Human monocytotropic ehrlichiosis
Human monocytotropic ehrlichiosis[1] is a form of ehrlichiosis associated with Ehrlichia chaffeensis.[2] This bacterium is an obligate intracellular pathogen affecting monocytes and macrophages.
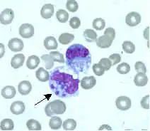
| Human monocytic ehrlichiosis | |
|---|---|
![]() | |
| Ehrlichia chaffeensis | |
| Specialty | Infectious disease |
Symptom and signs
The most common symptoms are fever, headache, malaise, and muscle aches (myalgia). Compared to human granulocytic anaplasmosis, rash is more common.[3] Laboratory abnormalities include thrombocytopenia, leukopenia, and elevated liver tests.
The severity of the illness can range from minor or asymptomatic to life-threatening. CNS involvement may occur. A serious septic or toxic shock-like picture can also develop, especially in patients with impaired immunity.[4]
Cause
This disease is known to be caused by tick bites.[5]
Diagnosis
Tick exposure is often overlooked. For patients living in high-prevalence areas who spend time outdoors, a high degree of clinical suspicion should be employed. Ehrlichia serologies can be negative in the acute period. Polymerase chain reaction is therefore the laboratory diagnostic tool of choice.[6]
Treatment
If ehrlichiosis is suspected, treatment should not be delayed while waiting for a definitive laboratory confirmation, as prompt doxycycline therapy has been associated with improved outcomes.[7] Doxycycline is the treatment of choice.
Presentation during early pregnancy can complicate treatment.[8] Rifampin has been used in pregnancy and in patients allergic to doxycycline.[9]
Epidemiology
In the US, human monocytotropic ehrlichiosis occurs across the south-central, southeastern, and mid-Atlantic states, regions where both the white-tailed deer (Odocoileus virginianus) and Lone Star ticks (Amblyomma americanum) thrive.
Human monocytotropic ehrlichiosis occurs in California in Ixodes pacificus ticks and in Dermacentor variabilis ticks.[10] Nearly 600 cases were reported to the CDC in 2006. In 2001–2002, the incidence was highest in Missouri, Tennessee, and Oklahoma, as well as in people older than 60.[11]
References
- Rapini, Ronald P.; Bolognia, Jean L.; Jorizzo, Joseph L. (2007). Dermatology. Mosby. pp. 1130. ISBN 978-1-4160-2999-1.
- Schutze GE, Buckingham SC, Marshall GS, et al. (June 2007). "Human monocytic ehrlichiosis in children". Pediatr. Infect. Dis. J. 26 (6): 475–9. doi:10.1097/INF.0b013e318042b66c. PMID 17529862. S2CID 1191660.
- Dumler JS, Choi KS, Garcia-Garcia JC, et al. (December 2005). "Human granulocytic anaplasmosis and Anaplasma phagocytophilum". Emerging Infectious Diseases. 11 (12): 1828–34. doi:10.3201/eid1112.050898. PMC 3367650. PMID 16485466.
- Paddock CD, Folk SM, Shore GM, et al. (November 2001). "Infections with Ehrlichia chaffeensis and Ehrlichia ewingii in persons coinfected with human immunodeficiency virus". Clinical Infectious Diseases. 33 (9): 1586–94. doi:10.1086/323981. PMID 11568857.
- "Ehrlichiosis – Transmission". United States Center for Disease Control. Retrieved November 23, 2020.
- Prince LK, Shah AA, Martinez LJ, Moran KA (August 2007). "Ehrlichiosis: making the diagnosis in the acute setting". Southern Medical Journal. 100 (8): 825–8. doi:10.1097/smj.0b013e31804aa1ad. PMID 17713310. S2CID 31487400.
- Hamburg BJ, Storch GA, Micek ST, Kollef MH (March 2008). "The importance of early treatment with doxycycline in human ehrlichiosis". Medicine. 87 (2): 53–60. doi:10.1097/MD.0b013e318168da1d. PMID 18344803. S2CID 2632346.
- Muffly T, McCormick TC, Cook C, Wall J (2008). "Human granulocytic ehrlichiosis complicating early pregnancy". Infect Dis Obstet Gynecol. 2008: 1–3. doi:10.1155/2008/359172. PMC 2396214. PMID 18509484.
- Krause PJ, Corrow CL, Bakken JS (September 2003). "Successful treatment of human granulocytic ehrlichiosis in children using rifampin". Pediatrics. 112 (3 Pt 1): e252–3. doi:10.1542/peds.112.3.e252. PMID 12949322.
- Holden K, Boothby JT, Anand S, Massung RF (July 2003). "Detection of Borrelia burgdorferi, Ehrlichia chaffeensis, and Anaplasma phagocytophilum in ticks (Acari: Ixodidae) from a coastal region of California". J. Med. Entomol. 40 (4): 534–9. doi:10.1603/0022-2585-40.4.534. PMID 14680123.
- "Statistics and Epidemiology: Annual Cases of Ehrlichiosis in the United States". Ehrlichiosis. Division of Vector-Borne Diseases (DVBD), National Center for Emerging and Zoonotic Infectious Diseases (NCEZID), Centers for Disease Control and Prevention. 5 September 2013.
External links
| Classification | |
|---|---|
| External resources |
