XYY syndrome
XYY syndrome is a genetic condition in which a male has an extra Y chromosome.[1] There are usually few symptoms.[2] These may include being taller than average, acne, and an increased risk of learning problems.[1][2] The person is generally otherwise typical, including typical rates of fertility.[1]
| XYY syndrome | |
|---|---|
| Other names | YY syndrome, 47 XYY, Jacobs syndrome[1] |
![]() | |
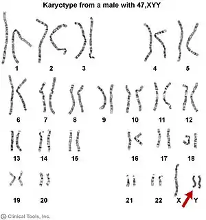
| Karyotype from a male with 47,XYY | |
| Specialty | Medical genetics |
| Symptoms | Being taller than average, acne, learning problems[1][2] |
| Complications | Autism spectrum disorder, ADHD[3] |
| Causes | Genetics[2] |
| Diagnostic method | Chromosomal analysis[2] |
| Differential diagnosis | Klinefelter syndrome, Marfan syndrome, Sotos syndrome[2] |
| Prevention | None[3] |
| Treatment | Speech therapy, tutoring[2] |
| Prognosis | Good[2] |
| Frequency | ~1 in 1,000 males[1] |
The condition is generally not inherited from a person's parents but rather occurs as a result of a random event during sperm development.[1] Diagnosis is by a chromosomal analysis, but most of those affected are not diagnosed within their lifetime.[2] There are 47 chromosomes, instead of the usual 46, giving a 47,XYY karyotype.[1]
Treatment may include speech therapy or extra help with schoolwork, but outcomes are generally good.[2] The condition occurs in about 1 in 1,000 male births.[1] Many people with the condition are unaware that they have it.[3] The condition was first described in 1961.[4]
Signs and symptoms
Physical traits
People with the 47,XYY karyotype have an increased growth rate from early childhood, with an average final height approximately 7 cm (3") above expected final height.[5] In Edinburgh, Scotland, eight 47, XYY boys born 1967–1972 and identified in a newborn screening programme had an average height of 188.1 cm (6'2") at age 18—their fathers' average height was 174.1 cm (5'8½"), their mothers' average height was 162.8 cm (5'4").[6][7] The increased gene dosage of three X/Y chromosome pseudoautosomal region (PAR1) SHOX genes has been postulated as a cause of the increased stature seen in all three sex chromosome trisomies: 47,XXX, 47,XXY, and 47,XYY.[8] Severe acne was noted in a very few early case reports, but dermatologists specializing in acne now doubt the existence of a relationship with 47,XYY.[9]
Prenatal testosterone levels are normal in 47,XYY males.[10] Most 47,XYY males have normal sexual development and have normal fertility.[6][11][12][13]
Cognitive and behavioral traits
In contrast to the other common sex chromosome aneuploidies—47,XXX and 47,XXY (Klinefelter syndrome)—the average IQ scores of 47,XYY boys identified by newborn screening programs were not reduced compared to the general population.[14][15] In a summary of six prospective studies of 47,XYY boys identified by newborn screening programmes, twenty-eight 47,XYY boys had an average 100.76 verbal IQ, 108.79 performance IQ, and 105.00 full-scale IQ.[16] In a systematic review including two prospective studies of 47,XYY boys identified by newborn screening programs and one retrospective study of 47,XYY men identified by screening men over 184 cm (6'½") in height, forty-two 47,XYY boys and men had an average 99.5 verbal IQ and 106.4 performance IQ.[15][17][18][19]
In prospective studies of 47,XYY boys identified by newborn screening programs, the IQ scores of 47,XYY boys were usually slightly lower than those of their siblings.[6][20] In Edinburgh, fifteen 47,XYY boys with siblings identified in a newborn screening program had an average 104.0 verbal IQ and 106.7 performance IQ, while their siblings had an average 112.9 verbal IQ and 114.6 performance IQ.[17]
Approximately half of 47,XYY boys identified by newborn screening programs had learning difficulties—a higher proportion than found among siblings and above-average-IQ control groups.[6][13] In Edinburgh, 54% of 47,XYY boys (7 of 13) identified in a newborn screening program received remedial reading teaching compared to 18% (4 of 22) in an above-average-IQ control group of 46,XY boys matched by their father's social class.[17] In Boston, USA 55% of 47,XYY boys (6 of 11) identified in a newborn screening program had learning difficulties and received part-time resource room help compared to 11% (1 of 9) in an above-average-IQ control group of 46,XY boys with familial balanced autosomal chromosome translocations.[18]
Developmental delays and behavioral problems are also possible, but these characteristics vary widely among affected boys and men, are not unique to 47,XYY and are managed no differently from in 46,XY males.[11] Aggression is not seen more frequently in 47,XYY males.[6][11]
Cause

47,XYY is not inherited, but usually occurs as a random event during the formation of sperm cells. An incident in chromosome separation during anaphase II (of meiosis II) called nondisjunction can result in sperm cells with an extra copy of the Y-chromosome. If one of these atypical sperm cells contributes to the genetic makeup of a child, the child will have an extra Y-chromosome in each of the body's cells.[21]
In some cases, the addition of an extra Y-chromosome results from nondisjunction during cell division during a post-zygotic mitosis in early embryonic development. This can produce 46,XY/47,XYY mosaics.[21]
Diagnosis
47,XYY syndrome is not usually diagnosed until learning issues are present. The syndrome is diagnosed in an increasing number of children prenatally by amniocentesis and chorionic villus sampling[22] in order to obtain a chromosome karyotype, where the abnormality can be observed.
It is estimated that only 15–20% of children with 47,XYY syndrome are ever diagnosed. Of these, approximately 30% are diagnosed prenatally. For the rest of those diagnosed after birth, around half are diagnosed during childhood or adolescence after developmental delays are observed. The rest are diagnosed after any of a variety of symptoms, including fertility problems (5%)[23] have been seen.
Epidemiology
Around 1 in 1,000 boys are born with a 47,XYY karyotype.[6][11] The incidence of 47,XYY is not known to be affected by the parents' ages.[6][11]
History
1960s
In April 1956, Hereditas published the discovery by cytogeneticists Joe Hin Tjio and Albert Levan at Lund University in Sweden that the normal number of chromosomes in diploid human cells was 46—not 48 as had been believed for the preceding thirty years.[24] In the wake of the establishment of the normal number of human chromosomes, 47,XYY was the last of the common sex chromosome aneuploidies to be discovered, two years after the discoveries of 47,XXY,[25] 45,X,[26] and 47,XXX[27] in 1959. Even the much less common 48,XXYY[28] had been discovered in 1960, a year before 47,XYY.
