Ceruminous adenoma
A ceruminous adenoma is a benign glandular neoplasm which arises from the ceruminous glands located within the external auditory canal. These glands are found within the outer one third to one half of the external auditory canal, more common along the posterior surface; therefore, the tumor develops within a very specific location.[2][3][4]
| Ceruminous adenoma | |
|---|---|
| Other names | Adenoma of the ceruminous gland and ceruminoma[1] |
Signs and symptoms
Ceruminous adenoma are rare tumors, accounting for less than 1% of all external ear tumors. The patients will present with a mass, perhaps associated pain, and may have changes in hearing (usually a sensorineural or a conductive hearing loss). Some patients have tinnitus. Nerve paralysis is very uncommon.[2]
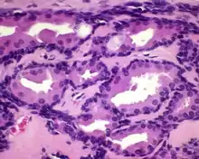
Pathology findings

The tumors are usually small, with a mean size of about 1.2 cm.[2] The tumors are separated into three histologic types based on the dominant findings:
- Ceruminous adenoma[2]
- Ceruminous pleomorphic adenoma[2][5]
- Ceruminous syringocystadenoma papilliferum[2]
All of the tumors are unencapsulated, but are usually well defined or circumscribed. The overlying surface epithelium is not involved. The tumor shows a dual or biphasic appearance, with glandular or cystic spaces showing inner luminal secretory cells with abundant granular, eosinophilic cytoplasm subtended by basal, myoepithelial cells at the periphery, adjacent to the basement membrane. The luminal cells will often have decapitation (apocrine) secretions and will also have yellow-brown, ceroid, lipofuscin-like (cerumen) pigment granules. There is no pleomorphic, limited mitoses, and no necrosis.[2]
Immunohistochemistry can be performed to confirm the biphasic nature of the tumor. All cells are positive with pancytokeratin and epithelial membrane antigen; only the luminal cells are positive with CK7; only the basal cells are positive with CK5/6, p63, S100 protein. CD117 can be positive in either population. The cells are negative with chromogranin, synaptophysin and CK20.[2]
Diagnosis
The major diagnosis from which to separate ceruminous adenoma is ceruminous adenocarcinoma, which shows an infiltrative growth, pleomorphism, mitoses, necrosis, and lacks ceroid pigment granules.[6] Other tumors which need to be excluded include a neuroendocrine adenoma of the middle ear (middle ear adenoma),[7] paraganglioma, and endolymphatic sac tumor.[2][8]
Management
The tumors are usually removed in small pieces due to the anatomic confines of the area.[2]
Prognosis
Patients treated with complete surgical excision can expect an excellent long term outcome without any problems. Recurrences may be seen in tumors which are incompletely excised.[2]
Epidemiology
While there is a wide age range at clinical presentation (12–85 years), most patients come to clinical attention at 55 years (mean). There is no gender difference.[2]
References
- Mills RG, Douglas-Jones T, Williams RG (Mar 1995). "'Ceruminoma'--a defunct diagnosis". J Laryngol Otol. 109 (3): 180–8. doi:10.1017/s0022215100129652. PMID 7745330.
- Thompson LD, Nelson BL, Barnes EL (Mar 2004). "Ceruminous adenomas: a clinicopathologic study of 41 cases with a review of the literature". Am J Surg Pathol. 28 (3): 308–18. doi:10.1097/00000478-200403000-00003. PMID 15104293. S2CID 27571673.
- Durko T, Danilewicz M, Pajor A (2003). "[Glandular neoplasms of the external auditory canal--clinical and morphologic observations]". Otolaryngol Pol. 57 (1): 51–7. PMID 12741144.
- Hicks GW (Mar 1983). "Tumors arising from the glandular structures of the external auditory canal". Laryngoscope. 93 (3): 326–40. doi:10.1288/00005537-198303000-00016. PMID 6300574. S2CID 31253554.
- Markou K, Karasmanis I, Vlachtsis K, Petridis D, Nikolaou A, Vital V (March–April 2008). "Primary pleomorphic adenoma of the external ear canal. Report of a case and literature review". Am J Otolaryngol. 29 (2): 142–6. doi:10.1016/j.amjoto.2007.04.005. PMID 18314029.
- Crain N, Nelson BL, Barnes EL, Thompson LD (Mar 2009). "Ceruminous gland carcinomas: a clinicopathologic and immunophenotypic study of 17 cases". Head Neck Pathol. 3 (1): 1–17. doi:10.1007/s12105-008-0095-9. PMC 2807538. PMID 20596983.
- Torske KR, Thompson LD (May 2002). "Adenoma versus carcinoid tumor of the middle ear: a study of 48 cases and review of the literature". Mod Pathol. 15 (5): 543–55. doi:10.1038/modpathol.3880561. PMID 12011260.
- Lassaletta L, Patrón M, Olóriz J, Pérez R, Gavilán J (Aug 2003). "Avoiding misdiagnosis in ceruminous gland tumours". Auris Nasus Larynx. 30 (3): 287–90. doi:10.1016/S0385-8146(03)00055-5. PMID 12927294.
Further reading
Lester D. R. Thompson; Bruce M. Wenig (2011). Diagnostic Pathology: Head and Neck: Published by Amirsys. Hagerstown, MD: Lippincott Williams & Wilkins. pp. 7:42–45. ISBN 978-1-931884-61-7.