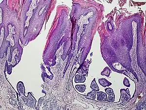
Syringocystadenoma papilliferum
Syringocystadenoma papilliferum is a benign apocrine tumor.[1]
| Syringocystadenoma papilliferum | |
|---|---|
| Other names | Syringadenoma papilliferum |
![]() | |
| Specialty | Dermatology |
It can arise with nevus sebaceus.[2]
Additional images

An example of a syringocystadenoma papilliferum
See also
References
- James, William; Berger, Timothy; Elston, Dirk (2005). Andrews' Diseases of the Skin: Clinical Dermatology. (10th ed.). Saunders. ISBN 0-7216-2921-0.
- Monticciolo NL, Schmidt JD, Morgan MB (2002). "Verrucous carcinoma arising within syringocystadenoma papilliferum". Ann. Clin. Lab. Sci. 32 (4): 434–7. PMID 12458900.
This article is issued from Wikipedia. The text is licensed under Creative Commons - Attribution - Sharealike. Additional terms may apply for the media files.
