Anaplasmosis
Anaplasmosis is a disease caused by a rickettsial parasite of ruminants, Anaplasma spp and is therefore related to rickettsial disease.[1] The microorganisms are Gram-negative,[2] and infect red blood cells.[3] They are transmitted by natural means through a number of haematophagous species of ticks. The Ixodes tick that commonly transmits Lyme disease also spreads anaplasmosis.
| Anaplasmosis | |
|---|---|
![]() | |
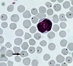
| Anaplasma centrale infecting the red blood cells of a cow: The arrow points to typical infected cell. | |
| Specialty | Veterinary medicine |
Transmission
Anaplasmosis is classified as a tick-borne disease. It can be contracted from tick bites which contain Anaplasma phagocytophilum. The most common tick that carries the bacterium is Ixodes scapularis, also known as the black-legged tick or the deer tick.[4][5]
Anaplasmosis can also be contracted from blood transfusions, as well as using surgical, dehorning, castration, and tattoo instruments and hypodermic needles that are not disinfected between uses.[4]
Signs and symptoms
Classic signs and symptoms of anaplasmosis include fever, a decreased number of white blood cells, platelets in the bloodstream, and abnormally elevated levels of liver enzymes. The erythema chronicum migrans rash may be seen with anaplasmosis as it is co-transmitted in 10% of Lyme disease cases.
Anemia may be severe and result in cardiovascular changes such as an increase in heart rate. Blood in the urine may occur due to the lysis of red blood cells. General systemic signs such as diarrhea, anorexia, and weight loss may also be present.
Causes
Several species of rickettsial bacteria cause anaplasmosis in ruminants:
Prevention
Vaccines against anaplasmosis are available. Carrier animals should be eliminated from flocks. Tick control may also be useful, although it can be difficult to implement.[7]
Treatment
The most effective courses of treatment are doxycycline (a normal dose would be 100 mg every 12 hours for adults), rifampin and levofloxacin. After treatment most animals become resistant to the disease.[8] Oxytetracycline and imidocarb have also been shown to be effective. Supportive therapy such as blood products and fluids may be necessary.[7]
Epidemiology
In the United States, anaplasmosis is notably present in the south and west, where the tick hosts Ixodes spp. are found. It is also a seemingly increasing antibody in humans in Europe.[2] Although vaccines have been developed, none are currently available in the United States. Early in the 20th century, this disease was considered one of major economic consequence in the western United States. In the 1980s and 1990s, control of ticks through new acaricides and practical treatment with prolonged-action antibiotics, notably tetracycline, has led to the point where the disease is no longer considered a major problem. The disease affects immunoglobulin G, therefore G-specific antibody levels can be used to diagnose the disease.[9]
In 2005, A. ovis was found in reindeer populations in Mongolia.[10] This pathogen and its associated syndrome (characterized by lethargy, fever, and pale mucous membranes) was previously observed in only wild sheep and goats in the region, and is the first observed event of A. ovis in reindeer.
In Australia, bovine anaplasmosis, caused by A. marginale, is found in only the northern and eastern parts of Australia where the cattle tick is present. It was probably introduced as early as 1829 by cattle from Indonesia infested with the cattle tick Boophilus microplus.[11]
The veterinarian George P. Broussard of New Iberia, Louisiana, conducted important research on anaplasmosis and brucellosis.[12]
References
- "Ehrlichiosis and Anaplasmosis - Infectious Diseases". Merck Manuals Professional Edition. Retrieved 2019-04-02.
- Hartelt, Kathrin; Oehme, Rainer; Frank, Henning; Brockmann, Stefan O.; Hassler, Dieter; Kimmig, Peter (2004-04-01). "Pathogens and symbionts in ticks: prevalence of Anaplasma phagocytophilum (Ehrlichia sp.), Wolbachia sp., Rickettsia sp., and Babesia sp. in Southern Germany". International Journal of Medical Microbiology Supplements. Proceedings of the VII International Potsdam Symposium on Tick-Borne Diseases. 293, Supplement 37: 86–92. doi:10.1016/S1433-1128(04)80013-5.
- Capucille, DJ (2011). "Anaplasmosis". In Haskell, SRR (ed.). Blackwell's Five-Minute Veterinary Consult Ruminant. Hoboken: John Wiley & Sons. pp. 50–51. ISBN 9780470961186.
- "Transmission | Anaplasmosis | CDC". www.cdc.gov. 2019-01-11. Retrieved 2019-04-02.
- "Anaplasmosis | ALDF". www.aldf.com. Retrieved 2019-04-02.
- Boes, KM; Durham, AC (2017). "Anaplasmosis, Ehrlichiosis, Heartwater and Tick-Borne Fever". In Zachary, JF (ed.). Pathologic Basis of Veterinary Disease (6th ed.). Elsevier Health Sciences. pp. 749–50. ISBN 9780323357975.
- Anaplasmosis reviewed and published by WikiVet, accessed 10 October 2011.
- "CVBD - Treatment". www.cvbd.org. Retrieved 2019-04-02.
- Srivastava, Siddhartha; Evans, Gerald; Guan, T. Hugh; Edginton, Stefan (2018-03-26). "Human granulocytic anaplasmosis acquired from a blacklegged tick in Ontario". CMAJ. 190 (12): E363–E366. doi:10.1503/cmaj.171243. ISSN 0820-3946. PMC 5871440. PMID 29581163.
- Haigh, Jerry C.; Gerwing, Victoria; Erdenebaatar, Janchivdorj; Hill, Janet E. (July 2008). "A novel clinical syndrome and detection of A. ovis in Mongolian reindeer (Rangifer tarandus)". Journal of Wildlife Diseases. 44 (3): 569–577. doi:10.7589/0090-3558-44.3.569. PMID 18689641.

- "Bovine anaplasmosis". Tick fever. Department of Agriculture, Fisheries and Forestry, Queensland Government. Retrieved 14 June 2012.
- "George Patout Broussard", A Dictionary of Louisiana Biography, Vol. 1 (1988), Louisiana Historical Association publication, p. 114.
