Mantle zone
The mantle zone (or just mantle) of a lymphatic nodule (or lymphatic follicle) is an outer ring of small lymphocytes surrounding a germinal center.[1]
| Mantle zone | |
|---|---|
![]() Image labeled in German, but "Mantel-zone" visible near center. | |
| Anatomical terminology |
It is also known as the "corona".[2]
It contains transient lymphocytes.[3]
It is the location of the lymphoma in mantle cell lymphoma.
Pathology

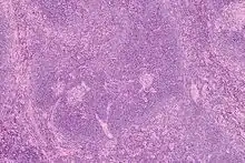
Intermediate magnification micrograph of Castleman disease showing the characteristic expansion of the mantle zone. H&E stain.
Mantle zone expansion may be seen in benign, such as Castleman disease, and malignancy, i.e., Mantle cell lymphoma. Tcl-1 is expressed in the mantle zone.
References
- "Archived copy". Archived from the original on 2008-06-03. Retrieved 2008-07-29.CS1 maint: archived copy as title (link)
- "Archived copy". Archived from the original on 2008-03-17. Retrieved 2008-07-29.CS1 maint: archived copy as title (link)
- http://www.dartmouth.edu/~nlevy/levylecture.html
External links
- https://web.archive.org/web/20080813003821/http://erl.pathology.iupui.edu/HISTO/LABE109.HTM
- Histology image: 07102loa – Histology Learning System at Boston University — "Lymphoid Tissues and Organs: lymph node, cortex and medulla"
This article is issued from Wikipedia. The text is licensed under Creative Commons - Attribution - Sharealike. Additional terms may apply for the media files.
