Trichoblastoma
Trichoblastomas are a cutaneous condition characterized by benign neoplasms of follicular germinative cells.[1]:673 Trichoblastic fibroma is a designation used to characterize small nodular trichoblastomas with conspicuous fibrocytic stroma, sometimes constituting over 50% of the lesion.[2]

| Trichoblastoma | |
|---|---|
![]() | |
| Specialty | Oncology, dermatology |
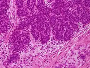
Image at left shows a trichoblastoma from a 68-year-old Caucasian male. It shows a pseudo-encapsulated, multinodular, basaloid tumor with fibrocellular stroma spanning the reticular dermis extending into subcutaneous fat (A). No epidermal connection or retraction artifact was noted. Tumor lobules were arranged as monomorphous basaloid cells in a cribriform pattern with peripheral palisading some resembling abortive hair follicles (B, F). Focally, tumor lobules exhibited squamous eddies, papillary mesenchymal bodies, and a germinative component comprising basaloid cells admixed with distinct pales cells (Zellballen) (C–E, D is an enlargement of boxed area in C).[3]
See also
References
- James, William D.; Berger, Timothy G.; et al. (2006). Andrews' Diseases of the Skin: Clinical Dermatology. Saunders Elsevier. ISBN 0-7216-2921-0.
- Rapini, Ronald P.; Bolognia, Jean L.; Jorizzo, Joseph L. (2007). Dermatology: 2-Volume Set. St. Louis: Mosby. p. 1698. ISBN 1-4160-2999-0.
- Originally copied from: Liu, Xuefeng; Sundberg, John P.; Stearns, Timothy M.; Joh, Joongho; Proctor, Mary; Ingle, Arvind; Silva, Kathleen A.; Dadras, Soheil S.; Jenson, A. Bennett; Ghim, Shin-je (2014). "Immune Status, Strain Background, and Anatomic Site of Inoculation Affect Mouse Papillomavirus (MmuPV1) Induction of Exophytic Papillomas or Endophytic Trichoblastomas". PLoS ONE. 9 (12): e113582. doi:10.1371/journal.pone.0113582. ISSN 1932-6203.
"Figure 2- available via license: Creative Commons Attribution 4.0 International"
