Salivary duct carcinoma
Salivary duct carcinoma (SDC) is a rare type of aggressive cancer that arises from the salivary glands.[1] It is predominantly seen in men and, generally, has a poor prognosis.[2] Other high grade carcinomas can mimic SDC. About 40-60% of SDC arise in pleomorphic adenomas.[3] Most, if not all, SDCs express androgen receptor by immunohistochemistry.[4] Therapeutically relevant genetic alterations include ERBB2/Her2 amplification, PIK3CA and/or HRAS mutations.[5][6]
| Salivary duct carcinoma | |
|---|---|
![]() | |
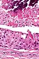
| Low magnification micrograph of a salivary duct carcinoma with characteristic comedonecrosis (left of image) adjacent to normal parotid gland (right of image). H&E stain. | |
| Specialty | ENT surgery |
Signs and symptoms
The typical presentation is a rapidly growing mass with associated pain.[2] This may be seen in association with neck lymph node swelling (cervical lymphadenopathy), due to metastases, and facial nerve paralysis.
Diagnosis
SDC are diagnosed by examination of tissue, e.g. a biopsy.
Their histologic appearance is similar to ductal breast carcinoma.
Very low mag.
Intermed. mag.
Very high mag.
See also
References
- Kinnera, VS; Mandyam, KR; Chowhan, AK; Nandyala, R; Bobbidi, VP; Vutukuru, VR (July 2009). "Salivary duct carcinoma of parotid gland". Journal of Oral and Maxillofacial Pathology. 13 (2): 85–8. doi:10.4103/0973-029x.57676. PMC 3162867. PMID 21887008.
- Rajesh, NG.; Prayaga, AK.; Sundaram, C. (2011). "Salivary duct carcinoma: correlation of morphologic features by fine needle aspiration cytology and histopathology". Indian J Pathol Microbiol. 54 (1): 37–41. doi:10.4103/0377-4929.77321. PMID 21393874.
- Chiosea, Simion I.; Thompson, Lester D. R.; Weinreb, Ilan; Bauman, Julie E.; Mahaffey, Alyssa M.; Miller, Caitlyn; Ferris, Robert L.; Gooding, William E. (2016-10-15). "Subsets of salivary duct carcinoma defined by morphologic evidence of pleomorphic adenoma, PLAG1 or HMGA2 rearrangements, and common genetic alterations". Cancer. 122 (20): 3136–3144. doi:10.1002/cncr.30179. ISSN 1097-0142. PMC 5048512. PMID 27379604.
- Williams, L; Thompson, LD; Seethala, RR; Weinreb, I; Assaad, AM; Tuluc, M; Ud Din, N; Purgina, B; Lai, C; Griffith, CC; Chiosea, SI (May 2015). "Salivary duct carcinoma: the predominance of apocrine morphology, prevalence of histologic variants, and androgen receptor expression". The American Journal of Surgical Pathology. 39 (5): 705–13. doi:10.1097/pas.0000000000000413. PMID 25871467.
- Chiosea, SI; Williams, L; Griffith, CC; Thompson, LD; Weinreb, I; Bauman, JE; Luvison, A; Roy, S; Seethala, RR; Nikiforova, MN (June 2015). "Molecular characterization of apocrine salivary duct carcinoma". The American Journal of Surgical Pathology. 39 (6): 744–52. doi:10.1097/pas.0000000000000410. PMID 25723113.
- Nardi, V; Sadow, PM; Juric, D; Zhao, D; Cosper, AK; Bergethon, K; Scialabba, VL; Batten, JM; Borger, DR; Iafrate, AJ; Heist, RS; Lawrence, DP; Flaherty, KT; Bendell, JC; Deschler, D; Li, Y; Wirth, LJ; Dias-Santagata, D (15 January 2013). "Detection of novel actionable genetic changes in salivary duct carcinoma helps direct patient treatment". Clinical Cancer Research. 19 (2): 480–90. doi:10.1158/1078-0432.ccr-12-1842. PMID 23186780.
External links
| Classification |
|---|