Screening for those X chromosome aneuploidies was possible by noting the presence or absence of "female" sex chromatin bodies (Barr bodies) in the nuclei of interphase cells in buccal smears, a technique developed a decade before the first reported sex chromosome aneuploidy.[29] An analogous technique to screen for Y-chromosome aneuploidies by noting supernumerary "male" sex chromatin bodies was not developed until 1970, a decade after the first reported sex chromosome aneuploidy.[30]
The first published report of a man with a 47,XYY karyotype was by internist and cytogeneticist Avery Sandberg and colleagues at Roswell Park Memorial Institute in Buffalo, New York in 1961. It was an incidental finding in a normal 44-year-old, 6 ft. [183 cm] tall man of average intelligence who was karyotyped because he had a daughter with Down syndrome.[31] Only a dozen isolated 47,XYY cases were reported in the medical literature in the four years following the first report by Sandberg.[32]
Then, in December 1965 and March 1966, Nature and The Lancet published the first preliminary reports by British cytogeneticist Patricia Jacobs and colleagues at the MRC Human Genetics Unit at Western General Hospital in Edinburgh of a chromosome survey of 315 male patients at State Hospital in Carstairs, Lanarkshire—Scotland's only special security hospital for the developmentally disabled—that found nine patients, ages 17 to 36, averaging almost 6 ft. in height (avg. 5'11", range: 5'7" to 6'2"), had a 47,XYY karyotype, and mischaracterized them as aggressive and violent criminals.[32][33][34][35] Over the next decade, almost all published XYY studies were on height-selected, institutionalized XYY males.[11]
In January 1968 and March 1968, The Lancet and Science published the first U.S. reports of tall, institutionalized XYY males by Mary Telfer, a biochemist, and colleagues at the Elwyn Institute.[36] Telfer found five tall, developmentally disabled XYY boys and men in hospitals and penal institutions in Pennsylvania, and since four of the five had at least moderate facial acne, reached the erroneous conclusion that acne was a defining characteristic of XYY males.[36] After learning that convicted mass murderer Richard Speck had been karyotyped, Telfer not only incorrectly assumed the acne-scarred Speck was XYY, but reached the false conclusion that Speck was the archetypical XYY male—or "supermale" as Telfer referred to XYY males outside of peer-reviewed scientific journals.[37]
In April 1968, The New York Times—using Telfer as a main source—introduced the XYY genetic condition to the general public in a three-part series on consecutive days that began with a Sunday front-page story about the planned use of the condition as a mitigating factor in two murder trials in Paris[38] and Melbourne[39]—and falsely reported that Richard Speck was an XYY male and that the condition would be used in an appeal of his murder conviction.[34][40] The series was echoed the following week by articles—again using Telfer as a main source—in Time and Newsweek,[41] and six months later in The New York Times Magazine.[42]
In December 1968, the Journal of Medical Genetics published the first XYY review article—by Michael Court Brown,[43] director of the MRC Human Genetics Unit—which reported no overrepresentation of XYY males in nationwide chromosome surveys of prisons and hospitals for the developmentally disabled and mentally ill in Scotland, and concluded that studies confined to institutionalized XYY males may be guilty of selection bias, and that long-term longitudinal prospective studies of newborn XYY boys were needed.[32]
In May 1969, at the annual meeting of the American Psychiatric Association, Telfer and her Elwyn Institute colleagues reported that case studies of the institutionalized XYY and XXY males they had found convinced them that XYY males had been falsely stigmatized and that their behavior may not be significantly different from chromosomally normal 46,XY males.[44]
In June 1969, the National Institute of Mental Health (NIMH) Center for Studies of Crime and Delinquency held a two-day XYY conference in Chevy Chase, Maryland.[45] In December 1969, with a grant from the NIMH Center for Studies of Crime and Delinquency, cytogeneticist Digamber Borgaonkar at Johns Hopkins Hospital began a chromosome survey of (predominantly African-American) boys ages 8 to 18 in all Maryland institutions for delinquent, neglected, or mentally ill juveniles, which was suspended from February–May 1970 due to an American Civil Liberties Union (ACLU) lawsuit about the lack of informed consent.[46][47] Concurrently, through 1974, psychologist John Money at Johns Hopkins Hospital experimented on thirteen XYY boys and men (ages 15 to 37) in an unsuccessful attempt to treat their history of behavior problems by chemical castration using high-dose Depo-Provera—with side-effects of weight gain (avg. 26 lbs.) and suicide.[46][48]
In the late 1960s and early 1970s, screening of consecutive newborns for sex chromosome abnormalities was undertaken at seven centers worldwide: in Denver (Jan 1964–1974), Edinburgh (Apr 1967–Jun 1979), New Haven (Oct 1967–Sep 1968), Toronto (Oct 1967–Sep 1971), Aarhus (Oct 1969–Jan 1974, Oct 1980–Jan 1989), Winnipeg (Feb 1970–Sep 1973), and Boston (Apr 1970–Nov 1974).[49] The Boston study, led by Harvard Medical School child psychiatrist Stanley Walzer at Children's Hospital, was unique among the seven newborn screening studies in that it only screened newborn boys (non-private-ward newborn boys at the Boston Hospital for Women) and was funded in part by grants from the NIMH Center for Studies of Crime and Delinquency.[50] The Edinburgh study was led by Shirley Ratcliffe who focused her career on it and published the results in 1999.[51][52]
1970s
In December 1969, Lore Zech at the Karolinska Institute in Stockholm first reported intense fluorescence of the A T-rich distal half of the long arm of the Y chromosome in the nuclei of metaphase cells treated with quinacrine mustard.[53] In April 1970, Peter Pearson and Martin Bobrow at the MRC Population Genetics Unit in Oxford and Canino Vosa at the University of Oxford reported fluorescent "male" sex chromatin bodies in the nuclei of interphase cells in buccal smears treated with quinacrine dihydrochloride, which could be used to screen for Y chromosome aneuploidies like 47,XYY.[54]
In June 1970, The XYY Man was published—the first of seven Kenneth Royce spy novels whose fictional tall, intelligent, nonviolent XYY hero was a reformed expert cat burglar recruited by British intelligence for dangerous assignments—and later adapted into a thirteen-episode British summer television series broadcast in 1976 and 1977.[55] In other fictional television works, a January 1971 episode "By the Pricking of My Thumbs ..." of the British science fiction TV series Doomwatch featured an XYY boy expelled from school because his genetic condition led him to be falsely accused of nearly blinding another boy,[56] a November 1993 episode "Born Bad" of the American police procedural TV series Law & Order portrayed a 14-year-old XYY sociopathic murderer,[57] and the May 2007 season finale episode "Born To Kill" of the American police procedural TV series CSI: Miami depicted a 34-year-old XYY serial killer.[58] The false stereotype of XYY boys and men as violent criminals has also been used as a plot device in the horror films Il gatto a nove code in February 1971 (dubbed into English as The Cat o' Nine Tails in May 1971) and Alien 3 in May 1992.[34][35]
In December 1970, at the annual meeting of the American Association for the Advancement of Science (AAAS), its retiring president, geneticist H. Bentley Glass, cheered by the legalization of abortion in New York,[59] envisioned a future where pregnant women would be required by the government to abort XYY "sex deviants".[46][60] Mischaracterization of the XYY genetic condition was quickly incorporated into high school biology textbooks[46][61] and medical school psychiatry textbooks,[46][62] where misinformation still persists decades later.[35]
In 1973, child psychiatrist Herbert Schreier at Children's Hospital told Harvard Medical School microbiologist Jon Beckwith of Science for the People that he thought Walzer's Boston XYY study was unethical; Science for the People investigated the study and filed a complaint with Harvard Medical School about the study in March 1974.[35] In November 1974, Science for the People went public with their objections to the Boston XYY study in a press conference and a New Scientist article alleging inadequate informed consent, a lack of benefit (since no specific treatment was available) but substantial risk (by stigmatization with a false stereotype) to the subjects, and that the unblinded experimental design could not produce meaningful results regarding the subjects' behavior.[50] In December 1974, the Harvard Standing Committee on Medical Research issued a report supporting the Boston XYY study and in March 1975, the faculty voted 199–35 to allow continuation of the study.[50] After April 1975, screening of newborns was discontinued—changes to informed consent procedures and pressure from additional advocacy groups, including the Children's Defense Fund, having led to the discontinuation of the last active U.S. newborn screening programs for sex chromosome abnormalities in Boston and Denver.[50]
In August 1976, Science published a retrospective cohort study by Educational Testing Service psychologist Herman Witkin and colleagues that screened the tallest 16% of men (over 184 cm (6'0") in height) born in Copenhagen from 1944 to 1947 for XXY and XYY karyotypes, and found an increased rate of minor criminal convictions for property crimes among sixteen XXY and twelve XYY men may be related to the lower intelligence of those with criminal convictions, but found no evidence that XXY or XYY men were inclined to be aggressive or violent.[63]
1980s and later
The March of Dimes sponsored five international conferences in June 1974, November 1977, May 1981, June 1984, and June 1989 and published articles from the conferences in book form in 1979, 1982, 1986, and 1991 from seven longitudinal prospective cohort studies on the development of over 300 children and young adults with sex chromosome abnormalities identified in the screening of almost 200,000 consecutive births in hospitals in Denver, Edinburgh, New Haven, Toronto, Aarhus, Winnipeg, and Boston from 1964 to 1975.[49][64] These seven studies—the only unbiased studies of unselected individuals with sex chromosome abnormalities—have replaced the older, biased studies of institutionalized individuals in understanding the development of individuals with sex chromosome abnormalities.[11][65]
In May 1997, Nature Genetics published the discovery by Ercole Rao and colleagues of the X/Y chromosome pseudoautosomal region (PAR1) SHOX gene, haploinsufficiency of which leads to short stature in Turner syndrome (45,X).[66] It was subsequently postulated that the increased gene dosage of three SHOX genes leads to tall stature in the sex chromosome trisomies 47,XXX, 47,XXY, and 47,XYY.[8]
In July 1999, Psychological Medicine published a case-control study by Royal Edinburgh Hospital psychiatrist Michael Götz and colleagues that found an increased rate of criminal convictions among seventeen XYY men identified in the Edinburgh newborn screening study compared to an above-average-IQ control group of sixty XY men, which multiple logistic regression analysis indicated was mediated mainly through lowered intelligence.[67]
In June 2002, the American Journal of Medical Genetics published results from a longitudinal prospective cohort Denver Family Development Study led by pediatrician and geneticist Arthur Robinson,[68] which found that in fourteen prenatally diagnosed 47,XYY boys (from high socioeconomic status families), IQ scores available for six boys ranged from 100 to 147 with a mean of 120.[69] For the eleven of fourteen boys with siblings, in nine instances their siblings were stronger academically, but in one case the subject was performing equal to, and in another case superior to, his siblings.[69]
Society and culture
Some medical geneticists question whether the term "syndrome" is appropriate for this condition[6] because many people with this karyotype appear normal.[6][11]
See also
- Klinefelter syndrome (47, XXY)
- Triple X syndrome (47, XXX)
- Turner syndrome (45,X)
- XXYY syndrome (48, XXYY)
References
- "47,XYY syndrome". Genetics Home Reference. January 2009. Retrieved 2017-03-19.
