Superficial spreading melanoma
Superficial spreading melanoma (SSM) is usually characterized as the most common form of cutaneous melanoma[2] in Caucasians. The average age at diagnosis is in the fifth decade, and it tends to occur on sun-exposed skin, especially on the backs of males and lower limbs of females.
| Superficial spreading melanoma | |
|---|---|
| Other names | Superficially spreading melanoma[1] |
![]() | |
| Specialty | Dermatology |
Signs and symptoms
Often, this disease evolves from a precursor lesion, usually a dysplastic nevus. Otherwise it arises in previously normal skin. A prolonged radial growth phase, where the lesion remains thin, may eventually be followed by a vertical growth phase where the lesion becomes thick and nodular. As the risk of spread varies with the thickness, early SSM is more frequently cured than late nodular melanoma.
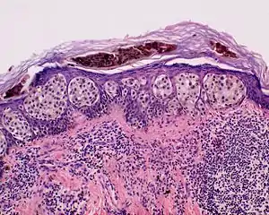
Histopathology
The microscopic hallmarks are:
- Large melanocytic cells with nest formation along the dermo-epidermal junction.
- Invasion of the upper epidermis in a pagetoid fashion (discohesive single cell growth).
- The pattern of rete ridges is often effaced.
- Invasion of the dermis by atypical, pleomorphic melanocytes
- Absence of the 'maturation' typical of naevus cells
- Mitoses
Treatment
Treatment is by excisional biopsy, wide local excision and possibly sentinel node biopsy. Spread of disease to local lymph nodes or distant sites (typically brain, bone, skin and lung) marks a decidedly poor prognosis.
See also
References
- James, William D.; Berger, Timothy G.; et al. (2006). Andrews' Diseases of the Skin: clinical Dermatology. Saunders Elsevier. ISBN 0-7216-2921-0.
- Forman SB, Ferringer TC, Peckham SJ, et al. (June 2008). "Is superficial spreading melanoma still the most common form of malignant melanoma?". J. Am. Acad. Dermatol. 58 (6): 1013–20. doi:10.1016/j.jaad.2007.10.650. PMID 18485983.
External links
| Classification |
|---|
