Trichilemmoma
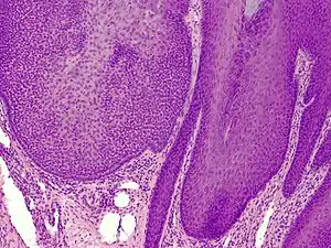
Trichilemmoma (also known as "tricholemmoma"[1]) is a benign cutaneous neoplasm that shows differentiation toward cells of the outer root sheath.[2]:673[3] The lesion is often seen in the face and neck region. Multifocal occurrence is associated with Cowden syndrome, in which hamartomatous intestinal polyposis is seen in conjunction with multiple tricholemmoma lesions.
| Trichilemmoma | |
|---|---|
![]() | |
| Specialty | Oncology, dermatology |
Additional images

A trichilemmoma on a forehead
See also
References
- Busam Klaus J., Dermatopathology s.386; 2010 Saunders ISBN 978-0-443-06654-2
- James, William D.; Berger, Timothy G.; et al. (2006). Andrews' Diseases of the Skin: Clinical Dermatology. Saunders Elsevier. ISBN 0-7216-2921-0.
- Rapini, Ronald P.; Bolognia, Jean L.; Jorizzo, Joseph L. (2007). Dermatology: 2-Volume Set. St. Louis: Mosby. pp. 1699–1700. ISBN 1-4160-2999-0.
This article is issued from Wikipedia. The text is licensed under Creative Commons - Attribution - Sharealike. Additional terms may apply for the media files.