- "XYY Syndrome". NORD (National Organization for Rare Disorders). 2012. Retrieved 11 November 2017.
- "47, XYY syndrome". Genetic and Rare Diseases Information Center (GARD). 2017. Retrieved 11 November 2017.
- Bostwick, David G.; Cheng, Liang (2014). Urologic Surgical Pathology E-Book. Elsevier Health Sciences. p. 682. ISBN 9780323086196.
- Nielsen, Johannes (1998). "How is height growth?". XYY males. An orientation. The Turner Center, Aarhus Psychiatric Hospital, Risskov, Denmark. Archived from the original on 2010-03-07.
- Gravholt, Claus Højbjerg (2013). "Sex chromosome abnormalities". In Pyeritz, Reed E.; Rimoin, David L.; Korf, Bruce R. (eds.). Emery and Rimoin's principles and practice of medical genetics (6th ed.). San Diego: Elsevier Academic Press. pp. 1180–1211. ISBN 978-0-12-383834-6.
This sex chromosome aneuploidy is not characterized by distinct physical features and, because there does not appear to be recognizable pattern of neurodevelopment or behavioral characteristics, the use of the term syndrome may be inappropriate. Males with an extra Y chromosome are phenotypically normal and most never come to medical attention.
Pubertal development, testicular histology, and spermatogenesis are most often normal.
…it appears that XY pairing and recombination occur normally in 47,XYY, the extra Y chromosome being lost during spermatogenesis, so that many XYY men have fathered chromosomally normal children. It has generally been observed that reproductive risks for males with 47,XYY are no higher than for euploid males, despite the fact that in situ hybridization studies demonstrated a lower frequency of single Y-bearing sperm than expected and a variably higher rate of disomic XX, XY and YY spermatozoa in males with 47,XYY.
Population-based studies have demonstrated that intellectual abilities tend to be slightly lower than those of siblings and matched controls and that boys with an extra Y chromosome are more likely to require educational help. However, intelligence is usually well within the normal range.
During school age, learning disabilities requiring educational intervention are present in approximately 50% and are as responsive to therapy as they are in children with normal chromosomes. Expressive and receptive language delays and reading disorders are common. - Ratcliffe, Shirley G.; Pan, Huiqi; McKie, Mark (November–December 1992). "Growth during puberty in the XYY boy". Annals of Human Biology. 19 (6): 579–587. doi:10.1080/03014469200002392. PMID 1476413.
- Cohen, Pinchas; Shim, Melanie (2007). "Hyperpituitarism, tall stature, and overgrowth syndromes". In Kliegman, Robert M.; Behrman, Richard E.; Jenson, Hal B.; Stanton, Bonita F. (eds.). Nelson textbook of pediatrics (18th ed.). Philadelphia: Saunders. pp. 2303–2307. ISBN 978-1-4160-2450-7. p. 2304: Table 561-1. Differential diagnosis of tall stature and overgrowth syndromes. Postnatal overgrowth leading to childhood tall stature—includes: Klinefelter syndrome (XXY), SHOX excess syndromes, XYY.
- Kanaka-Gantenbein, Christina; Kitsiou, Sophia; Mavrou, Ariadni; Stamoyannou, Lela; Kolialexi, Aggeliki; Kekou, Kyriaki; Liakopoulou, Magda; Chrousos, George (April 2004). "Tall stature, insulin resistance, and disturbed behavior in a girl with the triple X syndrome harboring three SHOX genes: offspring of a father with mosaic Klinefelter syndrome but with two maternal X chromosomes". Horm Res. 61 (5): 205–210. doi:10.1159/000076532. PMID 14752208. S2CID 41958098.
- Aksglaede, Lise; Skakkebaek, Niels E.; Juul, Anders (January 2008). "Abnormal sex chromosome constitution and longitudinal growth: serum levels of insulin-like growth factor (IGF)-I, IGF binding protein-3, luteinizing hormone, and testosterone in 109 males with 47,XXY, 47,XYY, or sex-determining region of the Y chromosome (SRY)-positive 46,XX karyotypes" (PDF). J Clin Endocrinol Metab. 93 (1): 169–176. doi:10.1210/jc.2007-1426. PMID 17940117.
- Tüttelmann, Frank; Gromoll, Jörg (2010). "Novel genetic aspects of Klinefelter's syndrome". Mol Hum Reprod. 16 (6): 386–95. doi:10.1093/molehr/gaq019. PMID 20228051.
- Plewig, Gerd; Kligman, Albert M. (2000). Acne and rosacea (3rd ed.). Philadelphia: Springer-Verlag. p. 377. ISBN 978-3-540-66751-3.
- Ratcliffe, Shirley G.; Read, Graham; Pan, Huiqi; Fear, Claudine; Lindenbaum, Richard; Crossley, Jennifer (September 1994). "Prenatal testosterone levels in XXY and XYY males". Horm Res. 42 (3): 106–109. doi:10.1159/000184157. PMID 7995613.
- Milunsky, Jeff M. (2010). "Prenatal diagnosis of sex chromosome abnormalities". In Milunsky, Aubrey; Milunsky, Jeff M. (eds.). Genetic disorders and the fetus: diagnosis, prevention and treatment (6th ed.). Oxford: Wiley-Blackwell. pp. 273–312. ISBN 978-1-4051-9087-9.
The addition of a Y chromosome to a normal male chromosome constitution does not produce a discernible phenotype. Males with 47,XYY cannot be characterized by discriminating physical or behavioral features. The first diagnosis of this condition, therefore, was a karyotypic and not a phenotypic discovery.
Pubertal development is normal and these men are usually fertile. - Gardner, R.J. McKinlay; Sutherland, Grant R. (2004). Chromosome abnormalities and genetic counseling (3rd ed.). Oxford: Oxford University Press. pp. 29–30, 42, 199, 207, 257, 263, 393, 424–430. ISBN 978-0-19-514960-9.
From early meiotic studies, it was concluded that the extra Y was eliminated before the spermatocyte formed, with an X-Y bivalent usually seen at diakinesis, and more recent studies support this concept. However, FISH analyses of sperm, enabling hundreds of cells to be analyzed, have shown a very small increased faction of 24,YY spermatozoa in the ejaculate of XYY men (Table 12-1). Thus it appears the vast majority of spermatocytes lose the extra Y before entering meiosis, a very few XYY primary spermatocytes are able to slip through and produce YY (and XY) spermatozoa. These cytogenetic findings parallel the observation that XYY men have no discernible increase in risk to have children with a sex chromosome abnormality. A true increased risk of a fraction of a per cent could be distinguished only with the greatest of difficulty when the background population risk is of a similar order of magnitude. As for the autosomes, no convincing case exists for any increased risk for aneuploidy in the children of men with 47,XYY.
