Placental site trophoblastic tumor
Placental site trophoblastic tumor is a form of gestational trophoblastic disease, which is thought to arise from intermediate trophoblast.[1]
| Placental site trophoblastic tumor | |
|---|---|
![]() | |
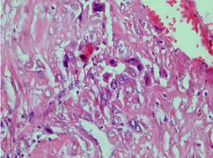
| Photomicrograph showing proliferating intermediate trophoblast with scarce cytotophoblastic and syncytiotrophoblastic elements | |
| Specialty | Oncology, obstetrics |
It may secrete human placental lactogen (human chorionic somatomammotropin),[2] and result in a false-positive pregnancy test.[3]
Placental site trophoblastic tumor is a monophasic neoplasm of the implantation site intermediate trophoblast, and usually a benign lesion, which comprises less than 2% of all gestational trophoblastic proliferations. Preceding conditions include molar pregnancy (5%). Compared to choriocarcinoma or invasive mole, hemorrhage is less conspicuous and serum β-HCG level is low, making early diagnosis difficult.
Immunohistochemistry: Often stains with hPL, keratin, Mel-CAM, EGFR.
Treatment
Because chemotherapy is ineffective; the patient should undergo hysterectomy.
Prognosis
10–20% of cases metastasize leading to death.
References
- Shih IM, Kurman RJ (January 2001). "The pathology of intermediate trophoblastic tumors and tumor-like lesions". Int. J. Gynecol. Pathol. 20 (1): 31–47. doi:10.1097/00004347-200101000-00004. PMID 11192071.
- http://library.med.utah.edu/WebPath/EXAM/MULTORG/fem1frm.html
- Whitney KA (December 2009). "Placental site trophoblastic tumor". Am J Nurs. 109 (12): 32–7, quiz 38. doi:10.1097/01.NAJ.0000365176.62954.11. PMID 19935163.
External links
| Classification | |
|---|---|
| External resources |
|
