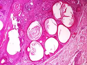
Trichoadenoma
A trichoadenoma is a cutaneous condition characterized by a solitary, rapidly growing skin lesion ranging from 3 to 15mm in diameter.[2]:675
| Trichoadenoma | |
|---|---|
| Other names | Trichoadenoma of Nikolowski[1] |
![]() | |
| Specialty | Oncology, dermatology |
References
- Rapini, Ronald P.; Bolognia, Jean L.; Jorizzo, Joseph L. (2007). Dermatology: 2-Volume Set. St. Louis: Mosby. p. 1701. ISBN 1-4160-2999-0.
- James, William D.; Berger, Timothy G.; et al. (2006). Andrews' Diseases of the Skin: Clinical Dermatology. Saunders Elsevier. ISBN 0-7216-2921-0.
This article is issued from Wikipedia. The text is licensed under Creative Commons - Attribution - Sharealike. Additional terms may apply for the media files.