To our knowledge, there is no report of a discernibly increased risk for the XYY male to have chromosomally abnormal children. A slight increase in gonosomal imbalances in sperm (Table 12-1) might nevertheless lead some to choose prenatal diagnosis. - Gardner, R.J. McKinlay; Sutherland, Grant R.; Shaffer, Lisa G. (2012). Chromosome abnormalities and genetic counseling (4th ed.). Oxford: Oxford University Press. pp. 9–10, 12, 36, 52, 221, 224, 230, 285–286, 293, 440–441, 477–480, 484. ISBN 978-0-19-537533-6.
The two other conditions, XXX and XYY, apparently have little effect on fertility; furthermore, they are not discernibly associated with any increased risk for chromosomally abnormal offspring.
While the IQ is in the normal range, it is usually lower than those of sibs or controls, and about half of XYY boys have a mild learning difficulty, and may display poor attention and impulsivity in the classroom. - Bender, Bruce G.; Puck, Mary H.; Salbenblatt, James A.; Robinson, Arthur (1986). "Cognitive development of children with sex chromosome abnormalities". In Smith, Shelley D. (ed.). Genetics and learning disabilities. San Diego: College-Hill Press. pp. 175–201. ISBN 978-0-88744-141-7.
Figure 8-3. Estimated full-scale IQ distributions for SCA and control children: 47,XXX (mean ~83), 45,X & Variant (mean ~85), 47,XXY (mean ~95), 47,XYY (mean ~100), Controls and SCA Mosaics (mean ~104)
- Leggett, Victoria; Jacobs, Patricia; Nation, Kate; Scerif, Gaia; Bishop, Dorothy V. M. (February 2010). "Neurocognitive outcomes of individuals with a sex chromosome trisomy: XXX, XYY, or XXY: a systematic review". Dev Med Child Neurol. 52 (2): 119–129. doi:10.1111/j.1469-8749.2009.03545.x. PMC 2820350. PMID 20059514.
Males with XYY have average IQs, consistent with the one study showing normal brain volume on magnetic resonance imaging. In contrast, both XXY and XXX groups tend to have below-average verbal IQ and small cerebral volume.
- Netley, Charles T. (1986). "Summary overview of behavioural development in individuals with neo-natally identified X and Y aneuploidy". In Ratcliffe, Shirley G.; Paul, Natalie (eds.). Prospective studies on children with sex chromosome aneuploidy. Birth defects original article series 22 (3). New York: Alan R. Liss. pp. 293–306. ISBN 978-0-8451-1062-1.
- Ratcliffe, Shirley G. (1994). "The psychological and psychiatric consequences of sex chromosome abnormalities in children, based on population studies". In Poustka, Fritz (ed.). Basic approaches to genetic and molecularbiological developmental psychiatry. Berlin: Quintessenz. pp. 99–122. ISBN 978-3-86128-209-9.
19 XYY boys: average verbal IQ=100.2 (range 66–121), average performance IQ=104.3 (range 83–131), average full-scale IQ=102.3; 86 XY control boys matched by the 1970 Registrar General's Classification of Social Class based on their father's occupation: average full-scale IQ=116.1;
15 XYY boys with siblings: average verbal IQ=104.0, average performance IQ=106.7; siblings of XYY boys: average verbal IQ=112.9, average performance IQ=114.6. - Walzer, Stanley; Bashir, Anthony S; Silbert, Annette R. (1991). "Cognitive and behavioral factors in the learning disabilities of 47,XXY and 47,XYY boys". In Evans, Jane A; Hamerton, John L; Robinson, Arthur (eds.). Children and young adults with sex chromosome aneuploidy: follow-up, clinical and molecular studies. Birth defects original article series 26 (4). New York: Wiley-Liss. pp. 45–58. ISBN 978-0-471-56846-9.
11 XYY boys: average verbal IQ=103.96 (range=73–139), average performance IQ=106.64 (range=84–129), average full-scale IQ=105.45 (range=80–138); 9 XY familial balanced autosomal chromosome translocation control boys: average full-scale IQ=119.33 (range=103–137).
- Theilgaard, Alice (December 1984). "A psychological study of the personalities of XYY- and XXY-men. Results". Acta Psychiatr Scand Suppl. 70 (s315): 38–49. doi:10.1111/j.1600-0447.1984.tb11065.x. PMID 6595938. S2CID 221445990.
12 XYY men over 184 cm tall: average verbal IQ=99.9, average performance IQ=97.8, average full-scale IQ=99.1 (range: 77–124); 12 XY control men over 184 cm tall, matched by age, height, and social class based on their father's occupation: average full-scale IQ=119.4
- Robinson, Arthur; Bender, Bruce G.; Puck, Mary H.; Salbenblatt, James A. (1985). "Growth and development of children with a 47,XYY karyotype". In Sandberg, Avery A. (ed.). The Y chromosome: Part B. Clinical aspects of Y chromosome abnormalities. Progress and topics in cytogenetics 6. New York: Alan R. Liss. pp. 265–275. ISBN 978-0-8451-2498-7. OCLC 12557546.
Follow-up studies on the total unselected group of prepubertal or early pubertal 47,XYY boys are remarkably similar despite different methods of following their progress and different policies of informing the parents. As with other forms of SCA there is great variability in the expression of the genotype. The most consistent findings are height over the 50th percentile, normal IQ usually a little lower than that of sibling controls, delay in speech and language development, and the need for extra help in school.
- Robinson, David O.; Jacobs, Patricia A. (November 1, 1999). "The origin of the extra Y chromosome in males with a 47,XYY karyotype" (PDF). Hum Mol Genet. 8 (12): 2205–2209. doi:10.1093/hmg/8.12.2205. PMID 10545600.
- National Organization for Rare Disorders (2003). NORD Guide to Rare Disorders. Lippincott Williams & Wilkins. p. 91. ISBN 9780781730631.
- Davis, Andrew S. (2012-12-20). Psychopathology of Childhood and Adolescence: A Neuropsychological Approach. Springer Publishing Company. p. 586. ISBN 9780826109286.
- Tjio, Joe Hin; Levan, Albert (April 1956). "The chromosome number of man". Hereditas. 42 (1): 1–6. doi:10.1111/j.1601-5223.1956.tb03010.x. hdl:10261/15776.
- Jacobs, Patricia A.; Strong, John A. (January 31, 1959). "A case of human intersexuality having a possible XXY sex-determining mechanism". Nature. 183 (4657): 302–3. Bibcode:1959Natur.183..302J. doi:10.1038/183302a0. PMID 13632697. S2CID 38349997.
- Ford, Charles E.; Jones, Kenneth W.; Polani, Paul E.; de Almeida, José Carlos Cabral; Briggs, John H. (April 4, 1959). "A sex-chromosome anomaly in a case of gonadal dysgenesis (Turner's syndrome)". Lancet. 273 (7075): 711–3. doi:10.1016/S0140-6736(59)91893-8. PMID 13642858.
- Jacobs, Patricia A.; Baikie, Albert G.; Court Brown, W. Michael; MacGregor, Thomas N.; Harnden, David G. (September 26, 1959). "Evidence for the existence of the human "super female"". Lancet. 274 (7100): 423–5. doi:10.1016/S0140-6736(59)90415-5. PMID 14406377.
- Muldal, Sylfest; Ockey, Charles H. (August 27, 1960). "The "double male": a new chromosome constitution in Klinefelter's syndrome". Lancet. 276 (7147): 492–3. doi:10.1016/S0140-6736(60)91624-X.
- Barr, Murray L.; Bertram, Ewart G. (April 30, 1949). "A morphological distinction between neurones of the male and female, and the behaviour of the nucleolar satellite during accelerated nucleoprotein synthesis". Nature. 163 (4148): 676–677. Bibcode:1949Natur.163..676B. doi:10.1038/163676a0. PMID 18120749. S2CID 4093883.
