Liposarcoma
Liposarcoma is a cancer that arises in fat cells in soft tissue, such as that inside the thigh or in the retroperitoneum.[1] It is a rare type of cancer that bears a resemblance to fat cells when examined under a microscope.[2] It is typically a large, bulky tumor, and tends to have multiple smaller satellites that extend beyond the main confines of the tumor. Liposarcomas, like all sarcomas, are rare.[3]
| Liposarcoma | |
|---|---|
![]() | |
| Micrograph of myxoid liposarcoma, H&E stain | |
| Specialty | Dermatology, general surgery oncology |
| Symptoms | A growing lump of tissue under your skin
Pain Swelling Weakness of the affected limb |
| Causes | It's not clear what causes liposarcoma.
Doctors know that liposarcoma forms when a fat cell develops errors (mutations) in its genetic code. The mutations tell the cell to multiply rapidly and to go on living when other cells would die. The accumulating abnormal cells form a mass (tumor). Several types of liposarcoma exist. Some grow slowly and the cells stay in one area of the body. Other types grow very quickly and may spread to other areas of the body. |
Signs and symptoms

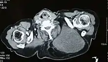
Patients usually note a deep-seated mass in their soft tissue. Only when the tumor is very large do symptoms of pain or functional disturbances occur. Retroperitoneal tumors may present themselves with signs of weight loss and emaciation and abdominal pain. These tumors may also compress the kidney or ureter, leading to kidney failure.
Diagnosis

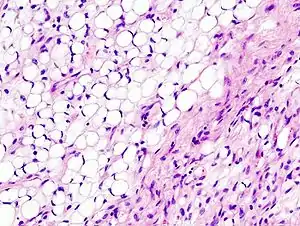
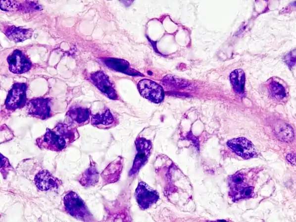
The diagnosis is established by histologic examination of the tissue, i.e., biopsy or excision. Lipoblasts are often present; these are cells with an abundant clear multivacuolated cytoplasm and an eccentric darkly staining nucleus that is indented by the vacuoles.
Medical imaging
Ultrasonography may not be able to distinguish a liposarcoma from a benign lipoma, and therefore, MRI is the initial imaging of choice.[4]
Medical ultrasonography of a liposarcoma: In this case a heterogeneous mass consisting of an upper hyperechoic portion, corresponding to lipomatous matrix, and areas of hypoechogenicity corresponding to nonlipomatous components.[5]
Ultrasonography of a liposarcoma mimicking a lipoma. A homogeneous hypoechoic mass presenting with the same appearance of lipoma. It was clinically distinguished as having rapid growth.[5]
MRI of myxoid liposarcoma of high grade, in left axillary region of 40 year old man. Highlighted by the white color. Horizontal section.
Subtypes
Several subtypes of liposarcoma exist:
- Well-differentiated liposarcoma, synonymous with atypical lipomatous tumor—the former term is used almost exclusively for lesions in the retroperitoneum, while the latter is used for lesions arising elsewhere
- Dedifferentiated liposarcoma—well-differentiated (high-grade) liposarcoma adjacent to a more poorly differentiated tumor
- Myxoid/round cell liposarcoma
- Pleomorphic liposarcoma
Micrograph of a myxoid liposarcoma, H&E stain
Micrograph of a dedifferentiated liposarcoma, H&E stain
Treatment
Treatment of liposarcoma most often consists of surgical removal of the tumor and margin, occasionally radiation, and possibly chemotherapy, as well.[6]
Prognosis
The prognosis varies depending on the site of origin, the type of cancer cell, tumor size, depth, and proximity to lymph nodes.
Five-year survival rates vary from 56 to 100% based on histological subtype.[7]
Epidemiology
Most frequent in middle-aged and older adults (age 40 and above), liposarcomas are the second-most common of all soft-tissue sarcomas, following malignant fibrous histiocytomas. Annually, 2.5 cases occur per million population.
Society and culture
Notable cases
- Chad Brown (1961–2014), a poker player, died from liposarcoma
- Richard Feynman (1918–1988), a theoretical physicist, died following surgery to address the disease.
- Rob Ford (1969–2016), former Toronto mayor and Toronto city councillor, died of pleomorphic liposarcoma.
- Hokie Gajan (1959–2016), former running back for the New Orleans Saints and radio color commentator for the team, died from liposarcoma
- Charlie Davies (1986-), former soccer player for the Philadelphia Union of Major League Soccer
- Mark Strand (1934-2014), former US Poet Laureate and Pulitzer Prize-winner, died from liposarcoma
See also
- Lipoma
- The Wendy Walk, not-for-profit organization whose mission is to raise funds and awareness for liposarcoma
References
- Dei Tos AP (August 2000). "Liposarcoma: new entities and evolving concepts". Ann Diagn Pathol. 4 (4): 252–66. doi:10.1053/adpa.2000.8133. PMID 10982304.
- Bell, Teresa (October 2012). "What is Liposarcoma?". The Liddy Shriver Sarcoma Initiative. Retrieved 2015-04-22.
- Goldstein-Rice, E (2008). "The Importance of Treatment at a Specialty Center for Sarcomas". ESUN.
- Rohit Sharma; Frank Gaillard; et al. "Lipoma". Radiopaedia. Retrieved 2018-09-27.
- Content originally copied from: Mak, Chee-Wai; Tzeng, Wen-Sheng (2012). Sonography. doi:10.5772/27586. ISBN 978-953-307-947-9. from Kerry Thoirs (2012-02-03). "Sonography". doi:10.5772/27586. Cite journal requires
|journal=(help) ISBN 978-953-307-947-9, Published: February 3, 2012, under the CC-BY-3.0 license. - "Liposarcoma". Sarcoma UK. 2015-08-13. Retrieved September 20, 2018.
- Gebhardt, M; Buecker, PJ (2004). "Liposarcoma". ESUN.
External links
| Classification |
|
|---|---|
| External resources |
.JPG.webp)