Lupus miliaris disseminatus faciei
Lupus miliaris disseminatus faciei , also known as acne agminata, is a disease with a similar appearance to acne vulgaris.[1][2] The cause of LMDF is unknown.
| Lupus miliaris disseminatus faciei | |
|---|---|
| Other names | LMDF |
![]() | |
| Specialty | Dermatology |
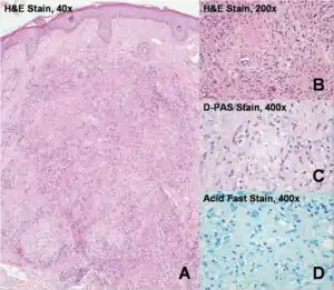
LMDF usually occurs on the face, but extrafacial presentations have been reported. Mycobacterium tuberculosis or its products may cause a caseous necrosis and thus maybe one of several possible causes. Some authors view LMDF as a variant of granulomatous rosacea or a presentation related to Demodex folliculitis. Others suggest it as a new independent entity and proposed a new term: Facial Idiopathic GranUlomas with Regressive Evolution. Misago et al. postulated LMDF as a common adult form, childhood granulomatous periorificial dermatitis as a rare childhood form, and perioral dermatitis as a peculiar form exacerbated by topical corticosteroids. There are no randomized controlled trials available for the treatment of LMDF.
The usual first-line therapy is oral tetracyclines with variable success rates. Dapsone, low-dose prednisolone, clofazimine, and isotretinoin have all been tried in some cases. The 1450-nm diode laser has been shown to improve LMDF.[3]
See also
References
- Freedberg, et al. (2003). Fitzpatrick's Dermatology in General Medicine. (6th ed.). Page 676. McGraw-Hill. ISBN 0-07-138076-0.
- Rapini, Ronald P.; Bolognia, Jean L.; Jorizzo, Joseph L. (2007). Dermatology: 2-Volume Set. St. Louis: Mosby. ISBN 978-1-4160-2999-1.
- Wang SH, Tsai TF (2007). "Several Erythematous Papules with a 1.5-cm Sized Nodule Scattering on the Face of an Old Woman". Dermatol Sinica. 25 (2): 175-6.
-Dermatol_Sinica_2007%253B25(2)175-176-2.png.webp)