- . (June 6, 1970). "In pursuit of the Y chromosome". Nature. 226 (5249): 897. Bibcode:1970Natur.226..897.. doi:10.1038/226897a0. PMID 4192294. S2CID 4169027.CS1 maint: numeric names: authors list (link)
- . (February 6, 1971). "Dyeing the Y chromosome". Lancet. 297 (7693): 275–276. doi:10.1016/S0140-6736(71)91008-7.CS1 maint: numeric names: authors list (link)
- Sandberg, Avery A.; Koepf, George F.; Ishihara, Takaaki; Hauschka, Theodore S. (August 26, 1961). "An XYY human male". Lancet. 278 (7200): 488–489. doi:10.1016/S0140-6736(61)92459-X. PMID 13746118.
- Hauschka, Theodore S.; Hasson, John E.; Goldstein, Milton N.; Koepf, George F.; Sandberg, Avery A. (March 1962). "An XYY man with progeny indicating familial tendency to non-disjunction". Am J Hum Genet. 14 (1): 22–30. PMC 1932182. PMID 13905424.
- Court Brown, W. Michael (December 1968). "Males with an XYY sex chromosome complement". J Med Genet. 5 (4): 341–59. doi:10.1136/jmg.5.4.341. PMC 1468679. PMID 4890326.
- Jacobs, Patricia A.; Brunton, Muriel; Melville, Marie M.; Brittain, Robert P.; McClemont, William F. (December 25, 1965). "Aggressive behavior, mental sub-normality and the XYY male". Nature. 208 (5017): 1351–2. Bibcode:1965Natur.208.1351J. doi:10.1038/2081351a0. PMID 5870205. S2CID 4145850.
- Price, William H.; Strong, John A.; Whatmore, Peter B.; McClemont, William F. (March 12, 1966). "Criminal patients with XYY sex-chromosome complement". Lancet. 287 (7437): 565–6. doi:10.1016/S0140-6736(66)90760-4. PMID 4159988.
- editorial (March 12, 1966). "The YY syndrome". Lancet. 287 (7437): 583–4. doi:10.1016/S0140-6736(66)90771-9. PMID 4159658.
- Price, William H.; Whatmore, Peter B. (February 25, 1967). "Criminal behavior and the XYY male". Nature. 213 (5078): 815. Bibcode:1967Natur.213..815P. doi:10.1038/213815a0. PMID 6031815. S2CID 4158233.
- Price, William H.; Whatmore, Peter B. (March 4, 1967). "Behaviour disorders and pattern of crime among XYY males identified at a maximum security hospital". Br Med J. 1 (5539): 533–6. doi:10.1136/bmj.1.5539.533. PMC 1841401. PMID 6017153.
- Court Brown, W. Michael; Price, William H.; Jacobs, Patricia A. (May 11, 1968). "Further information on the identity of 47,XYY males". Br Med J. 2 (5601): 325–8. doi:10.1136/bmj.2.354.325-a. PMC 1985597. PMID 5689727.
- Jacobs, Patricia A.; Price, William H.; Court Brown, W. Michael; Brittain, Robert P.; Whatmore, Peter B. (May 1968). "Chromosome studies on men in a maximum security hospital". Annals of Human Genetics. 31 (4): 339–58. doi:10.1111/j.1469-1809.1968.tb00566.x. S2CID 83969793.
- Court Brown, W. Michael; Price, William H.; Jacobs, Patricia A. (November 23, 1968). "The XYY male". Br Med J. 4 (5629): 513. doi:10.1136/bmj.4.5629.513-a. S2CID 62593088.
- Jacobs, Patricia A. (September 1982). "The William Allan Memorial Award address: human population cytogenetics: the first twenty-five years". Am J Hum Genet. 34 (5): 689–98. PMC 1685430. PMID 6751075.
- Harper, Peter S. (2006). "The sex chromosomes". First years of human chromosomes : the beginnings of human cytogenetics. Bloxham: Scion. pp. 77–96. ISBN 978-1-904842-24-8.
- Green, Jeremy (1985). "Media sensationalism and science: The case of the criminal chromosome". In Shinn, Terry; Whitley, Richard (eds.). Expository science: Forms and functions of popularisation. Dordrecht, Holland: D. Reidel Pub. Co. pp. 139–161. ISBN 978-90-277-1831-0.
- Beckwith, Jonathan R. (2002). "The myth of the criminal chromosome". Making genes, making waves: A social activist in science. Cambridge, Mass.: Harvard University Press. pp. 116–134. ISBN 978-0-674-00928-8.
- Telfer, Mary A.; Baker, David; Longtin, Lucien (January 13, 1968). "YY syndrome in an American Negro". Lancet. 291 (7533): 95. doi:10.1016/S0140-6736(68)90107-4. PMID 4169701.
- Telfer, Mary A.; Baker, David; Clark, Gerald R.; Richardson, Claude E. (March 15, 1968). "Incidence of gross chromosomal errors among tall criminal American males". Science. 159 (3820): 1249–50. Bibcode:1968Sci...159.1249T. doi:10.1126/science.159.3820.1249. JSTOR 1723887. PMID 5715587. S2CID 27416349.
- Telfer, Mary A. (November–December 1968). "Are some criminals born that way?". Think. 34 (6): 24–8. ISSN 0040-6112.
Why do men commit crimes of violence? For some, the urge to violence may be inborn—traced to something called the Y chromosome...
Once in every 500 male births, for example, the sex chromosome complement is XXY rather than XY, thus erring in the direction of femaleness. The resulting individual, called a Klinefelter male, is usually retarded, unusually tall and sterile.
Erring in the other direction, however, is the XYY complement resulting in the "supermale." He is also unusually tall and somewhat retarded, but appears to be highly, perhaps too highly, sexually motivated...
We were intrigued by Dr. Jacobs' contention that an extra Y chromosome results in tall stature, mild mental retardation, and severely disordered personality characterized by violent, aggressive behavior. We therefore planned to confirm and extend her studies.
Syndrome Status for the XYY
The XXY male has long been thought to display a constellation of symptoms that makes him diagnosable; that is, he has achieved syndrome status. It would seem that the XYY male is fast achieving similar status. His symptoms, as we and other laboratories tend to think of them, are: extremely tall stature, long limbs and strikingly long arm span, facial acne, mild mental retardation, severe mental illness (including psychosis) and aggressive, antisocial behavior with a long history of arrests, frequently beginning at an early age.
On reading newspaper accounts of Richard Speck, who murdered eight Chicago student nurses in 1966, we noted all these traits and therefore concluded that Speck was a likely candidate for the XYY disorder. Independently, a cytogenetic laboratory in Chicago confirmed this hunch, reinforcing our inclination to believe that the XYY syndrome is really coming of age. It seems quite possible that in the XYY male, exemplified by Speck, biologists are describing in genetic terms a certain type of defective criminal who has long been explicitly recognized by the forensic psychiatrist. - Daniel Hugon, Paris, France
- Garrison, Lloyd (October 15, 1968). "French murder jury rejects chromosome defect as defense". The New York Times. p. 5.
- . (October 25, 1968). "Criminal law: Question of Y". Time. Vol. 92 no. 17. p. 76.CS1 maint: numeric names: authors list (link)
- Lawrence Hannell, Melbourne, Australia
- . (October 10, 1968). "Extra chromosome brings acquittal on murder charge". The New York Times. p. 94.CS1 maint: numeric names: authors list (link)
- Auerbach, Stuart (October 10, 1968). "Genetic abnormality is basis for acquittal". The Washington Post. p. A1.
- Getze, George (February 3, 1969). "Australia precedent for XYY syndrome case held dubious". Los Angeles Times. p. C1. An Australian murder case that was reported to have been decided on the basis of the so-called XYY syndrome actually was not concerned with chromosome counts at all.
- Lyons, Richard D. (April 21, 1968). "Genetic abnormality is linked to crime; Genetics linked to violent crimes". The New York Times. p. 1.
- Lyons, Richard D. (April 22, 1968). "Ultimate Speck appeal may cite a genetic defect". The New York Times. p. 43.
- Lyons, Richard D. (April 23, 1968). "Chromosome test for flaws costly; 2 scientists cite scarcity of skilled aides for analyses". The New York Times. p. 27.
- editorial (April 23, 1968). "Nature or nurture?". The New York Times. p. 46.
