Chilaiditi syndrome
Chilaiditi syndrome is a rare condition when pain occurs due to transposition of a loop of large intestine (usually transverse colon) in between the diaphragm and the liver, visible on plain abdominal X-ray or chest X-ray.[1]
| Chilaiditi syndrome | |
|---|---|
| Other names | Chilaiditi's sign |
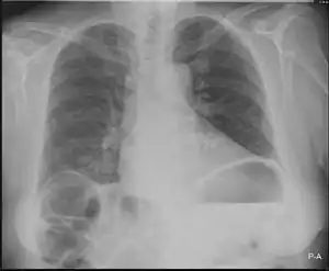
![]() | |
| Chest X-ray showing obvious Chilaiditi's sign, or presence of gas in the right colic angle between the liver and right hemidiaphragm. | |
| Specialty | General surgery |
| Symptoms | Abdominal pain, dyspnea or asymptomatic |
| Differential diagnosis | Pneumoperitoneum |
| Frequency | 0.1% of adults |

Normally this causes no symptoms, and this is called Chilaiditi's sign. The sign can be permanently present, or sporadically. This anatomical variant is sometimes mistaken for the more serious condition of having air under the diaphragm (pneumoperitoneum) which is usually an indication of bowel perforation, possibly leading to surgical interventions.
Chilaiditi syndrome refers only to complications in the presence of Chilaiditi's sign. These include abdominal pain,[2] torsion of the bowel (transverse colon volvulus)[3] or shortness of breath.[4]
Causes
The exact cause is not always known, but it may occur in patients with a long and mobile colon (dolichocolon), chronic lung disease such as emphysema, or liver problems such as cirrhosis and ascites. Chilaiditi's sign is generally not associated with symptoms, and is most commonly an incidental finding in normal individuals.
Absence or laxity of the ligament suspending the transverse colon or of the falciform ligament are also thought to contribute to the condition. It can also be associated with relative atrophy of the medial segment of the left lobe of the liver. In this case, the gallbladder position is often anomalous as well – it is often located anterior to the liver, rather than posterior.
Epidemiology
The occurrence (incidence) on abdominal or chest X-rays is around 0.1% but it can be up to 1% in series of older adults.[5] It has also been reported in children.[4]
History
Chilaiditi's sign is named after the Greek radiologist Dimítrios Chilaiditi, born in 1883, who first described it when he was working in Vienna in 1910.[6][7]
Synonyms
Synonyms include interpositio hepatodiaphragmatica, subphrenic displacement of the colon, subphrenic interposition syndrome and pseudopneumoperitoneum.
References
- Saber AA, Boros MJ (March 2005). "Chilaiditi's syndrome: what should every surgeon know?". Am Surg. 71 (3): 261–3. PMID 15869145.
- Glatter RD, April RS, Miskovitz P, Neistadt LD (2007). "Severe Recurrent Abdominal Pain: An Anatomical Variant of Chilaiditi's Syndrome". MedGenMed. 9 (2): 67. PMC 1994890. PMID 17955121.
- Plorde JJ, Raker EJ (December 1996). "Transverse colon volvulus and associated Chilaiditi's syndrome: case report and literature review". Am. J. Gastroenterol. 91 (12): 2613–6. PMID 8946999.
- Keles S, Artac H, Reisli I, Alp H, Koc O (June 2006). "Chilaiditi syndrome as a cause of respiratory distress". Eur. J. Pediatr. 165 (6): 367–9. doi:10.1007/s00431-005-0077-9. PMID 16489467.
- Walsh SD, Cruikshank JG (February 1977). "Chilaiditi syndrome". Age Ageing. 6 (1): 51–7. doi:10.1093/ageing/6.1.51. PMID 842405.
- D. Chilaiditi: Zur Frage der Hepatoptose und Ptose im allgemeinen im Anschluss an drei Fälle von temporärer, partieller Leberverlagerung. Fortschritte auf dem Gebiete der Röntgenstrahlen, 1910, 16: 173-208.
- synd/2326 at Who Named It?
External links
| Classification |
|
|---|
