Medullary breast carcinoma
Medullary breast carcinoma is a rare type of breast cancer[1] that often can be treated successfully. It is relatively circumscribed.[2]
| Medullary carcinoma of the breast | |
|---|---|
![]() | |
| Specialty | Oncology, pathology |
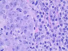
It involves infiltration by lymphocyte[3] (a type of white blood cell) in and around the tumor that can be seen when viewed under a microscope.
This is the only breast cancer associated with a loss of function mutation in BRCA1, and thus the only form associated with a hereditary mutation. It is typically triple-negative and exhibits upregulation of p53.
This is one of five types of epithelial breast cancer: ductal, lobular, medullary, colloid, and tubular.
DCIS is less commonly present, and medullary breast cancer tends to have a pushing, rather than infiltrative, border. The tumour presents as a soft, fleshy mass with a pushing border. Tumours commonly possess mutations of E-cadherin, which results in its overexpression. Strengthened adhesions between tumour cells reduce the frequency of metastasis.

References
- Tominaga J, Hama H, Kimura N, Takahashi S (March 2008). "MR imaging of medullary carcinoma of the breast". Eur J Radiol. 70 (3): 525–9. doi:10.1016/j.ejrad.2008.01.044. PMID 18353587.
- Bacus SS, Zelnick CR, Chin DM, et al. (December 1994). "Medullary carcinoma is associated with expression of intercellular adhesion molecule-1. Implication to its morphology and its clinical behavior". Am. J. Pathol. 145 (6): 1337–48. PMC 1887499. PMID 7992839.
- Kuroda H, Tamaru J, Sakamoto G, Ohnisi K, Itoyama S (January 2005). "Immunophenotype of lymphocytic infiltration in medullary carcinoma of the breast". Virchows Arch. 446 (1): 10–4. doi:10.1007/s00428-004-1143-9. PMID 15660281.
- Netra SM, Vani BR, Murthy VS (2018). "Cytomorphological Study of Medullary Carcinoma of Breast in Comparison to Infiltrating Ductal Carcinoma". J Cytol. 35 (4): 195–198. doi:10.4103/JOC.JOC_160_17. PMC 6210819. PMID 30498288.CS1 maint: multiple names: authors list (link)
External links
- Medullary breast carcinoma entry in the public domain NCI Dictionary of Cancer Terms
This article incorporates public domain material from the U.S. National Cancer Institute document: "Dictionary of Cancer Terms".
| Classification |
|---|
_(14756739992).jpg.webp)