- . (April 23, 1968). "Geneticist: Didn't test Speck". Chicago Sun-Times. p. 8.CS1 maint: numeric names: authors list (link)
Dr. Pergament said he and Dr. Sato, a research fellow, had absolutely no connection with the Speck case and never examined Speck. The report was also denied by Speck's attorney, Public Defender Gerald W. Getty. "I never knew those doctors existed before I read about them in the paper," Getty said. Getty did say that a chromosomal test was performed on Speck, before Speck's trial, by a geneticist from outside the Chicago area. He declined to identify the geneticist, and he said the results of the test never have been disclosed. "It was agreed," he said, "that the results would not be disclosed unless I wished them disclosed. And I still don't." In any case, Getty said, the results could not be used in an appeal—since they were not part of the trial evidence. If anything, he said, they could only be used in connection with a new trial.
- . (November 26, 1968). "Getty tells Speck case plea basis; 10 issues are raised regarding trial". Chicago Tribune. p. A16.CS1 maint: numeric names: authors list (link)
At the same time he made public reports from Vanderbilt University showing no abnormal makeup of Speck's chromosomes...
Getty displayed a letter of Sept. 26, 1966, relating that photographic evidence of 18 cells from Speck's blood showed no chromosome abnormality. He also exhibited a letter of last July 3, indicating that 100 of 101 cells in a sample of Speck's blood studied after the original tests showed the normal 46 chromosomes. The other cell had 45, regarded by the Vanderbilt investigators as having no significance. - Engel, Eric (September 1972). "The making of an XYY". Am J Ment Defic. 77 (2): 123–7. PMID 5081078.—article by Vanderbilt University endocrinologist and geneticist Eric Engel, who performed two confidential chromosome analyses of Speck in September 1966 and June 1968. Based on mischaracterizations of XYY males as aggressive and violent criminals in the December 1965 and March 1966 preliminary reports by Jacobs, et al., Engel had made an unsolicited request in August 1966 to Speck's appointed defense attorney, Cook County Public Defender Gerald W. Getty, to confidentially karyotype Speck—which was repeated after false news reports in April 1968 that Speck was XYY.
- . (May 3, 1968). "Of chromosomes & crime". Time. Vol. 91 no. 18. p. 41.CS1 maint: numeric names: authors list (link)
- . (May 6, 1968). "Born bad?". Newsweek. Vol. 76 no. 19. p. 87.CS1 maint: numeric names: authors list (link)
- Stock, Robert W. (October 20, 1968). "The XYY and the criminal". The New York Times Magazine. p. SM30.
- The first XYY review article, by W. Michael Court Brown, a physician and world authority on radiation biology and cytogenetics, was published in December 1968, the month he died at age 50. Court Brown had established the MRC Clinical Effects of Radiation Unit at Western General Hospital in Edinburgh in 1956, which was renamed the MRC Clinical and Population Cytogenetics Unit in 1967 (and subsequently renamed the MRC Human Genetics Unit in 1988). In 1962, Court Brown had been the first to suggest—based on findings of antisocial behavior in some institutionalized Klinefelter syndrome (47,XXY) patients and psychosis in some institutionalized Triple X syndrome (47,XXX) patients—that individuals with sex chromosome abnormalities could be held in law to suffer from diminished responsibility.
- Court Brown, W. Michael (September 8, 1962). "Sex chromosomes and the law". Lancet. 280 (7254): 508–509. doi:10.1016/S0140-6736(62)90378-1.
- . (January 4, 1969). "William Michael Court Brown". Lancet. 293 (7584): 57–58. doi:10.1016/S0140-6736(69)91029-0. PMID 4178806.CS1 maint: numeric names: authors list (link)
- Harnden, David G. (March 1969). "W.M. Court Brown". J Med Genet. 6 (1): 107–108. doi:10.1136/jmg.6.1.107. PMC 1468708. PMID 4890463.
- Hsu, T. C. (1979). Human and mammalian cytogenetics : an historical perspective. New York: Springer-Verlag. pp. 41–42. ISBN 978-0-387-90364-4.
- "A kind word said for the XYY men; Psychiatrist cites evidence many are good citizens". The New York Times. Associated Press. May 6, 1969. p. 93.
- Clark, Gerald R.; Telfer, Mary A.; Hersch, Alexander; Rosen, Marvin (May 5, 1969). "Sex chromosomes, crime, and psychosis". Scientific Proceedings in Summary Form, 125th Annual Meeting of the American Psychiatric Association, Miami, Florida, May 5–9, 1969. 125 (11): 1659–63. doi:10.1176/ajp.126.11.1659. ISSN 0090-1873. PMID 5443650.
- Clark, Gerald R.; Telfer, Mary A.; Baker, David; Rosen, Marvin (May 1970). "Sex chromosomes, crime, and psychosis". Am J Psychiatry. 126 (11): 1659–63. doi:10.1176/ajp.126.11.1659. PMID 5443650.
- Baker, David; Telfer, Mary A.; Richardson, Claude E.; Clark, Gerald R. (November 2, 1970). "Chromosome errors in men with antisocial behavior. Comparison of selected men with Klinefelter syndrome and XYY chromosome pattern". JAMA. 214 (5): 869–78. doi:10.1001/jama.214.5.869. PMID 4248395.
- Shah, Saleem A. (1970). Report on the XYY chromosomal abnormality. Public Health Service publication No. 2103. Chevy Chase, Md.: NIMH Center for Studies of Crime and Delinquency. OCLC 235264. June 19–20, 1969 XYY conference.
- Pyeritz, Reed; Schreier, Herb; Madansky, Chuck; Miller, Larry; Beckwith, Jon (1977). "The XYY male: The making of a myth". In Ann Arbor Science for the Peopleial Collective (ed.). Biology as a social weapon. Minneapolis: Burgess Pub. Co. pp. 86–100. ISBN 978-0-8087-4534-1.
- "Gene abnormality set for Md. study". The Washington Post. Associated Press. December 27, 1969. p. B7.
- Bauer, Diane (January 22, 1970). "Maryland tests for criminal potential". The Washington Daily News. p. 7. reprinted in Katz (1972). Experimentation with human beings, pp. 342–343.
- Cohen, Richard M. (February 7, 1970). "Genetic study is opposed". The Washington Post. p. B2.
- Bauer, Diane (February 13, 1970). "XYY tests stop". The Washington Daily News. p. 5. reprinted in Katz (1972). Experimentation with human beings, pp. 343–344.
- Bauer, Diane (May 4, 1970). "Criminal-prone tests resumed". The Washington Daily News. p. 1. reprinted in Katz (1972). Experimentation with human beings, p. 344.
- . (May 18, 1970). "Congenital criminals?". Newsweek. Vol. 75 no. 20. pp. 98–99.CS1 maint: numeric names: authors list (link)
- Katz, Jay; Capron, Alexander Morgan; Glass, Eleanor Swift (1972). Experimentation with human beings; the authority of the investigator, subject, professions, and state in the human experimentation process. New York: Russell Sage Foundation. pp. 342–346. ISBN 978-0-87154-438-4.
- Borgaonkar, Diagamber S.; Shah, Saleem A. (1974). "The XYY chromosome male—or syndrome?". In Steinberg, Arthur Gerald; Bearn, Alexander G. (eds.). Progress in medical genetics. Volume 10. New York: Grune & Stratton. pp. 135–222. ISBN 978-0-8089-0841-8.
- Borgaonkar, Diagamber S. (1978). "Cytogenic screening of community-dwelling males". In Cohen, Bernice H.; Lilienfield, Abraham M.; Huang, P. C. (eds.). Genetic issues in public health and medicine. Springfield, Ill.: Charles C Thomas. pp. 215–234. ISBN 978-0-398-03659-1.
- Washington, Harriet A. (2004). "Born for evil? Stereotyping the karyotype: A case history in the genetics of aggressiveness". In Roelcke, Volker; Maio, Giovanni (eds.). Twentieth century ethics of human subjects research : historical perspectives on values, practices, and regulations. Stuttgart: Franz Steiner Verlag. pp. 319–334. ISBN 978-3-515-08455-0.
