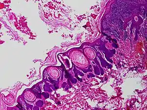
Trichofolliculoma

Trichofolliculoma is a cutaneous condition characterized by a benign, highly structured tumor of the pilosebaceous unit.[1]:671[2]

Trichofolliculoma
SpecialtyDermatology, oncology 

See also

References

  1. James, William D.; Berger, Timothy G.; et al. (2006). Andrews' Diseases of the Skin: Clinical Dermatology. Saunders Elsevier. ISBN 0-7216-2921-0.
  2. Rapini, Ronald P.; Bolognia, Jean L.; Jorizzo, Joseph L. (2007). Dermatology: 2-Volume Set. St. Louis: Mosby. p. 1694. ISBN 1-4160-2999-0.
Classification
External resources


This article is issued from Wikipedia. The text is licensed under Creative Commons - Attribution - Sharealike. Additional terms may apply for the media files.