Pontocerebellar hypoplasia

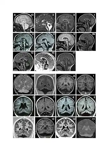
Pontocerebellar hypoplasia (PCH) is a heterogeneous group of rare neurodegenerative disorders caused by genetic mutations and characterised by progressive atrophy of various parts of the brain such as the cerebellum or brainstem (particularly the pons).[1] Where known, these disorders are inherited in an autosomal recessive fashion. There is no known cure for PCH.[2]

Pontocerebellar hypoplasia
Other namesNon-syndromic pontocerebellar hypoplasia
Pontocerebellar hypoplasia is inherited in an autosomal recessive manner
SpecialtyNeurology
TreatmentThere is no known treatment.

Signs and symptoms

There are different signs and symptoms for different forms of pontocerebellar hypoplasia, at least six of which have been described by researchers. All forms involve abnormal development of the brain, leading to slow development, movement problems, and intellectual impairment.[2]

The following values seem to be aberrant in children with CASK gene defects: lactate, pyruvate, 2-ketoglutaric acid, adipic acid, and suberic acid which seems to support the thesis that CASK affects mitochondrial function.[3]

Causes

Pontocerebellar hypoplasia is caused by mutations in genes including VRK1 (PCH1); TSEN2, TSEN34 (PCH2); RARS2 (PCH6); and TSEN54 (PCH2 and PCH4). The genes associated with PCH3 and PCH5 have not yet been identified.[2]

The mutated genes in PCH are autosomal recessive, which means that parents of an affected child each carry only one copy of the damaged gene. In each parent the other copy performs its proper function and they display no signs of PCH. A child inheriting two damaged copies of the gene will be affected by PCH.[2]

Mechanism

Mutations in the genes that cause PCH produce faults in the production of chemicals, usually enzymes, that are required for the development of nerve cells (neurons) and for properly processing RNA, which is needed for any cell to function normally. The exact mechanism by which PCH affects the development of the cerebellum and pons is not well understood.[2]

Diagnosis

Classification

Pontocerebellar hypoplasia is classified as follows:[4]

Type OMIM Gene Locus Distinctive features Alternate names
PCH1A 607596 VRK1 14q32 Infantile onset anterior horn cell degeneration resulting in progressive muscle atrophy; resembles infantile spinal muscular atrophy[5] Spinal muscular atrophy with pontocerebellar hypoplasia (SMA-PCH)
PCH1B 614678 EXOSC3 9p13.2 Cerebellar and spinal motor neuron degeneration beginning at birth and resulting in decreased body tone, respiratory insufficiency, muscle atrophy, progressive microcephaly and global developmental delay[6]
PCH2A 277470 TSEN54 17q25.1 Dyskinetic movements, seizures (frequently) Volendam neurodegenerative disease
PCH2B 612389 TSEN2 3p25.2
PCH2C 612390 TSEN34 19q13.42
PCH2D 613811 SEPSECS 4p15.2 Progressive cerebello-cerebral atrophy (PCCA)
PCH2E 615851 VPS53 17p13.3 Profound mental retardation, progressive microcephaly, spasticity, and early-onset epilepsy[7]
PCH2F 617026 TSEN15 1q25.3 Variable neurologic signs and symptoms, including cognitive and motor delay, poor or absent speech, seizures, and spasticity
PCH3 608027 PCLO 7q11–q21 Seizures, short stature, optic atrophy, progressive microcephaly, severe developmental delay; described only in a handful of cases.[8] CLAM-PCH, cerebellar atrophy with progressive microcephaly
PCH4 225753 TSEN54 17q25.1 Severe prenatal form of PCH2 with excess fluid in the amniotic sac, muscle contractures, brief involuntary muscle twitching, brief episodes without breathing, and early death following birth
PCH5 610204 TSEN54 17q25.1 Severe prenatal form, described in one family Olivopontocerebellar hypoplasia (OPCH)
PCH6 611523 RARS2 6q15 Severe encephalopathy in the newborn with hypotonia, and inconstantly: intractable seizures, edema, increased lactate blood levels, mitochondrial respiratory chain defects
PCH7 614969 TOE1 1p34.1 Hypotonia, apneic episodes, seizures, vanishing testis[9][10]
PCH8 614961 CHMP1A 16q24.3 Severe psychomotor retardation, abnormal movements, hypotonia, spasticity, and variable visual defects[11]
PCH9 615809 AMPD2 1p13.3 Severely delayed psychomotor development, progressive microcephaly, spasticity, seizures, and brain abnormalities, including brain atrophy, thin corpus callosum, and delayed myelination[12]
PCH10 615803 CLP1 11q12.1 Severely delayed psychomotor development, progressive microcephaly, spasticity, seizures, and brain abnormalities, including brain atrophy and delayed myelination[13]