- Washington, Harriet A. (2006). "The children's crusade: research targets young African Americans". Medical apartheid : the dark history of experimentation on black Americans from colonial times to the present. New York: Doubleday. pp. 279–283. ISBN 978-0-385-50993-0.
- Blumer, Dietrich; Migeon, Claude (February 1975). "Hormone and hormonal agents in the treatment of aggression". J Nerv Ment Dis. 160 (2): 127–137. doi:10.1097/00005053-197502000-00007. PMID 123269. S2CID 25125941.
- Money, John; Wiedeking, Claus; Walker, Paul; Migeon, Claude; Meyer, Walter; Borgaonkar, Digamber (1975). "47,XYY and 46,XY males with antisocial and/or sex-offending behavior: antiandrogen therapy plus counseling". Psychoneuroendocrinology. 1 (2): 165–176. doi:10.1016/0306-4530(75)90008-6. PMID 1234655. S2CID 41068306.—two other XYY boys (age 10) were deemed too young for chemical castration.
- Wiedeking, Claus; Money, John; Walker, Paul (May 1979). "Follow-up of 11 XYY males with impulsive and/or sex-offending behaviour". Psychol Med. 9 (2): 287–292. doi:10.1017/S0033291700030786. PMID 472074.
- Robinson, Arthur; Lubs, Herbert A.; Bergsma, Daniel, eds. (1979). Sex chromosome aneuploidy: prospective studies on children. Birth defects original article series 15 (1). New York: Alan R. Liss. ISBN 978-0-8451-1024-9.
- Stewart, Donald A., ed. (1982). Children with sex chromosome aneuploidy: follow-up studies. Birth defects original article series 18 (4). New York: Alan R. Liss. ISBN 978-0-8451-1052-2.
- Ratcliffe, Shirley G.; Paul, Natalie, eds. (1986). Prospective studies on children with sex chromosome aneuploidy. Birth defects original article series 22 (3). New York: Alan R. Liss. ISBN 978-0-8451-1062-1.
- Evans, Jane A.; Hamerton, John L.; Robinson, Arthur, eds. (1991). Children and young adults with sex chromosome aneuploidy: follow-up, clinical and molecular studies. Birth defects original article series 26 (4). New York: Wiley-Liss. ISBN 978-0-471-56846-9.
- Beckwith, Jon; King, Jonathan (November 1974). "The XYY syndrome: a dangerous myth". New Scientist. 64 (923): 474–476. PMID 11664346.
- Brody, Jane E. (November 15, 1974). "Scientists' group terms Boston study of children with extra sex chromosome unethical and harmful". The New York Times. p. 93.
- Knox, Richard (November 16, 1974). "Scientists oppose survey of chromosome disorder". The Boston Globe. p. 3.
- Culliton, Barbara J. (November 22, 1974). "Patients' rights: Harvard is site of battle over X and Y chromosomes". Science. 186 (4165): 715–717. Bibcode:1974Sci...186..715C. doi:10.1126/science.186.4165.715. JSTOR 1739961. PMID 11643569.
- Brody, Jane E. (December 14, 1974). "Harvard backs genetic study; research involving young with XYY chromosome had been criticized". The New York Times. p. 20.
- Bruzelius, Nils (December 15, 1974). "Harvard Medical School panel rejects plea to end gene study". The Boston Globe. p. 8.
- Culliton, Barbara J. (December 27, 1974). "Briefing: Harvard faculty says XYY study should continue". Science. 186 (4170): 1188–1189. doi:10.1126/science.186.4170.1189-b. JSTOR 1739250. PMID 17833922.
- Beckwith, Jon; Elseviers, Dirk; Gorni, Luigi; Mandansky, Chuck; Csonka, Leslie; King, Jonathan (January 31, 1975). "Harvard XYY study". Science. 187 (4174): 298–9. Bibcode:1975Sci...187..298B. doi:10.1126/science.11643259. PMID 11643259.
- . (March 15, 1975). "Harvard vote backs child behavior study". The Boston Globe. p. 7.
The Harvard Medical School faculty voted last night 199–35, to allow continuation of studies at Children's Hospital Medical Center and at Boston Hospital for Women on children with an extra sex chromosome.
CS1 maint: numeric names: authors list (link) - Brody, Jane E. (June 20, 1975). "Babies' screening is ended in Boston; extra chromosome study stirred controversy on its ethics and value". The New York Times. p. 6.
Dr. Walzer said that when he stopped screening on the study's fifth anniversary in April,...
- Culliton, Barbara J. (June 27, 1975). "XYY: Harvard researcher under fire stops newborn screening". Science. 188 (4195): 1284–1285. Bibcode:1975Sci...188.1284C. doi:10.1126/science.11643276. JSTOR 1741001. PMID 11643276.
- Knox, Richard (July 6, 1975). "XYY battle is over, research ethic war isn't". The Boston Globe. p. A4.
In May...Walzer nevertheless decided to cut short his XYY screening by about eight months.
- Weiss, Philip (September 15, 1975). "Ending the test for extra chromosomes". The Harvard Crimson.
- Bauer, Diane; Bayer, Ronald; Beckwith, Jonathan; Bermant, Gordon; Borgaonkar, Digamber S.; Callahan, Daniel; Caplan, Arthur; Conrad, John; Culver, Charles M.; Dworkin, Gerald; Edgar, Harold; Gaylin, Willard; Gerald, Park; Harris, Clarence; King, Johnathan; Macklin, Ruth; Mazur, Allan; Michels, Robert; Mone, Carola; Petchesky, Rosalind; Powledge, Tabitha M.; Pyeritz, Reed E.; Robinson, Arthur; Scanlon, Thomas; Shah, Saleem A.; Shannon, Thomas A.; Steinfels, Margaret; Swazey, Judith P.; Wachtel, Paul; Walzer, Stanley (August 1980). "The XYY controversy: researching violence and genetics". Hastings Cent Rep. 10 (4): Suppl 1–32. doi:10.2307/3560454. JSTOR 3560454. PMID 7399889.
Stanley Walzer: On the issue of informed consent prior to newborn chromosome screening, Science for the People proved correct. They had predicted that the amount of information that had to be shared prior to screening was so extensive and complex that true informed consent was impossible to obtain at that point.
Arthur Robinson: When we stopped in 1974, we had done 40,000 analyses. From an epidemiological point of view, I would have preferred to have done 80,000... Why did we stop? Well, in the first place there was the informed consent problem. When we started in 1964 feelings about informed consent were very different. Try to imagine how one would go about getting truly informed consent from 40,000 people. With the implications of what we would find, in a sex chromosome variation, it would be an almost impossible task. That's one reason why we stopped.
- Sapietis, Una; Butler, Gary (21 July 2014). "Obituary: Shirley Ratcliffe". BMJ. 349: g4716. doi:10.1136/bmj.g4716. S2CID 220108224.
- "Archive record: Dr Shirley Ratcliffe and the Edinburgh MRC Clinical and Population Cytogenetics Unit Study of Long Term Outcomes for Children Born with Sex Chromosome Abnormalities". Wellcome Library Western Manuscripts and Archives catalogue. Retrieved 27 February 2018.
- Zech, Lore (December 1969). "Investigation of metaphase chromosomes with DNA-binding flurochromes". Exp Cell Res. 58 (2–3): 463. doi:10.1016/0014-4827(69)90531-X.
- Pearson, Peter L.; Bobrow, Martin; Vosa, Canio G. (April 4, 1970). "Technique for identifying Y chromosomes in human interphase nuclei". Nature. 226 (5240): 78–80. Bibcode:1970Natur.226...78P. doi:10.1038/226078a0. PMID 4190810. S2CID 4013867.
- Knox, Richard (August 14, 1970). "Test may lead to choice in baby's sex". The Boston Globe. p. 26.
- Royce, Kenneth (June 1, 1970). The XYY Man. London: Hodder & Stoughton. ISBN 978-0-340-10694-5.
- Kneeland, Harold (December 8, 1970). "Books: Antiheroes and villains". The Washington Post. p. B6.
