis: Mosby. p. 851. ISBN 1-4160-2999-0.
  2. Freedberg, et al. (2003). Fitzpatrick's Dermatology in General Medicine. (6th ed.). McGraw-Hill. ISBN 0-07-138076-0.
  3. James, William; Berger, Timothy; Elston, Dirk (2005). Andrews' Diseases of the Skin: Clinical Dermatology. (10th ed.). Saunders. ISBN 0-7216-2921-0.
Classification
External resources


This article is issued from Wikipedia. The text is licensed under Creative Commons - Attribution - Sharealike. Additional terms may apply for the media files.