Pontine and cerebellar hypoplasia is also observed in certain phenotypes of X-linked mental retardation – so called MICPCH.

Another gene that has been associated with this condition is coenzyme A synthase (COASY).[14]

Outcomes

The severity of different forms of PCH varies, but many children inheriting the mutated gene responsible do not survive infancy[15] or childhood; nevertheless, some individuals born with PCH have reached adulthood.[2]

See also

References

  1. Millen KJ, Gleeson JG (February 2008). "Cerebellar development and disease". Curr Opin Neurobiol. 18 (1): 12–9. doi:10.1016/j.conb.2008.05.010. PMC 2474776. PMID 18513948.
  2. "Pontocerebellar hypoplasia". Genetics Home Reference. U.S. National Library of Medicine. December 2009. Retrieved 20 September 2014.
  3. Mukherjee, K; Slawson, JB; Christmann, BL; Griffith, LC (2014). "Neuron-specific protein interactions of Drosophila CASK-β are revealed by mass spectrometry". Frontiers in Molecular Neuroscience. 7: 58. doi:10.3389/fnmol.2014.00058. PMC 4075472. PMID 25071438.
  4. Online Mendelian Inheritance in Man (OMIM):
  5. Online Mendelian Inheritance in Man (OMIM): 607596
  6. Online Mendelian Inheritance in Man (OMIM): 614678
  7. Online Mendelian Inheritance in Man (OMIM): 615851
  8. Online Mendelian Inheritance in Man (OMIM): 608027
  9. Anderson, C; Davies, JH; Lamont, L; Foulds, N (April 2011). "Early pontocerebellar hypoplasia with vanishing testes: A new syndrome?". American Journal of Medical Genetics Part A. 155A (4): 667–72. doi:10.1002/ajmg.a.33897. PMID 21594990. S2CID 37977323.
  10. Namavar, Y; Barth, PG; Poll-The, BT; Baas, F (2011). "Classification, diagnosis and potential mechanisms in pontocerebellar hypoplasia". Orphanet Journal of Rare Diseases. 6: 50. doi:10.1186/1750-1172-6-50. PMC 3159098. PMID 21749694.
  11. Online Mendelian Inheritance in Man (OMIM): 614961
  12. Online Mendelian Inheritance in Man (OMIM): 615809
  13. Online Mendelian Inheritance in Man (OMIM): 615803
  14. van Dijk T, Ferdinandusse S, Ruiter JPN, Alders M, Mathijssen IB, Parboosingh JS, Innes AM, Meijers-Heijboer H, Poll-The BT, Bernier FP, Wanders RJA, Lamont RE, Baas F (2018) Biallelic loss of function variants in COASY cause prenatal onset pontocerebellar hypoplasia, microcephaly, and arthrogryposis. Eur J Hum Genet doi: 10.1038/s41431-018-0233-0
  15. Basson MA, Wingate RJ (September 2013). "Congenital hypoplasia of the cerebellum: developmental causes and behavioral consequences". Front Neuroanat. 7: 29. doi:10.3389/fnana.2013.00029. PMC 3759752. PMID 24027500.
Classification
External resources
This article is issued from Wikipedia. The text is licensed under Creative Commons - Attribution - Sharealike. Additional terms may apply for the media files.