The genetic fable is The XYY Man by Kenneth Royce (David McKay, $4.95). It leans so lightly on the theory that an extra Y chromosome produces a criminal that the reader can forget the biology and enjoy the fast footwork. Royce has simply manufactured a super cat burglar who is euchered into working for MI6. This tall (that chromosome), intelligent (that chromosome again), functionally nonviolent (that chromosome still again) fellow plays the damndest game with British internal security that ever filled a dossier...
- Kneeland, Harold (December 8, 1970). "Books: Antiheroes and villains". The Washington Post. p. B6.
- Fulton, Roger; Betancourt, John (1998). "Doomwatch". The Sci-Fi Channel encyclopedia of TV science fiction. New York: Aspect. p. 170. ISBN 978-0-446-67478-2. By the Pricking of My Thumbs ... written by Robin Chapman. Sixteen-year-old Stephen Franklin is expelled from school because, his father says, he has an obscure genetic defect—an extra "Y" chromosome.
- Roush, Matt (November 17, 1993). "Critic's corner". USA Today. p. 12D. One of TV's most consistently rewarding series takes a grim and unforgettable detour into the bleak mindset of a teen-age sociopathic murderer. Is society to blame, or as his lawyer argues, is he genetically predisposed to violence, with an extra "Y" chromosome? … the boy's hopeless future seems all too evident.
- Hochman, David (May 7–13, 2007). "Horatio hunts a natural-born killer". TV Guide. 55 (19): 34–36. There's nothing funny about the season finale. That episode is about a serial killer with "criminal" genes. "It's a real-life natural-born killer situation", executive producer Ann Donahue says. "Usually girls have XX chromosomes and boys have XY, but this killer is XYY, which means too much testosterone." Among other niceties, the killer who has ties to Boston… brands his female victims with the letter Y.
-
Kovach, Bill (April 11, 1970). "Final approval of abortion bill voted in Albany; Rockefeller to sign it over weekend despite appeal by Cooke for veto". The New York Times. p. 1.
- Kihss, Peter (July 2, 1970). "Abortions begun in state under liberal new law; Scores get abortions under new law". The New York Times. p. 1.
-
Sullivan, Walter (December 29, 1970). "Growth to slow down, association head says". The New York Times. p. 14.
- Glass, Bentley (January 8, 1971). "Science: endless horizons or golden age?". Science. 171 (3966): 23–29. Bibcode:1971Sci...171...23G. doi:10.1126/science.171.3966.23. JSTOR 1731074. PMID 17737984.
- Glass, Bentley (April 9, 1971). "Reply to: Less than golden future". Science. 172 (3979): 111–112. doi:10.1126/science.172.3979.111-c. JSTOR 1730891. PMID 17735208.
- Glass, Bentley (July 9, 1971). "Reply to: What price the perfect baby?". Science. 173 (3992): 103–104. doi:10.1126/science.173.3992.103-c. JSTOR 1732191. PMID 5104145.
- Otto, James Howard; Towle, Albert (1973). Modern biology. New York: Holt, Rinehart and Winston. p. 185. ISBN 978-0-03-091337-2.
Another abnormal condition results when a normal X-bearing egg is fertilized by a YY sperm, formed by non-disjunction during spermatogenesis. This produces an XYY male who is usually over six feet in height and very aggressive.
- Freedman, Alfred M.; Kaplan, Harold I.; Sadock, Benjamin J. (1972). Modern Synopsis of Comprehensive Textbook of Psychiatry (1st ed.). Baltimore: Williams & Wilkins. p. 711. OCLC 1232929.
Figure 43.2
- Sadock, Benjamin James; Sadock, Virginia Alcott (2007). Kaplan and Sadock's Synopsis of Psychiatry : Behavioral Sciences/Clinical Psychiatry (10th ed.). Philadelphia: Lippincott Williams & Wilkins. p. 154. ISBN 978-0-7817-7327-0.
A famous case of an "XYY" insanity defense is illustrated in Figure 4.4–1. Figure 4.4–1 Richard Speck. He was convicted in 1966 of slaying eight nurses in Chicago by stabbing and strangulation. His legal defense was based on his genetic makeup, which was "XYY". Individuals with these genes have been reported to be tall, mentally retarded, have acne, and show aggressive behavior... (Courtesy of Wide World Photos.)
- Sadock, Benjamin James; Sadock, Virginia Alcott (2007). Kaplan and Sadock's Synopsis of Psychiatry : Behavioral Sciences/Clinical Psychiatry (10th ed.). Philadelphia: Lippincott Williams & Wilkins. p. 154. ISBN 978-0-7817-7327-0.
- Witkin, Herman A.; Mednick, Sarnoff A.; Schulsinger, Fini; Bakkestrøm, Eskild; Christiansen, Karl O.; Goodenough, Donald R.; Hirschhorn, Kurt; Lundsteen, Claes; Owen, David R.; Philip, John; Rubin, Donald B.; Stocking, Martha (August 13, 1976). "Criminality in XYY and XXY men". Science. 193 (4253): 547–555. Bibcode:1976Sci...193..547W. doi:10.1126/science.959813. JSTOR 1742747. PMID 959813.
- Knox, Richard (August 11, 1976). "Males with extra chromosomes not violence-prone, Danish study shows". The Boston Globe. p. 5.
- . (August 14, 1976). "XYY: No link to aggressive crime". Sci News. Vol. 110 no. 7. p. 103. JSTOR 3961261.CS1 maint: numeric names: authors list (link)
- . (August 30, 1976). "Medicine: Capsules". Time. Vol. 108 no. 9. p. 58.CS1 maint: numeric names: authors list (link)
- Brody, Jane E. (September 12, 1976). "A chromosome link to crime is doubted; Study in Denmark finds no data to back view that 'XYY' men are inclined to be violent". The New York Times. p. 18.
- The five March of Dimes international conferences and four books also included reports on the findings of longitudinal prospective studies in London, Ontario and Tokyo on the development of children and with sex chromosome abnormalities identified in part by newborn screening programs.
- The last active longitudinal prospective study ended in 2000 with the end of the 36-year Denver study following the death of pediatrician and geneticist Arthur Robinson.
- Robinson, Arthur; Linden, Mary G.; Bender, Bruce G. (1998). "Prenatal diagnosis of sex chromosome abnormalities". In Milunsky, Aubrey (ed.). Genetic disorders and the fetus : diagnosis, prevention and treatment (4th ed.). Baltimore: Johns Hopkins University Press. pp. 249–285. ISBN 978-0-8018-5801-7.
- Bender, Bruce G.; Linden, Mary G.; Harmon, Robert J. (May–June 2001). "Life adaptation in 35 adults with sex chromosome abnormalities". Genet Med. 3 (3): 187–191. doi:10.1097/00125817-200105000-00007. PMID 11388759.
- Rao, Ercole; Weiss, Birgit; Fukami, Maki; Rump, Andreas; Niesler, Beate; Mertz, Annelyse; Muroya, Koji; Binder, Gerhard; Kirsch, Stefan; Winkelmann, Martina; Nordsiek, Gabriele; Heinrich, Udo; Breuning, Martijn H.; Ranke, Michael B.; Rosenthal, André; Ogata, Tsutomu; Rappold, Gudrun A. (May 1997). "Pseudoautosomal deletions encompassing a novel homeobox gene cause growth failure in idiopathic short stature and Turner syndrome". Nat Genet. 16 (1): 54–63. doi:10.1038/ng0597-54. PMID 9140395. S2CID 26248561.
- Götz, Michael J.; Johnstone, Eve C.; Ratcliffe, Shirley G. (July 1999). "Criminality and antisocial behaviour in unselected men with sex chromosome abnormalities". Psychol Med. 29 (4): 953–962. doi:10.1017/S0033291799008594. PMID 10473322.
- Robinson, Arthur (April 1990). "Living history: an autobiography of Arthur Robinson". Am J Med Genet. 35 (4): 475–480. doi:10.1002/ajmg.1320350406. PMID 2185631.
- Linden, Mary G.; Bender, Bruce G. (June 1, 2002). "Fifty-one prenatally diagnosed children and adolescents with sex chromosome abnormalities". Am J Med Genet. 110 (1): 11–18. doi:10.1002/ajmg.10394. PMID 12116265.
External links
| Classification | |
|---|---|
| External resources |
|
- Nielsen, Johannes (1998). XYY males. An orientation.
